肺隐球菌病2例CT影像讨论
病例资料
医学百科网 | YxBaike.Com
医学百科网 | YxBaike.Com
医学百科网 | YxBaike.Com
医学百科网 | YxBaike.Com
医学百科网 | YxBaike.Com
医学百科网 | YxBaike.Com
医学百科网 | YxBaike.Com
医学百科网 | YxBaike.Com
医学百科网 | YxBaike.Com
医学百科网 | YxBaike.Com
医学百科网 | YxBaike.Com
医学百科网 | YxBaike.Com
医学百科网 | YxBaike.Com
医学百科网 | YxBaike.Com
医学百科网 | YxBaike.Com
精彩讨论
医学百科网 | YxBaike.Com
一切∮随缘:
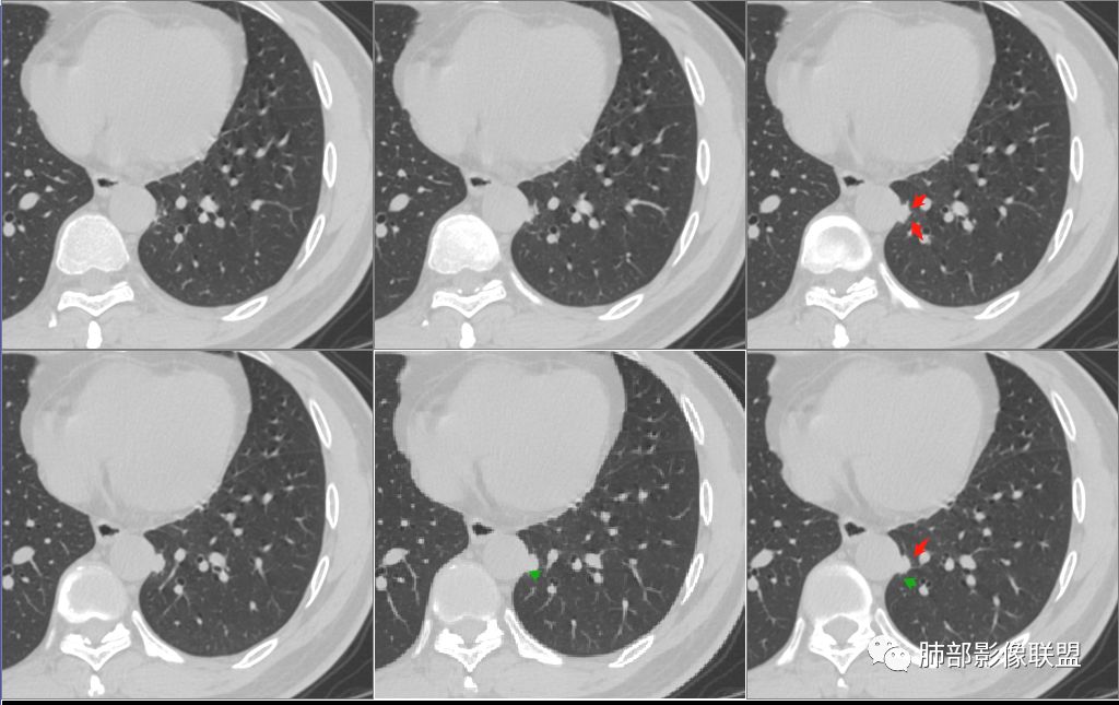
病例一:右肺下叶胸膜下结节,边缘毛糙,可见长短不一毛刺,形态欠规则,周围血管增粗牵拉,近段支气管壁略增厚,远端胸膜局限性增厚,并牵拉胸膜,平扫密度尚均匀,增强后明显强化(强化增加30Hu),考虑炎性肉芽肿:(隐球菌,炎性假瘤)鉴别:腺癌
病例二:主动脉壁增厚,可见向壁外凸起结节,平扫密度均匀,增强后均匀强化,考虑:主动脉溃疡,鉴别主动脉周围炎
医学百科网 | YxBaike.Com
玫:
医学百科网 | YxBaike.Com
病例1男,49,右肺下叶见实性结节影,边缘呈磨玻璃样改变,可见长短不一毛刺,分叶及胸膜牵拉,相应层面胸膜局限性增厚,增强扫描,病灶内见坏死,考虑腺癌可能。
病例2:主动脉旁小结节,边缘光滑,增强扫描轻度强化,考虑炎性假瘤,鉴别淋巴结。
市医院–时建文:
病例一:右肺下叶胸膜下结节,边缘可见长短不一毛刺,形态欠规则,周围血管增粗牵拉,近段支气管壁略增厚,远端胸膜局限性增厚,并牵拉胸膜,腺癌? 医学百科网 | YxBaike.Com
病例二:主动脉壁增厚,可见向壁外凸起结节,平扫密度均匀,增强后均匀强化,考虑:主动脉穿通性溃疡,大动脉炎?
