前几天发表一篇关于新冠病毒性肺炎影像表现内容,24 小时内点击率高达 1.7 万人次,此数据表明大家都迫切想了解新冠病毒性肺炎的影像知识,如今一个星期后,大家现在是不是更关心这些病毒性肺炎如何判断是进展还是好转呢;现结合江西省印发《江西省新冠病毒感染患者出院标准专家共识的通知》内容及我院部分病毒性肺炎复查前后对比影像表现与大家分享。


病例一

首次检查

5 天后复查,病灶密度较前减低,实变减轻
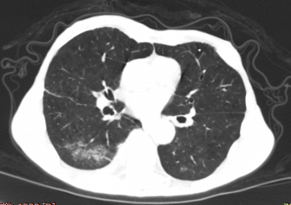
病例二

首次检查

第 6 天复查,病灶较前明显实变,范围缩小,呈机化改变
病例三

首次检查

第 4 天复查,两肺内病灶较前密度减低、消散;
病例四

首次检查

第 7 天后复查(症状出现第 2 天上抗病毒药物),病灶基本吸收
病例五

首次检查

第 9 天复查,肺内病灶较前明显吸收,血氧恢复正常、咳嗽减轻
病例六

首次检查

第 8 天复查,两肺内病灶范围较前明显缩小
病例七

首次检查

第 5 天后复查,两肺内病灶较前范围缩小、实变。
小结
目前我院病例多间隔 5-7 天时间复查,多数普通型新型冠状病毒肺炎患者经过治疗,病情趋于稳定、好转,表现为病灶范围缩小,密度逐渐减低,病灶数量减少,甚至磨玻璃影病灶完全吸收。部分患者病变可以在较短的时间内演变为纤维化的索条影。
当病灶进入消散期,表现为病灶逐步吸收,可遗留少许条索状高密度影,提示纤维化。少部分病例病程较短,影像可由早期表现直接进入消散期。
实变期;部分病灶范围较前缩小,在磨玻璃病灶内出现密度增高、实变(提示病灶修复-机化)。
部分磨玻璃病灶范围较小时,短期内病灶可以完全吸收,不留任何痕迹。

演变过程磨玻璃影 → 铺路石征 → 实变 → 纤维化

要相信,通过我们的努力,我们终究将迎来曙光,职责赋予我们肩负使命,我们踔厉奋发。
纵隔大细胞神经内分泌癌1例CT影像
张力性纵隔气肿影像表现及严重度分级
迅速增大的肺部结节,首先考虑良性,确诊需要肺穿
肺隔离症:易误诊为肺癌的占位性病变,肺穿刺禁忌!
肺段与肺内管道应用解剖
肺转移瘤的十种不典型CT表现
肺内淋巴结的CT表现特点及与病理对照
肺实变与肺不张的CT鉴别诊断
医生现身说法,这五种忙帮不得!
北大教授:要真正让医务人员有阳光体面的收入!医
为值夜班的医生护士鼓与呼:请给我们更多关注!
广东拟取消医院用药数量限制,满足患者多样性需求
博士、硕士入职就给精装房!又有医院不惜下血本招
历时7年之久,温医生宣判无罪!
重磅!四川发文:严禁限制医生多点执业
与真人医生诊断一致性达96%:AI医生应用前景广阔