肺隔离症是一种少见的先天性肺发育畸形.其特征为发育异常的肺组织与气管,支气管树缺乏正常交通,并接受体循环动脉供血,临床上术前误诊率高。
肺隔离征,往往以肺占位、肺部感染反复发作为主要表现,也可无症状而体检发现。大部分于左肺下叶靠近主动脉处。部分肺隔离症可能会被误诊为肺癌。典型者做主动脉CTA多可明确诊断。
肺隔离征的主要风险在于,如果没有做增强CT,误诊为可疑肺癌,贸然行CT下穿刺可能损伤动脉会有大出血风险。
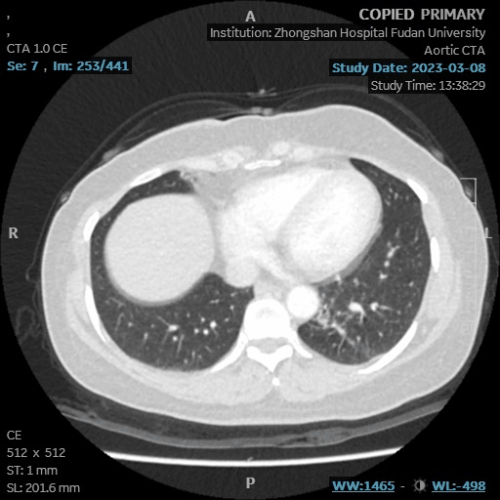
老年女性,体检发现左下肺实性阴影,伴多发囊性改变及渗出,体检报告疑似肺隔离征。

来院就诊,即行主动脉CTA见左下肺病灶处理由主动脉供血分支,



凭此典型征象可确诊为肺隔离征,本例影像较为典型,一般不会误诊为肺癌。
由于肺隔离征多数奖反复感染或咯血,多建议患者胸腔镜切除。
纵隔大细胞神经内分泌癌1例CT影像
张力性纵隔气肿影像表现及严重度分级
迅速增大的肺部结节,首先考虑良性,确诊需要肺穿
肺隔离症:易误诊为肺癌的占位性病变,肺穿刺禁忌!
肺段与肺内管道应用解剖
肺转移瘤的十种不典型CT表现
肺内淋巴结的CT表现特点及与病理对照
肺实变与肺不张的CT鉴别诊断
医生现身说法,这五种忙帮不得!
北大教授:要真正让医务人员有阳光体面的收入!医
为值夜班的医生护士鼓与呼:请给我们更多关注!
广东拟取消医院用药数量限制,满足患者多样性需求
博士、硕士入职就给精装房!又有医院不惜下血本招
历时7年之久,温医生宣判无罪!
重磅!四川发文:严禁限制医生多点执业
与真人医生诊断一致性达96%:AI医生应用前景广阔