肺结核合并肺癌CT表现
近年来肺结核有不断增多的趋势,肺癌的发病率也逐年增高,肺结核合并肺癌的发生率也在升高,限于对肺结核合并肺癌的鉴别诊断认识不足,临床上极易漏诊和误诊。 医学百科网 | YxBaike.Com
肺结核与肺癌的关系 医学百科网 | YxBaike.Com
有研究认为肺结核患者患肺癌的风险较无肺结核者约高11倍。肺癌的发生与肺结核密切相关的主要原因包括以下几点:
①结核杆菌长期慢性刺激导致病灶及邻近部位上皮组织化生,刺激细胞增殖和扩散,进而衍变成原位癌甚至癌变;
②细胞免疫功能异常导致DNA变异,细胞出现不可控性增殖,形成肿瘤; 医学百科网 | YxBaike.Com
③结核后遗改变阻碍淋巴系统回流,导致致癌物质的增多和聚集,易诱发瘢痕癌;
医学百科网 | YxBaike.Com
④长期使用抗结核药物促进癌变过程。
医学百科网 | YxBaike.Com
长期结核杆菌慢性炎症刺激,加上长期吸烟导致肺癌发生率明显增高,两者有明显的因果关系。
肺癌与肺结核并存的病理类型 医学百科网 | YxBaike.Com
肺结核合并肺癌以鳞癌和腺癌为主,小细胞肺癌、大细胞肺癌较少; 医学百科网 | YxBaike.Com
在瘢痕基础上,即同部位发生的肺癌,均为鳞癌;不同部位发生的肺癌其病理和一般单发肺癌无差异。 医学百科网 | YxBaike.Com
临床特点
医学百科网 | YxBaike.Com
男性多见,可能与男性较同年龄段女性免疫力差、结核患病率较高有关,同时也可能与男性长期吸烟史密切相关。
医学百科网 | YxBaike.Com
肺结核与肺癌的临床症状非常相似,两者均无特异性,肺结核合并肺癌也无特异性症状。
医学百科网 | YxBaike.Com
肺结核合并肺癌的影像特点及诊断难点 医学百科网 | YxBaike.Com
CT能很好地显示结核灶内部结构、卫星灶、钙化灶、空洞结构、肿大淋巴结,同时可显示支气管的细微改变,对癌性肿块、结节、恶性空洞及囊腔等内部结构也能全面显示。当肺结核合并肺癌患者出现结节、肿块、恶性空洞等典型恶性征象时均能正确诊断。但肺结核合并肺癌病灶形态多样化,肺内病灶互相遮盖,影像表现复杂,受医生一元化思维等诸多因素影响,早期漏诊率较高。
医学百科网 | YxBaike.Com
当肺结核合并以下类型肺癌时,诊断难度较大:
医学百科网 | YxBaike.Com
①空洞型肺癌
癌性空洞多为远肺门侧、偏心性,洞壁厚薄不均,内壁凹凸不平,多可见壁结节,洞壁外缘常见分叶、短毛刺和/或胸膜凹陷征。
医学百科网 | YxBaike.Com
②炎症型肺癌
炎症型肺癌为散在小片状或大片状阴影侵犯肺段或整个肺叶,边界模糊不清,在抗炎及抗结核治疗过程中病灶不断增加并融合成多发均匀性肺实变;以两肺下叶及右肺中叶多见。
医学百科网 | YxBaike.Com
③囊腔类肺癌 医学百科网 | YxBaike.Com
