脑白质病变影像诊断
概述编辑本段
神经病诊断原则:定位靠体征、定性靠病史。 一切辅助检查均服务于病史。 影像学在神经科疾病诊断的作用。 同病异像,异病同像。
脑白质的结构编辑本段
脑白质主要由神经纤维构成,而神经纤维分有髓和无髓两种。 髓鞘伴轴突一起生长,并反复包卷轴突多次,形成多层同心圆的螺旋“板层”样结构,其主要化学成份是类脂质和蛋白质 。 类脂质约占髓鞘的80%,呈嫌水性,带离子的水不容易通过,而起“绝缘”作用。当其受损时,较多水进入髓磷脂内,引起脑白质的水含量增加。
脑白质病变分类编辑本段
原发性 继发性
先天性和遗传性脑白质病
获得性脑白质病
中毒性 感染性 代谢性 血管性 肿瘤性 脑积水
肾上腺脑白质营养不良 异染性脑白质营养不良 类球状细胞型脑白质营养不良 海绵状脑病 亚力山大病
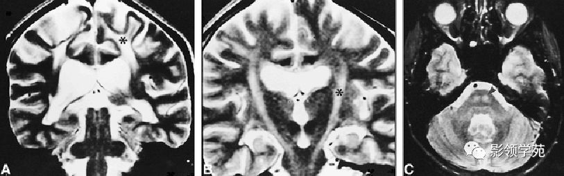
病因: 脂肪代谢紊乱所致,患者体内缺乏乙酰辅酶A合成酶,不能将特长链脂肪酸切断,使之在组织中、尤其在脑和肾上腺皮质沉积,导致脑白质和肾上腺皮质破坏。多为3岁~12岁儿童。 病灶呈T1加权低信号、T2加权像高信号改变,常经胼胝体压部连接两侧三角区病灶,呈现“蝶翼”样形状。 晚期大脑白质普遍出现异常改变、无强化时,仅凭影像学表现很难与其它脱髓鞘疾病鉴别。


病因:缺乏芳香硫酸脂酶A,不能将硫酸脂分解成脑脂和无机硫,而沉积于少枝胶质细胞膜上,引起髓鞘形成障碍和广泛脱失。 影像:两侧大脑半球脑室周围及半卵圆中心脑白质长T1、长T2信号,形态不规则,无占位效应,无强化 。可累及内囊后肢和其它白质通路、小脑和脑干,伴弥漫性脑萎缩。但不累及皮层下下弓状纤维 。





脑白质海绵样变性或Canavan氏病 缺乏天门冬氨酸酰基酶,导致血、尿中N-乙酰天门冬氨酸堆积 。 CT平扫显示婴儿头颅增大,颅缝分离。两侧大脑半球半卵园中心呈对称性大片低密度改变,从白质中央区到皮髓交界区,广泛对称分布,增强扫描病灶不强化。 MRI显示脑白质受累较CT更清晰,病灶可累及皮质及弓状纤维。

本病病因不明,多见于1岁内的婴儿。 额叶增大、脑室扩大外,脑内异常信号首先主要见于额叶脑白质,向后发展累及内囊、外囊和顶叶。晚期额叶可出现明显囊性变和胼胝体萎缩。增强扫描可有强化,边缘变得更清楚。

多发硬化 急性散发性脑脊髓炎 桥脑中央髓鞘溶解症 桥脑外髓鞘溶解症




半数以上的患者为酒精中毒晚期,也可见于慢性消耗性疾病基础上出现营养不良和电解质紊乱。 低钠血症时脑组织处于低渗状态,过快补充高渗盐水使血浆渗透压迅速提高,引起脑组织脱水和血脑屏障破坏,有害物质透过血脑屏障可导致髓鞘脱失 。

头颅MRI 及CT 阴性仍不能完全排除CPM 诊断 。 由于CPM的典型病灶多在病后10 d 左右才出现,检查太早,脱髓鞘的病变尚未完全形成 。 过晚检查,病灶已自我修复,MRI 阳性率明显降低 。 单凭影像仍有误诊可能。

海洛因海绵状脑病 慢性甲苯中毒 甲醇中毒 急性CO中毒 CO中毒迟发性脑病 二氯乙烷中毒 二甲基锡中毒








艾滋病脑病 CJD 进行性多灶性脑白质病 亚急性硬化性全脑炎




见于慢性淋巴性白血病、淋巴瘤、肾移植后、结核、结节病、系统性红斑狼疮和巨球蛋白血症等患者,发病年龄多在40岁~60岁之间 。 已证明乳多空病毒科的JC病毒和SV-40(Simian Virus猴病毒)是进行性多灶性脑白质病的病原体。 病灶多发且远离脑室周围,好发于顶枕皮质下白质内,有逐步融合增大趋势是本病较具特征性的影像学征象


麻疹病毒引起的一种罕见脑部慢性感染,多见于儿童或青少年。 表现为大脑皮层和皮层下脑白质的多发斑片状病灶,T1加权像呈低或等信号,T2加权像为高信号,增强扫描少数病例有脑膜或脑实质强化。晚期累及脑室周围白质。胼胝体、丘脑、基底节及脑干亦可受累。 本病的影像学改变无特异性。


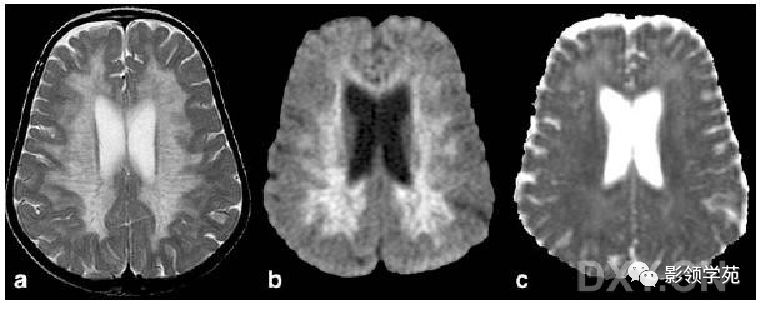
可逆性后部白质脑病综合征 维生素B12缺乏 原发性胼胝体变性



CADASIL CARASIL 神经白塞氏病 皮层下动脉硬化性脑病




淋巴瘤 大脑胶质瘤病


附件列表
词条内容仅供参考,如果您需要解决具体问题,请遵医嘱或咨询医师。
本站词条内容如果涉嫌侵权,请与客服联系,我们将及时进行处理。如需转载,请注明来源于www.yxbaike.com
如果您认为本词条还有待完善,请 编辑
