肺韧带CT影像表现
定义:肺韧带(下肺韧带)下肺静脉下方的由两层纵隔的壁层胸膜汇合而成,将下叶的内侧面系于邻近的纵隔和膈。 是人胚胎发育过程中的胸膜残存部分。 医学百科网 | YxBaike.Com
左、右肺韧带的显示率分别为60-70%和40-60%,多仅显示一侧。 医学百科网 | YxBaike.Com
医学百科网 | YxBaike.Com
来源:https://en.wikipedia.org/wiki/Root_of_the_lung
医学百科网 | YxBaike.Com
医学百科网 | YxBaike.Com
影像表现:
医学百科网 | YxBaike.Com
X线表现:为纵隔表面的小山峰样或椎状突起,延续为段间隔。 医学百科网 | YxBaike.Com
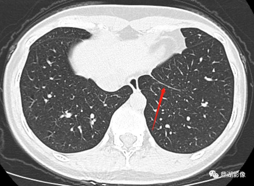
CT表现:沿肺门的下缘(肺静脉为肺门的最下端)延续的线样高密度,边缘光滑。 医学百科网 | YxBaike.Com
医学百科网 | YxBaike.Com
肺韧带深部的双侧段间分隔(A),注意右肺双分叉的T 形分隔即为9和10段的边界(箭头);(图片来源:格艾放射学) 医学百科网 | YxBaike.Com
医学百科网 | YxBaike.Com
(B)气胸很好地显示了肺韧带将下肺叶固定于食管旁纵隔(星号)的功能(图片来源:格艾放射学)
医学百科网 | YxBaike.Com
医学百科网 | YxBaike.Com
附着于下肺叶内侧缘, 游离在膈上者, 称为不完全型肺韧带(多见); 医学百科网 | YxBaike.Com
继续向下伸延, 并同时附着于膈肌面者, 称为完全型肺韧带。 医学百科网 | YxBaike.Com
附件列表
词条内容仅供参考,如果您需要解决具体问题,请遵医嘱或咨询医师。
本站词条内容如果涉嫌侵权,请与客服联系,我们将及时进行处理。如需转载,请注明来源于www.yxbaike.com
如果您认为本词条还有待完善,请 编辑
上一篇 警惕结核背景下的腺癌 下一篇 呼吸系统急症影像解读