囊腔类肺癌可分三型,即大泡型、囊腔型、含囊腔型。囊腔类肺癌常呈多囊、有壁结节、内部有分隔及血管穿行、磨玻璃征,囊腔周围无卫星灶;可在抗结核治疗过程中观察短期内囊腔变化,如果缩小则可排除癌性病变,癌性囊腔则治疗效果不明显或变大,边缘更不规则。 医学百科网 | YxBaike.Com
④小结节中央型肺癌
中央型肺癌没有结核中毒症状,增强扫描肿块均匀强化多见。中央型肺癌肿块较大,产生压迫性不张时鉴别不难,但肿块较小为小结节时,与肺门淋巴结结核鉴别诊断困难。 医学百科网 | YxBaike.Com
CT动态随访观察十分重要,可明显提高诊断符合率,随访中出现以下表现时要高度警惕癌变:
医学百科网 | YxBaike.Com
①抗结核治疗过程中,原病灶周围或相邻区域出现新的斑片状影,可见分叶、边缘毛糙等恶性征象,抗炎治疗无效,随访病灶增大;原病灶外其他肺叶出现结节、团块影,有或无纵隔及肺门增大、肺不张、空洞等,都应警惕癌变可能;
医学百科网 | YxBaike.Com
②结核空洞、囊腔治疗过程中,出现壁厚薄不均或璧结节时,要警惕空洞及囊腔类肺癌的可能; 医学百科网 | YxBaike.Com
③陈旧性肺结核,如条片影和结核球,随访病灶增大,出现分叶、边缘毛糙等恶性征象;
医学百科网 | YxBaike.Com
④诊断肺门淋巴结结核,抗结核治疗随访无效时应高度怀疑中央型肺癌可能。
难以鉴别时应及时行纤支镜和穿刺活检以明确诊断,改善患者预后。
医学百科网 | YxBaike.Com
左上肺空洞型肺癌(低分化腺癌)。肺窗示右上肺斑片影及条索影结核灶,左上肺偏心空洞,内有璧结节;纵隔窗示右上肺结核灶内有钙化。


医学百科网 | YxBaike.Com
右上肺瘢痕癌(中分化鳞状细胞癌)。肺窗示双肺条片状影,纤维增殖结核;纵隔窗示条片影内有钙化灶;3年后复查肺窗示左上肺条片影同前,右上肺条片影贴近斜裂处变为团块影,纵隔窗示右上肺团块影密度较均匀。
医学百科网 | YxBaike.Com
右中叶炎性肺癌(低分化腺癌)。冠状面重建图像示双上肺模糊小片状、条索影,为结核灶,右中叶浅分叶团块影;轴面图像示右中叶团块影,边缘欠清晰。 医学百科网 | YxBaike.Com
医学百科网 | YxBaike.Com
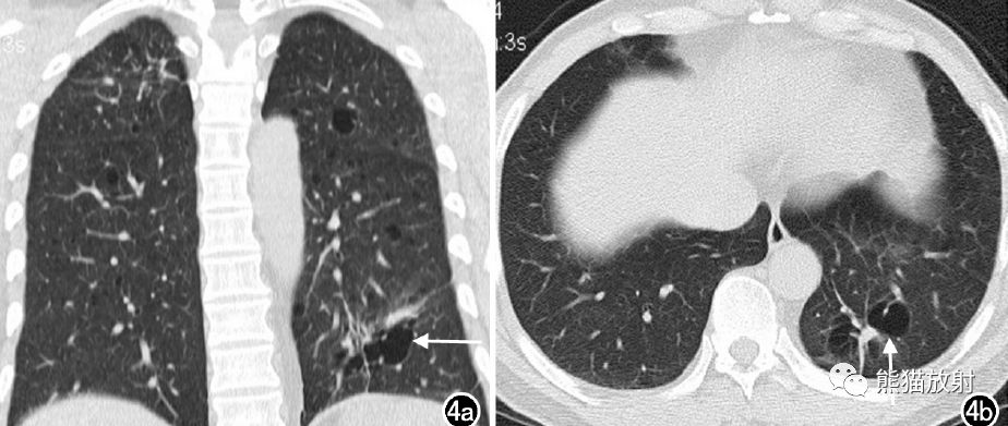
左下肺囊腔类肺癌(低分化腺癌)。冠状面重建图像示右上肺条索影及小结节影,边缘清晰,为结核灶;左下肺囊腔类病灶,形态不规则,见血管影穿行;轴面图像示左下肺不规则形态囊腔,无壁,粗大血管穿行其中。 医学百科网 | YxBaike.Com
↓ 内容整理自文献(感谢作者与期刊): 医学百科网 | YxBaike.Com
医学百科网 | YxBaike.Com
附件列表
词条内容仅供参考,如果您需要解决具体问题,请遵医嘱或咨询医师。
本站词条内容如果涉嫌侵权,请与客服联系,我们将及时进行处理。如需转载,请注明来源于www.yxbaike.com
如果您认为本词条还有待完善,请 编辑
上一篇 肺隐球菌病2例CT影像讨论 下一篇 腹部CT超全断层解剖