食客:
医学百科网 | YxBaike.Com
1:右肺下叶胸膜下实性结节,可见长短不一毛刺,周围血管增粗,胸膜增厚,增强后强化,腺癌? 医学百科网 | YxBaike.Com
2:主动脉旁微小结节,平扫密度均匀,增强后均匀强化,考虑:炎性结节 医学百科网 | YxBaike.Com
耿耿: 医学百科网 | YxBaike.Com
1.右肺下叶密度不均匀结节,边缘浅分叶,周围短毛刺及磨玻璃影,内见小空泡征,胸膜牵拉明显并局部胸膜增厚;增强扫描CT值增加小于60HU,考虑腺癌可能。
2.左肺下叶内基底段旁实性小结节,密度尚均匀,边境尚光整,增强扫描明显强化,多考虑炎性结节,主动脉周围可见弧形低密度充盈缺损,若一元论考虑的话需鉴别大动脉炎。
医学百科网 | YxBaike.Com
一米阳光: 医学百科网 | YxBaike.Com
病例1右肺下叶胸膜下见结节影,形态不规则,有分叶,毛刺,内似见小空泡,周围血管聚集,临近胸膜牵拉,兔儿症,胸膜受侵,诊断:腺癌,鉴别隐球菌,形态,收缩力均不支持。 医学百科网 | YxBaike.Com
病例2左肺下叶降主动脉旁见小结节影,边缘平直,有浅分叶,良性征象多,炎性肉芽肿?鉴别1·恶性小结节2·穿通性溃疡,不考虑,一般在动脉硬化的基础上,
医学百科网 | YxBaike.Com
欣: 医学百科网 | YxBaike.Com
病例一:境界清楚结节,长短毛刺,胸膜凹陷,空泡征,中度强化,其内似可见稍低密度,提示腺癌。 医学百科网 | YxBaike.Com
病例二,主动脉旁微结节,边界清楚,无其他恶性征象,明显强化,强化了92HU,比强化的主动脉密度明显低,考虑良性,炎性结节可能性大,多方位再看看,与主动脉关系如何,轴位看感觉来源于胸膜上,建议半年或一年后复查
马春平(张家港市一院胸外科):
医学百科网 | YxBaike.Com
病例一 :小结节、长毛刺、广胸膜,考虑炎性结节
病例二:实性小结节、宽基底、明显强化,考虑炎性结节
医学百科网 | YxBaike.Com
凝睦: 医学百科网 | YxBaike.Com
病例1右肺下叶结节,形态不规则,有分叶,胸膜牵拉长索条,支气管可进入,考虑炎性。
病例2主动脉旁结节,边界清,光滑,考虑良性。
崇军: 医学百科网 | YxBaike.Com
病例一:右肺下叶胸膜下实性结节,边缘毛糙,可见长短不一毛刺,形态欠规则,部分平直,部分膨隆,周围血管增粗牵拉,近段支气管壁略增厚有阻塞,远端胸膜局限性增厚,并牵拉胸膜,周围磨玻璃影,边缘模糊,平扫密度尚均匀,增强后明显强化(强化增加30Hu),其内有坏死区,分界不清,实性结节,收缩力太强了,所以首先考虑炎性肉芽肿:(隐球菌,炎性假瘤)鉴别腺癌; 医学百科网 | YxBaike.Com
病例二:主动脉旁实性结节,平扫密度均匀,增强后均匀强化,与主动脉壁分界清楚,可惜只有一层,考虑:良性结节,鉴别主动脉周围炎
紫气东来:
医学百科网 | YxBaike.Com
病例一,右肺下叶结节,毛刺,空泡,胸膜凹陷征,强化,考虑腺癌,鉴别炎性。
医学百科网 | YxBaike.Com
病例二,主动脉旁小结节,和血管相连,明早强化,考虑血管性,鉴别炎性结节
王秀仙: 医学百科网 | YxBaike.Com
病例一:右肺下叶胸膜下结节,边缘长软毛刺,周围血管增粗牵拉,胸膜牵拉增厚,胸膜增厚范围比较广,增强后明显强化,中央可见低密度坏死,考虑炎性肉芽肿:结核,隐球菌。鉴别:腺癌。
