作者:邱立军,乔宏伟,上海市杨浦区控江医院
病例男,48岁,以
查体:体温36.1℃,呼吸21次/分;右下肺呼吸音低,可闻及散在干湿罗音。胸部
冠状位MPR重组示右肺下叶支气管截断(图6)。气管镜检查:右肺下叶开口
大体病理标本:沿支气管断端切开可见支气管壁及外侧组织灰白色肿物,切面灰白界不清,质地较韧。镜下瘤细胞呈明显的多形性、异型性,以纤维母细胞和圆形组织样细胞为主,

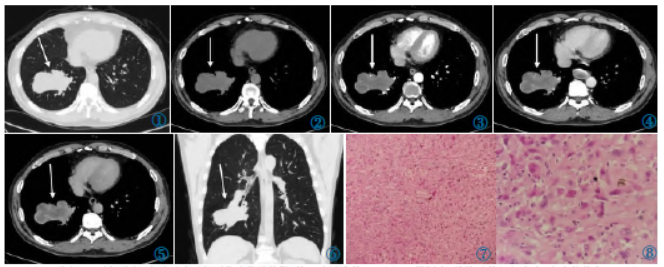
图1胸部CT平扫肺窗:右肺下叶不规则分叶状肿块影(箭),边界清楚。图2纵隔窗:肿块呈软组织密度,密度较均匀。图3~5CT增强:肿块呈不均匀边缘明显强化,动脉期即开始呈边缘明显强化,静脉期强化程度进一步增加,延迟120s病灶强化最明显。图6冠状位MPR重组:右肺下叶支气管截断。图7镜下瘤细胞呈明显的多形性、异型性,以纤维母细胞和圆形组织样细胞为主,肥胖的梭形细胞排列呈车辐状(HE)。图8镜下瘤细胞多形性明显,见核分裂像及瘤巨细胞(HE)。
讨论
UHGPS过去被称为多形性恶性纤维组织细胞瘤,2013年第4版WHO骨与
UHGPS多数体积较大,切面呈灰红色鱼肉状,可有白色纤维性区域,可见出血、坏死和黏液变性。显微镜下明显异型的梭形细胞和多形性细胞混合存在,呈片状、束状或车辐状排列,席纹状生长方式常见,核分裂易见,可见多核瘤巨细胞,间质可伴有不同程度的胶原化、泡沫样黄色瘤细胞和炎症细胞浸润。
病理诊断主要依据肿瘤的镜下特点和免疫组织化学染色,肿瘤细胞主要表达Vimentin、CD68、AAT和AACT阳性,大多数肿瘤细胞SMA一般为阴性,上皮标志物(如CK5/6、AE1/AE3)往往也呈阴性。原发于肺的UHGPS罕见,术前几乎均被误诊,临床表现无明显特异性,患者多表现为咳嗽、
影像学特点:肿块表现为体积较大的实性肿物,周围型多见,好发于中下肺,呈类圆形分叶状,边界较清晰,周围毛刺少见。平扫密度不均,内部多有囊变、坏死,可合并出血,极少数伴有钙化,病变具有侵袭性,可侵犯血管、胸膜、胸壁等邻近组织结构,增强扫描肿瘤实性部分较明显强化,纵隔及肺门淋巴结转移少见,可发生远处转移。
肺原发性UHGPS的影像学特点与周围型
总之,肺部原发UHGPS罕见,临床及影像学表现不具有特征性,当发现肺部体积较大的周围型软组织肿块,边界较规整,少有毛刺,密度不均匀且中心有坏死、囊变,增强扫描肿瘤实质部分强化较明显时,应想到UHGPS可能,确诊依赖病理组织学及免疫组化检查。治疗上首选手术,可辅以放化疗,提高对本病的影像学表现认识,早期诊断,尽早手术可改善患者预后。
来源:邱立军,乔宏伟.肺原发未分化高级别多形性肉瘤1例[J].中国临床医学影像杂志,2022,33(02):143-144.
纵隔大细胞神经内分泌癌1例CT影像
张力性纵隔气肿影像表现及严重度分级
迅速增大的肺部结节,首先考虑良性,确诊需要肺穿
肺隔离症:易误诊为肺癌的占位性病变,肺穿刺禁忌!
肺段与肺内管道应用解剖
肺转移瘤的十种不典型CT表现
肺内淋巴结的CT表现特点及与病理对照
肺实变与肺不张的CT鉴别诊断
医生现身说法,这五种忙帮不得!
北大教授:要真正让医务人员有阳光体面的收入!医
为值夜班的医生护士鼓与呼:请给我们更多关注!
广东拟取消医院用药数量限制,满足患者多样性需求
博士、硕士入职就给精装房!又有医院不惜下血本招
历时7年之久,温医生宣判无罪!
重磅!四川发文:严禁限制医生多点执业
与真人医生诊断一致性达96%:AI医生应用前景广阔