新冠肺炎典型影像学表现
所以,假如患者出现空洞,基本上肯定不是单纯的新冠肺炎;假如患者的病灶不是胸膜下分布为主,就要警惕其他疾病;假如患者胸腔积液较多,也提示可能合并其他疾病。
下面这些都是新冠肺炎的肺CT。
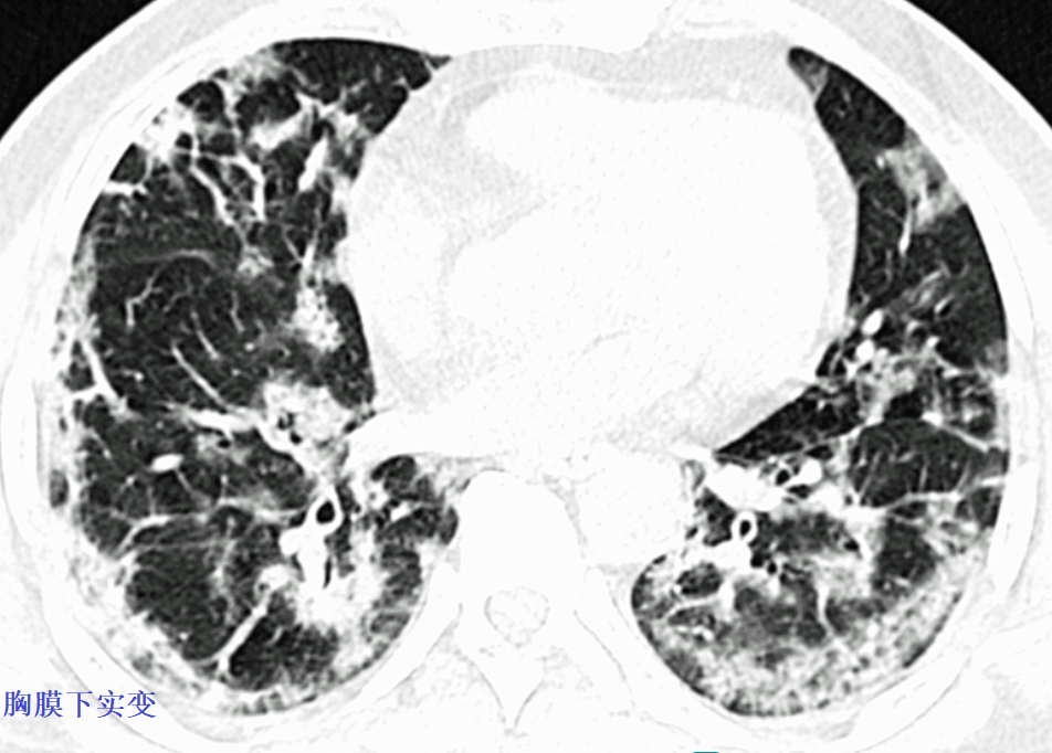
例1,磨玻璃+实变+胸膜下分布为主,典型的新冠肺炎。

例2,磨玻璃内见网格状阴影,胸膜下分布为主,典型的新冠肺炎。

例3,新冠肺炎不典型CT。

例4,磨玻璃,胸膜下分布为主,铺路石征,也是新冠肺炎的表现。

例5,新冠肺炎CT,虽然看着四不像,但是胸膜下分布为主。

例6,新冠肺炎好转后,肺上遗留各种病灶。

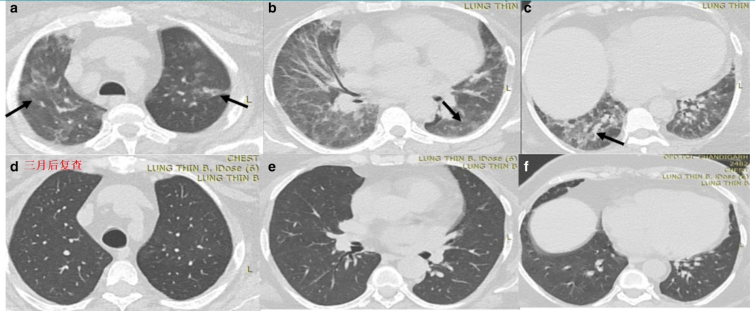
例7,新冠肺炎治疗前后(恢复好的患者)。

例8,新冠肺炎恢复期,还是有磨玻璃。

例9,新冠肺炎恢复期,遗留支气管扩张。

例10,新冠肺炎出院时,遗留各种各样的间质性改变。

新冠肺炎合并真菌感染
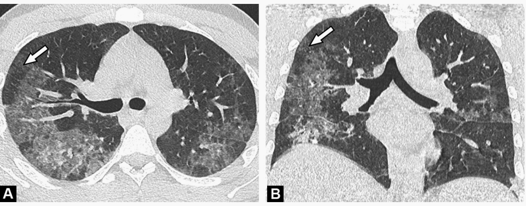
例1,一名69岁男性,新冠肺炎,继发血管侵袭性曲霉病,左下肺肿块,肿块内见小空洞,肿块周围见晕征(黑色实心箭头)。