医学百科网 | YxBaike.Com
病例二:主动脉壁增厚,可见向壁外凸起结节,增强后明显强化,强化值117,考虑:主动脉溃疡,假性动脉瘤
医学百科网 | YxBaike.Com
Zhuweichao: 医学百科网 | YxBaike.Com
病例1右肺胸膜下见实性结节影,边缘可见长短不一毛刺,分叶、胸膜牵拉、空泡,恶性征象多,考虑腺癌。 医学百科网 | YxBaike.Com
病例2主动脉壁向外凸起小结节,边缘光滑,增强扫描有强化,考虑大动脉炎。
医学百科网 | YxBaike.Com
任广国: 医学百科网 | YxBaike.Com
病例一,右肺下叶胸膜下结节,周围有毛刺,胸膜牵拉,血管集束,中度强化,考虑恶性,腺癌,鉴别炎症;
医学百科网 | YxBaike.Com
病例二,降主动脉旁小结节,边缘平直,密度较高,增强有强化,考虑慢性炎症性结节。
医学百科网 | YxBaike.Com
张小兵: 医学百科网 | YxBaike.Com
病例一,右肺下叶外基底段胸膜下实性结节,边缘以平直为主,周围有晕,晕中毛刺,邻近胸膜反应性增厚、牵拉,支气管进入后阻塞,增强明显强化,倾向炎性结节,PC可能,鉴别腺癌。 医学百科网 | YxBaike.Com
病例二、降主动脉壁增厚并向外结节状突起,增强后明显强化,考虑良性病变。
傅昌瑜: 医学百科网 | YxBaike.Com
1.49岁男性,右下肺结节,见板刷样毛刺、空泡征,个别层面见分叶,考虑IAC,注意鉴别隐球菌病。 医学百科网 | YxBaike.Com
2.胸主动脉旁结节,宽基底与主动脉相连,边缘光滑、无分叶及毛刺,考虑良性结节。
医学百科网 | YxBaike.Com
田园晚风: 医学百科网 | YxBaike.Com
病例一:右肺下叶胸膜下结节,边缘毛糙见模糊晕征,可见长短不一毛刺,形态欠规则,周围血管增粗牵拉,近段支气管壁略增厚,远端胸膜局限性增厚,并牵拉胸膜,平扫密度尚均匀,增强后明显强化,考虑炎性肉芽肿:(隐球菌,炎性假瘤)鉴别:腺癌 医学百科网 | YxBaike.Com
病例二:主动脉壁增厚,可见向壁外凸起结节,平扫密度均匀,增强后均匀强化,考虑:主动脉溃疡,鉴别主动脉周围炎
丽:
医学百科网 | YxBaike.Com
病例1,右肺下叶近胸膜下结节,长轴与胸膜平行,内可见空泡,边缘可见多发长短不一毛刺,较软,并可见胸膜牵拉,邻近胸膜局限性增厚,增强后不均匀强化,考虑炎性肉芽肿病变,待排腺癌。
医学百科网 | YxBaike.Com
病例2,降主动脉旁结节,增强后明显强化,考虑良性
医学百科网 | YxBaike.Com
马宁强:
医学百科网 | YxBaike.Com
一:中年男性,体检发现右下肺结节,边界清,浅分叶,胸膜牵拉,空泡征,支气管扭曲扩张,毛刺,血管集束,延迟强化,考虑腺癌,建议抗炎后复查。 医学百科网 | YxBaike.Com
二:左肺下叶降主动脉旁可见一结节影,明显强化,和主动脉壁相连,考虑良性,炎症可能。 医学百科网 | YxBaike.Com
水晶石头:
医学百科网 | YxBaike.Com
病例一:中年男性,胸部CT:右肺下叶外基底段胸膜下不规则实性结节,见分叶、长短毛刺,血管集束,胸膜牵拉,胸膜增厚,内见空泡征,增强后强化,综合考虑腺癌,鉴别炎性肉芽肿。 医学百科网 | YxBaike.Com
