作者:杨涵,吴跃辉,向欣,杨华,贵州医科大学附属医院神经外科
对比剂脑病(contrast-induced encephalopathy,CIE)是碘化对比剂导致的罕见不良反应,发病率不足1%。CIE是对比剂外渗后其毒性造成的皮质功能损伤,常表现为迅速起病的神经功能障碍。目前临床常用的碘克沙醇是第三代非离子型等渗对比剂,具有与体液等渗、耐受性好的优点。
虽然碘克沙醇对股动脉血流量、肾小管功能及心脏功能的影响较其他非离子型对比剂小,是一种具有较高安全性和效能的对比剂,但其仍有可能导致CIE的发生。本文报道1例碘克沙醇致全
患者女,77岁,因“突发头晕、步态不稳2d”入住贵州医科大学附属医院神经外科。患者于2d前无明显诱因出现头晕,呈非旋转性,伴眼花、步态不稳,无复视、
入院体格检查:体温:36.9℃,

图1碘克沙醇致全脑血管造影术后对比剂脑病患者入院时影像学资料1a为扩散加权成像,示左侧小脑半球及脑桥多发急性梗死灶;1b为CT血管成像,示右侧椎动脉、基底动脉未见显影,左侧椎动脉远端纤细,显影不清
入院后控制血压于140/85mmHg左右,予扩容、阿司匹林+氯吡格雷抗血小板聚集、阿托伐他汀降脂稳定斑块、丁苯酞改善微循环等治疗,患者病情稳定,未见新发神经系统阳性体征。为进一步明确患者脑血管情况,必要时行血管开通治疗,与患者家属沟通后于入院第4天局部麻醉下行全脑血管造影术。
造影见双侧后交通动脉开放,部分血流经后交通动脉向后循环代偿(图2a~2d),左侧椎动脉远端未见显影(图2e),右侧椎动脉因患者血管极其弯曲(图2f),置管困难,未能进一步明确。与患者家属沟通后同意结束造影,暂继续药物治疗。


图2碘克沙醇致全脑血管造影术后对比剂脑病患者发病第6天时DSA影像2a,2b为左颈内动脉正侧位,示左侧后交通动脉开放;2c,2d为右颈内动脉正侧位,示右侧后交通动脉开放;2e为左侧椎动脉侧位,示V4段远端未见显影;2f为弓上造影,示右侧头臂干分叉处较弯曲
术中患者未诉特殊不适,
急查头部CT显示左侧大脑中动脉密度增高,左侧额颞顶叶脑沟变窄、脑回肿胀,符合弥漫性脑
排除大血管闭塞型急性脑梗死后考虑CIE,术后立即予大量补液促进对比剂排泄、甘露醇脱水利尿、尼莫地平控制血管