例2,糖尿病患者,新冠肺炎,给予激素治疗,出现持续发热和呼吸困难。胸部CT示一大个乱七八糟的空洞,里面有网格,就像蜘蛛网,里面住着一个七彩毒蜘蛛:毛霉菌。个人经验,这个乱糟糟的蜘蛛网空洞,高度警惕真菌。

例3,糖尿病患者,64岁男性,最近4天出现发烧、咳嗽和呼吸困难,诊断新冠肺炎。CT:右肺实变,空洞,右下肺静脉血管壁不规则和管腔狭窄,提示血管侵犯(图b箭头)。最终诊断:肺部毛霉菌病。

例4,HIV患者,感染新冠肺炎,图b显示病灶以中央分布为主,胸膜下相对少,最终诊断合并肺孢子菌肺炎。

例5,一名54岁男性,既往有炎症性肠病病史而接受免疫抑制治疗,诊断新冠肺炎+肺隐球菌病。这个从影像学上不容易诊断。

例6,新冠肺炎+肺栓塞+曲霉感染。

例7,新冠肺炎好转后,再次发热,继发毛霉菌。

例8,新冠肺炎出院后再次呼吸困难,肺栓塞+毛霉菌感染。

例9,新冠肺炎出院2周后咯血,毛霉菌感染+假性动脉瘤。

新冠肺炎合并细菌感染
要从影像学看出新冠肺炎合并细菌感染,很多时候,并不容易,因为新冠肺炎本身也会实变。
例1,新冠肺炎好转后高热,肺炎链球菌感染,影像学表现为以实变为主。

例2,新冠肺炎合并呼吸机肺炎,实变为主。

例3,新冠肺炎,并发金葡菌肺炎。

新冠肺炎并发肺结核
例1,新冠肺炎后,再次发热,肺穿刺诊断为肺结核。

新冠肺炎的其他并发症
例1,并发气胸。

例2,新冠肺炎出院后并发肺栓塞。

例3,新冠肺炎合并肺水肿,注意看右图B,小叶间隔增厚,并且是光滑的增厚。

新冠肺炎的影像学鉴别诊断
要从影像学鉴别新冠肺炎,有时候非常不容易。
例1,H1N1流感病毒性肺炎,与新冠肺炎不容易鉴别。

例2,肺孢子菌肺炎,与新冠肺炎有时候很相似。图b显示肺孢子菌肺炎的气囊,有鉴别价值。

例3,空气潴留,马赛克衰减(箭头),提示过敏性肺炎。

例4,急性嗜酸细胞性肺炎。

例5,弥漫性肺泡出血,胸膜下病灶相对少。

例6,间质性肺炎急性加重。

例7,药物诱发的急性肺损伤,c和d胸膜下没有明显受累。

例8,细菌感染,支气管肺炎,有树芽征。

例9,细菌性肺炎,右图箭头内支气管痰栓。

例10,肺孢子菌肺炎,胸膜下病灶少。

例11,流感病毒性肺炎,与新冠肺炎难以区分。

例12,双侧中等量胸腔积液,不支持新冠肺炎,单纯的新冠肺炎很少会导致中等量胸腔积液。最终诊断肺出血肾炎综合征。

纵隔大细胞神经内分泌癌1例CT影像
张力性纵隔气肿影像表现及严重度分级
迅速增大的肺部结节,首先考虑良性,确诊需要肺穿
肺隔离症:易误诊为肺癌的占位性病变,肺穿刺禁忌!
肺段与肺内管道应用解剖
肺转移瘤的十种不典型CT表现
肺内淋巴结的CT表现特点及与病理对照
肺实变与肺不张的CT鉴别诊断
医生现身说法,这五种忙帮不得!
北大教授:要真正让医务人员有阳光体面的收入!医
为值夜班的医生护士鼓与呼:请给我们更多关注!
广东拟取消医院用药数量限制,满足患者多样性需求
博士、硕士入职就给精装房!又有医院不惜下血本招
历时7年之久,温医生宣判无罪!
重磅!四川发文:严禁限制医生多点执业
与真人医生诊断一致性达96%:AI医生应用前景广阔