没有CTA?这三招也能识别主动脉夹层!
主动脉夹层被称为”人体炸弹”,死亡率很高,是心血管急危重症。主动脉疾病诊断的”金标准”是胸腹主动脉血管成像(简称CTA)。当基层值班医生夜班急诊碰到急性胸背痛或急性腹痛患者,在没有CTA 的情况下,如何凭借火眼金睛从胸片、彩超、平扫CT等普通检查中发现主动脉病变?
医学百科网 | YxBaike.Com
这个征象比较好识别,当主动脉夹层形成巨大的夹层动脉瘤时,通过胸片、平扫CT、彩超等也能初步诊断主动脉病变。 医学百科网 | YxBaike.Com
病例一 医学百科网 | YxBaike.Com
胸片提示左上纵隔影增宽(红色星形标记),CTA证实B型主动脉夹层伴降主动脉夹层动脉瘤形成。
医学百科网 | YxBaike.Com
医学百科网 | YxBaike.Com
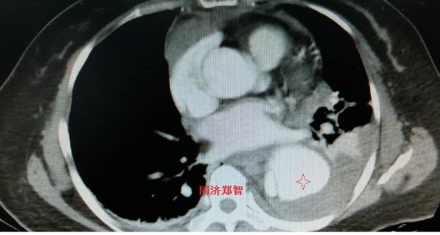
病例二
胸部平扫CT提示升主动脉增宽(红色星形标记),CTA证实A型主动脉夹层伴升主动脉夹层动脉瘤形成。
医学百科网 | YxBaike.Com
病例三 医学百科网 | YxBaike.Com
胸部平扫CT提示胸降动脉增宽(红色星形标记),CTA证实B型主动脉夹层伴降主动脉夹层动脉瘤形成。
医学百科网 | YxBaike.Com
医学百科网 | YxBaike.Com
医学百科网 | YxBaike.Com
病例四 医学百科网 | YxBaike.Com
腹部平扫CT提示腹主动脉增宽,CTA证实为腹主动脉局限性夹层(红箭头所示)
医学百科网 | YxBaike.Com
医学百科网 | YxBaike.Com
医学百科网 | YxBaike.Com
正常情况下,主动脉的血管内膜在平扫CT中无法识别,但在某些特殊情况下,主动脉夹层及主动脉壁间血肿的平扫CT中也可以显示,从而帮助诊断。 医学百科网 | YxBaike.Com
病例五
平扫CT提示主动脉弓层面及右肺动脉层面均可见主动脉血管腔内的内膜片影(红色箭头所示),CTA显示为A型主动脉夹层。
医学百科网 | YxBaike.Com
病例六
医学百科网 | YxBaike.Com
平扫CT提示降主动脉内膜片影(白箭头所示),CTA显示为B型主动脉夹层。
医学百科网 | YxBaike.Com
医学百科网 | YxBaike.Com
医学百科网 | YxBaike.Com
病例七
医学百科网 | YxBaike.Com
平扫CT提示升主动脉及降主动脉内膜片,CTA证实为A型主动脉壁间血肿。
医学百科网 | YxBaike.Com
医学百科网 | YxBaike.Com
医学百科网 | YxBaike.Com
病例八 医学百科网 | YxBaike.Com
有时在彩超中也可以观察到内膜片,但其准确性不高,存在假阴性和假阳性的可能。 医学百科网 | YxBaike.Com
医学百科网 | YxBaike.Com
正常主动脉的血管可能有钙化,在没有病变的主动脉壁,钙化点一般在主动脉外周一圈,当血管内出现内移的钙化点,则提示内膜片内移,可能是病变的征象。
病例九 医学百科网 | YxBaike.Com
平扫CT提示降主动脉内膜片征,同时内膜片中可见一钙化点。CTA证实为B型主动脉夹层。
医学百科网 | YxBaike.Com
医学百科网 | YxBaike.Com
医学百科网 | YxBaike.Com
病例十 医学百科网 | YxBaike.Com
腹主动脉平扫CT提示正常外周一圈的钙化影中有内移的钙化影(红色箭头所示),CTA 证实为腹主动脉夹层 医学百科网 | YxBaike.Com
医学百科网 | YxBaike.Com
医学百科网 | YxBaike.Com
病例十一 医学百科网 | YxBaike.Com
平扫CT发现主动脉血管内孤立的钙化点(红色箭头所示),CTA证实为降主动脉溃疡合并壁间血肿。
医学百科网 | YxBaike.Com
医学百科网 | YxBaike.Com
医学百科网 | YxBaike.Com
病例十二
平扫CT提示降主动脉一接近外周的钙化点(红色箭头所示),CTA证实为降主动脉壁间血肿。
医学百科网 | YxBaike.Com
医学百科网 | YxBaike.Com
掌握了以上的影像学征象,值夜班再碰到急性胸腹痛的病人做检查就不要再慌张了。当然,最终确诊还是要经过CTA检查,明确病变性质和程度,从而指导治疗方案的制定。
医学百科网 | YxBaike.Com
作者丨郑智 华中科技大学附属同济医院心脏大血管外科
医学百科网 | YxBaike.Com
附件列表
词条内容仅供参考,如果您需要解决具体问题,请遵医嘱或咨询医师。
本站词条内容如果涉嫌侵权,请与客服联系,我们将及时进行处理。如需转载,请注明来源于www.yxbaike.com
如果您认为本词条还有待完善,请 编辑
上一篇 “铺路石征” 的影像表现与临床意义 下一篇 肺先天性囊性腺瘤样畸形1例CT