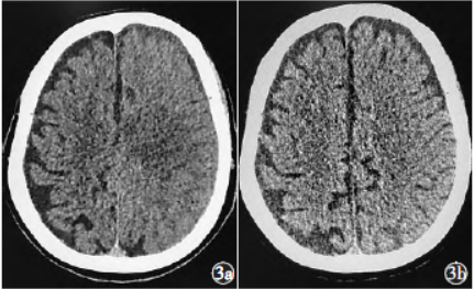
图3碘克沙醇致全脑血管造影术后对比剂脑病患者首次造影术后头部CT影像资料3a为术后4h头部CT影像,示左侧大脑半球脑回肿胀,脑沟脑裂变窄;3b为术后48h头部CT影像,示脑水肿明显减轻
讨论
心脑血管造影术中碘化对比剂的应用可导致头疼、恶心、
碘克沙醇所致CIE的临床表现包括局部皮质和皮质下功能受损(如偏瘫、偏盲、皮质盲、失语、
Allison等报道了3例术后出现CIE的未破裂
Hamra等报道了1例
Yan等报道了1例未破裂动脉瘤患者在造影术后出现嗜睡、四肢肌
刘文虎等报道了1例急性脑梗死合并基底动脉瘤患者,造影术后出现头晕且症状持续未缓解,急查头颈部CTA未见明显新增血管异常,脑灌注成像亦未见明显异常。由此可见,CIE是一种起病迅速、症状多样的疾病,轻者可出现与血管痉挛类似的嗜睡、失语、
此外,还可表现为渐进性病程进展,部分患者可首发定向力障碍、自言自语等精神神经症状,随后逐步出现明显的神经功能障碍。CIE的影像学表现也较为复杂:部分患者头部CT或MRI可无阳性发现;部分患者CT可表现为大脑半球水肿并且可合并蛛网膜下腔密度改变,易被误认为大面积脑梗死。因此,CIE的诊断较为困难,目前尚无明确诊断标准,多采用排他性的诊断策略,在排除新发出血、脑梗死以及原发病进展后,均应考虑到CIE的可能。
本例患者术后4h出现右侧肢体偏瘫、失语、昏睡,同时头部CT提示左侧大脑中动脉密度增高并左侧大脑半球弥漫性脑水肿,高度怀疑左侧大脑中动脉急性血栓栓塞所致大面积脑梗死,但再次行脑血管造影发现双侧前循环通畅,最终诊断为CIE。
本例CIE的临床表现极具迷惑性,与急性大面积脑梗死相似,国内外尚未见类似发病案例,需引起医务人员的高度警惕。CIE的发病机制尚不明确,目前认为可能的机制有以下几种:
(1)对比剂的机械刺激导致血-脑屏障和血管内皮细胞破坏,使得血-脑屏障原有的作用消失,血液中的对比剂突破血-脑屏障在大脑中蓄积,干扰大脑皮质功能引起CIE,在CT中表现为大脑皮质或皮质下增强;
(2)高渗碘对比剂溶液对血-脑屏障的破坏。高渗对比剂可以对大脑小动脉、毛细血管和小静脉的内皮细胞施加更大的渗透压,导致细胞收缩和紧密连接的细胞分离,促进对比剂流入血管外室,这也是目前对比剂研发的重要理论依据;
(3)对比剂注入引起大脑远端动脉血管痉挛,导致患者皮质功能受损而出现一系列与卒中相似的临床表现;
(4)在合并高血压病基础上,血-脑屏障和脑血管自我调节能力较正常人下降,再加上注射对比剂引起血管腔内压力增加,导致血管壁张力增加和紧密连接分离,导致血-脑屏障破坏,引起颅内液体和对比剂的局部转移。
本例患者的发病机制可能是长年的高血压导致脑血管自我调节能力下降并出现脑小血管病变,血-脑屏障功能受损;同时,造影术中因左侧颈总动脉开口处及分叉处较弯曲,术中曾多次向左侧前循环注射对比剂,一方面可加重血-脑屏障损伤,另一方面可导致脑血管痉挛,造成对比剂滞留,进一步加重血-脑屏障损伤。
最终左侧大脑半球血-脑屏障被破坏,对比剂外漏,其毒性作用刺激脑组织,引起相应病理改变。既往有血-脑屏障受损的原发病患者可能更容易发生CIE,如颅内肿瘤、脑梗死、未控制的高血压、
因此术中操作不当,如短时间内大量或重复注射对比剂,注射压力过高、速度过快,直接注射未稀释的对比剂,使用高渗、高黏滞度的对比剂等,均可能导致CIE的发生。发现CIE后需迅速处理,积极治疗,治疗原则为加速对比剂代谢的同时保护脑功能,减少脑组织所受毒性刺激,也应积极处理原发病。可采用糖皮质激素、脱水利尿、改善微循环、降低脑耗氧量、大量补液及对症处理,以维持生命体征稳定。
Spina等回顾了52例CIE患者,其中51例患者经上述治疗后均完全康复,仅1例患者未完全康复,该研究表明CIE预后通常较好。本例患者采用上述治疗措施处理后也取得了良好的预后。但Zhao等报道的1例双侧大脑中动脉狭窄患者,在造影术后立刻出现CIE,经上述治疗方式处理后,脑水肿及蛛网膜下腔高密度持续未缓解,最终该患者死亡。因此病程中需密切关注患者病情变化,监测颅内变化,做好医患沟通,若出现脑水肿加重、持续未缓解等情况,可考虑手术治疗以挽救患者生命。
综上所述,CIE是一种发病率极低的对比剂不良反应,但其起病迅速、症状多样的特点使得CIE的诊断较为困难。本例CIE患者临床表现与前循环急性大面积脑梗死类似,若盲目诊断为急性脑梗死并进行治疗,可能会加重患者病情,造成严重不良后果。因此,造影术后出现新发神经系统症状时,应考虑到CIE的可能并积极进一步排除。
本中心目前认为:(1)
为避免CIE的发生,应注意:(1)既往有高血压病、糖尿病病史的患者需要在术前做好疾病管理,降低血-脑屏障被破坏的风险;(2)造影过程中,可使用等渗盐水将对比剂稀释以减小其对颅内血管的刺激;(3)避免短时间内大量或重复注射对比剂。此外,应严格掌握造影术的适应证,尽量选用CTA和MRA等明确脑血管情况,以减少潜在的不必要风险。
本例患者为在有CTA结果的情况下行脑血管造影,考虑患者CTA提示基底动脉重度狭窄和闭塞可能,而其临床表现并不严重,且患者发病时间为急性脑梗死介入治疗时间窗(48h~14d),因此为进一步明确前循环是否向后循环代偿、其代偿程度是否需要进一步介入治疗,且CTA和MRA无法明确颅内代偿情况,故予行脑血管造影术。
虽然CIE预后通常较好,无后遗症状,但其病程变化多端,容易给患者家属及医务人员带来巨大心理压力。医务人员需充分认识该疾病,术前务必做好风险告知,做好医患沟通,一旦发生CIE时能积极正确处理,保障医疗安全。必要时也可以考虑手术治疗,挽救患者生命。
来源:杨涵,吴跃辉,向欣,杨华.碘克沙醇致全脑血管造影术后对比剂脑病一例并文献复习[J].中国脑血管病杂志,2022,19(03):198-201.
纵隔大细胞神经内分泌癌1例CT影像
张力性纵隔气肿影像表现及严重度分级
迅速增大的肺部结节,首先考虑良性,确诊需要肺穿
肺隔离症:易误诊为肺癌的占位性病变,肺穿刺禁忌!
肺段与肺内管道应用解剖
肺转移瘤的十种不典型CT表现
肺内淋巴结的CT表现特点及与病理对照
肺实变与肺不张的CT鉴别诊断
医生现身说法,这五种忙帮不得!
北大教授:要真正让医务人员有阳光体面的收入!医
为值夜班的医生护士鼓与呼:请给我们更多关注!
广东拟取消医院用药数量限制,满足患者多样性需求
博士、硕士入职就给精装房!又有医院不惜下血本招
历时7年之久,温医生宣判无罪!
重磅!四川发文:严禁限制医生多点执业
与真人医生诊断一致性达96%:AI医生应用前景广阔