病例二:胸部CT:右肺下叶后基底段降主动脉壁外结节,增强后明显强化,强化值117,考虑良性病变,假性动脉瘤可能,鉴别恶性病变。
医学百科网 | YxBaike.Com
三个石头: 医学百科网 | YxBaike.Com
1.右下肺结节,边缘平直,膨胀感不明显,周围晕不清,晕中毛刺,支气管进入截断,小空泡,胸膜牵拉,收缩力比较强,考虑炎性结节。建议穿刺排除腺癌。
医学百科网 | YxBaike.Com
2.定位在哪里?左下肺胸膜下结节,恶性征象好像没有,考虑良性结节。 医学百科网 | YxBaike.Com
毛勤香: 医学百科网 | YxBaike.Com
病例1,右肺下叶结节,膨隆明显,胸膜牵拉,长短毛刺,其内小空泡,细支气管闭塞,周围磨玻璃模糊,增强渐进性强化,良恶性征象都有,恶性多,先考虑腺癌IAC,建议穿刺活检。
医学百科网 | YxBaike.Com
病例2主动脉旁小结节,边界清晰,明显强化,富血供,首先考虑良性结节,神经内分泌肿瘤不除外,太小了
南大分析
南边:
医学百科网 | YxBaike.Com
49岁
医学百科网 | YxBaike.Com
南边: 医学百科网 | YxBaike.Com
外基底段胸膜下结节 医学百科网 | YxBaike.Com
需要考虑的方向:炎性?癌?有什么依据?
医学百科网 | YxBaike.Com
良恶性鉴别好了,就是临床病理的问题
医学百科网 | YxBaike.Com
红星:
毛刺和胸膜凹陷都是恶性表现。还有血管增粗 医学百科网 | YxBaike.Com
具有恶性征象大于良性征象 医学百科网 | YxBaike.Com
南边: 医学百科网 | YxBaike.Com
恶性:毛刺、胸膜凹陷征 医学百科网 | YxBaike.Com
Yiren Sishui(厶水伊人):
炎性:模糊晕,长毛刺,
医学百科网 | YxBaike.Com
恶性:边缘膨隆,毛刺,胸膜凹陷 医学百科网 | YxBaike.Com
周围有晕征,或是真菌性?
Coke with ice:
炎性:胸膜增厚明显,周围模糊晕,长轴与胸膜平行。恶性:毛刺较硬,可疑棘状凸起。
医学百科网 | YxBaike.Com
金豆: 医学百科网 | YxBaike.Com
宽基底 长毛刺
实性部分有支气管。边缘部分支气管牵拉扩张
医学百科网 | YxBaike.Com
南边:
医学百科网 | YxBaike.Com
炎性的依据? 医学百科网 | YxBaike.Com
内部征象也要提提
王秀仙: 医学百科网 | YxBaike.Com
毛刺长、软,胸膜增厚广 医学百科网 | YxBaike.Com
青鸟~:
医学百科网 | YxBaike.Com
感觉更偏向恶性,胸膜牵拉,偏心空洞,毛刺 医学百科网 | YxBaike.Com
三个石头: 医学百科网 | YxBaike.Com
支气管进入截断 医学百科网 | YxBaike.Com
小空泡 医学百科网 | YxBaike.Com
南边: 医学百科网 | YxBaike.Com
病灶有两大部分:偏实性中央区,主病灶
周围磨玻璃密度影区域
医学百科网 | YxBaike.Com
医学百科网 | YxBaike.Com
医学百科网 | YxBaike.Com
我们一项一项来理一理
从外围到中央 医学百科网 | YxBaike.Com
GGO边界清吗?
