作者:张文君,蒋秋华,刘俊,南昌大学附属赣州医院
肥厚性硬
1.临床资料
1.1 一般资料
患者,男性,47岁,主诉因阵发性
1.2 影像学表现
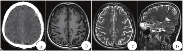
胸腹部影像检查未见明显异常。颅脑CT、MRI提示双侧额部颅骨硬脑膜多发结节样占位,硬脑膜异常增厚,局部颅骨受侵蚀破坏(图1A—G)。影像学诊断:术前考虑硬脑膜转移瘤可能性大。
1.3 手术及病理
于2021年1月8日在本院行手术治疗。在神经导航引导下经左额颞部弧形切口入路见硬脑膜变性增厚及多处隆起的灰黄色病变组织,病灶质地较韧,与脑组织粘连不明显,血供不丰富,病变组织侵蚀颅骨。行左侧硬脑膜结节状病变全切除。术后病理镜下见胶原纤维组织增生且有大量的中性粒细胞、淋巴细胞和


图1 术前颅脑影像学表现与病理学表现。A:颅脑CT轴位脑窗像示两额部颅骨内板下类梭形稍高密度影,邻近部分颅骨受侵蚀;B—D:颅脑MRI轴位T1、T2WI、矢状位T1WI示两侧额部颅骨内板下方多发结节状改变,两侧额颞部硬膜增厚。E-G:颅脑MRI轴位、矢状位、冠状位增强扫描示硬脑膜增厚局部呈多发结节状改变,呈明显强化,邻近颅骨受累;H:病理表现(HE染色,×100)。
1.4 术后治疗及预后
术后予甲

图2 术后3个月颅脑影像学表现。A-B:颅脑MR轴位、冠状位增强扫描示左侧额部多发结节术后改变,右侧增厚硬脑膜变薄且范围明显缩小。
2.讨论
HCP是指由硬脑膜慢性进行性炎症反应导致的硬脑膜纤维化增厚,临床上较为罕见,相关文献大多是小样本报道,缺少大宗病例统计,无确切的发病率数据。根据病因可分为特发性HCP和继发性HCP:特发性HCP致病原因不明;继发性HCP常由感染、免疫和外伤等因素引发,小脑幕、大脑镰和额部硬脑膜为常见受累部位。发病人群以中老年为主,多数患者出现慢性进展性或反复发作性头痛,为炎性刺激硬脑膜或是硬脑膜增厚导致颅内压增高所致。
部分患者亦可见颅神经麻痹、
本例患者影像学上除表现为硬脑膜肥厚强化外,还存在多发结节状占位性病变样强化,与脑膜
影像上出现类似本例中硬脑膜肥厚及多发结节呈占位样病变的HCP病例仅见数个个案报道。这种多发结节呈占位样强化表明硬脑膜肥厚不均,初步推测认为与硬脑膜反复感染或感染程度的不均一性相关。与单纯硬脑膜肥厚HCP患者相比,此类患者治疗预后可能不佳。该例患者术后经糖皮质激素治疗,症状与影像学征象均改善,目前随访半年病情稳定,远期疗效有待于继续随访跟踪研究。
HCP的临床治疗原则是在探明其病因的前提下针对病因治疗。当诊断考虑HCP时,大多数临床医师推荐及时使用大剂量糖皮质激素冲击治疗后改用小剂量维持,但是目前尚无统一的推荐剂量标准。如药物治疗无效,可考虑行硬脑膜
手术全切病灶应该是理想的治疗方式,术中用棉片覆盖术区以外的所有手术术野及封闭病灶相应的蛛网膜表面,尽量完整摘除病灶。用含抗生素的生理盐水冲洗至水变清为止,减少手术野的污染,降低复发或者扩散概率。切除手术可在一定程度上缓解占位效应,同时为组织病理学诊断提供依据,辅助鉴别病因。本病例手术选择对左侧额部硬脑膜病灶进行部分切除并置换邻近局部硬脑膜,主要原因是:术前诊断考虑为脑膜转移瘤,病灶多且分布广,全切除的可能性不大;部分切除可在一定程度上解除病灶占位压迫效应并获取相对完整的病理依据,以明确诊断。
来源:张文君,蒋秋华,刘俊.影像学表现为硬脑膜肥厚和多发结节状占位样的肥厚性硬脑膜炎1例报告[J].南昌大学学报(医学版),2022,62(02):104-106.
纵隔大细胞神经内分泌癌1例CT影像
张力性纵隔气肿影像表现及严重度分级
迅速增大的肺部结节,首先考虑良性,确诊需要肺穿
肺隔离症:易误诊为肺癌的占位性病变,肺穿刺禁忌!
肺段与肺内管道应用解剖
肺转移瘤的十种不典型CT表现
肺内淋巴结的CT表现特点及与病理对照
肺实变与肺不张的CT鉴别诊断
医生现身说法,这五种忙帮不得!
北大教授:要真正让医务人员有阳光体面的收入!医
为值夜班的医生护士鼓与呼:请给我们更多关注!
广东拟取消医院用药数量限制,满足患者多样性需求
博士、硕士入职就给精装房!又有医院不惜下血本招
历时7年之久,温医生宣判无罪!
重磅!四川发文:严禁限制医生多点执业
与真人医生诊断一致性达96%:AI医生应用前景广阔