田园晚风: 医学百科网 | YxBaike.Com
不清 医学百科网 | YxBaike.Com
南边: 医学百科网 | YxBaike.Com
医学百科网 | YxBaike.Com
南边: 医学百科网 | YxBaike.Com
就是说这个GGO没有支持恶性的地方 医学百科网 | YxBaike.Com
毛刺如何? 医学百科网 | YxBaike.Com
Yiren Sishui(厶水伊人):
医学百科网 | YxBaike.Com
长,细,软
南边: 医学百科网 | YxBaike.Com
支气管? 医学百科网 | YxBaike.Com
医学百科网 | YxBaike.Com
医学百科网 | YxBaike.Com
医学百科网 | YxBaike.Com
Coke with ice:
支气管有进入的层面。
医学百科网 | YxBaike.Com
南边:
医学百科网 | YxBaike.Com
南边: 医学百科网 | YxBaike.Com
医学百科网 | YxBaike.Com
南边: 医学百科网 | YxBaike.Com
医学百科网 | YxBaike.Com
进入其中,远端稍膨大
医学百科网 | YxBaike.Com
医学百科网 | YxBaike.Com
三个石头:
胸膜牵拉,局部增厚 医学百科网 | YxBaike.Com
南边:
医学百科网 | YxBaike.Com
医学百科网 | YxBaike.Com
边缘 医学百科网 | YxBaike.Com
医学百科网 | YxBaike.Com
医学百科网 | YxBaike.Com
Yiren Sishui(厶水伊人):
医学百科网 | YxBaike.Com
有凹陷、平直,局部鹏隆 医学百科网 | YxBaike.Com
病例二分析
医学百科网 | YxBaike.Com
以下为小编观点:定位左肺下叶胸膜下,宽基底与胸膜相连,软毛刺,边缘平直,增强扫描明显强化,均符合炎性特点。结节比较小,可以继续随访观察或者抗炎治疗后复查。
医学百科网 | YxBaike.Com
医学百科网 | YxBaike.Com
病理结果
医学百科网 | YxBaike.Com
病例一结果
医学百科网 | YxBaike.Com
医学百科网 | YxBaike.Com
病例二结果 医学百科网 | YxBaike.Com
回顾性分析(关于胸膜凹陷)
医学百科网 | YxBaike.Com
以下是马春平老师分析
医学百科网 | YxBaike.Com
医学百科网 | YxBaike.Com
马春平: 医学百科网 | YxBaike.Com
可以对比一下这二个病灶的胸膜反应: 医学百科网 | YxBaike.Com
医学百科网 | YxBaike.Com
马春平:
再看这例,即使这么大的离胸膜这幺近的腺癌,真实的胸膜凹陷范围也不广。
这是我们切下肺叶再充气拍的照片 医学百科网 | YxBaike.Com
医学百科网 | YxBaike.Com
马春平: 医学百科网 | YxBaike.Com
@阚小晴华中阜外? 同一位置 医学百科网 | YxBaike.Com
组织剖面 医学百科网 | YxBaike.Com
医学百科网 | YxBaike.Com
马春平(张家港市一院胸外科):
医学百科网 | YxBaike.Com
这个是切开二半: 医学百科网 | YxBaike.Com
医学百科网 | YxBaike.Com
马春平(张家港市一院胸外科): 医学百科网 | YxBaike.Com
医学百科网 | YxBaike.Com
马春平(张家港市一院胸外科):
医学百科网 | YxBaike.Com
马春平:
医学百科网 | YxBaike.Com
再看这个比较深、宽的胸膜凹陷,腺癌的收缩力不是无限制的。
医学百科网 | YxBaike.Com
病例小结 医学百科网 | YxBaike.Com
病例一之于肺腺癌无论如何都是难以排除的诊断,收缩能力如此之强!回顾性分析不支持腺癌的地方在于:1.结节缺乏典型深分叶;2如此大实性密度结节周围有磨玻璃晕,还是非常模糊的;3.结节邻近脏层胸膜的胼胝样增厚,居然还有强化,提示不是液体;4.(拉不直)的纤维长条索多是炎性的特点;5.腺癌除了自身脏层胸膜的收缩形成一个喇叭口样的凹陷以外很少与壁层胸膜粘连。通俗的讲腺癌的胸膜凹陷就像扎口袋往紧的收,而炎性只是像一枚印章敲在壁胸膜上。
病例二的特点同样符合马老师所讲的炎性特点。胸膜下实性小结节,有棘突提示来自肺组织。缺乏磨玻璃及分叶等周边征象,容易怀疑炎性病灶或肉芽肿,很难做出隐球菌感染的判断。
医学百科网 | YxBaike.Com
再看一例我们之前的隐球菌结节与病例一相同点:晕中细软毛刺。
医学百科网 | YxBaike.Com
医学百科网 | YxBaike.Com
知识拓展相关文献 医学百科网 | YxBaike.Com
医学百科网 | YxBaike.Com
附件列表
词条内容仅供参考,如果您需要解决具体问题,请遵医嘱或咨询医师。
本站词条内容如果涉嫌侵权,请与客服联系,我们将及时进行处理。如需转载,请注明来源于www.yxbaike.com
如果您认为本词条还有待完善,请 编辑
上一篇 胸痛三联CTA的临床应用 下一篇 肺结核合并肺癌CT表现
