作者:张玥,蔡迪明,四川大学华西医院超声医学科
患者男,59岁,因体质量减轻1个月,外院发现肝脏占位(考虑肝囊腺瘤)来院就诊。体格检查:皮肤巩膜无黄染,腹部外形正常,全腹软,无
实验室检查:

图1 肝脏恶性间皮瘤声像图。A:二维超声示囊实混合回声团块,其内可见分隔和片状无回声及弱回声区;B:CDFI于团块内可探及点线状血流信号
超声

图2 肝脏恶性间皮瘤超声造影图。A:动脉相(28 s),团块内呈分隔样强化;B:门脉相(87 s),分隔呈稍低增强,团块内可见大片状不增强区域;C:实质相(162 s),分隔呈稍低增强,团块内可见大片状不增强区域
增强

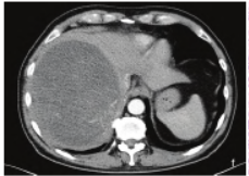
图3 增强CT示动脉晚期于团块内可见迂曲血管影
增强CT提示:寄生虫感染?肿瘤?或其他。患者行“右侧复杂肝占位切除+胆囊切除+门静脉修补+膈肌修补术”,术中见:腹腔内未见积液,脏器间无明显粘连,肝脏大小及形态基本正常,质地稍韧,右肝可见一大小约17 cm×13 cm×10 cm实性占位突出肝脏表面,与膈肌紧密粘连,可疑侵犯膈肌。
术后剖视标本:肝脏占位类圆形,为囊实性包块。病理所见:肿物大小13 cm×11cm×9 cm,切面灰白、灰褐,实性,质软,肿物切面大部分区域见出血坏死,与周围组织分界较清。肝脏恶性肿瘤浸润伴坏死。小部分有上皮样形态;大部分呈梭形细胞/

图4 肝脏恶性间皮瘤病理图。A:病理图示呈梭形细胞/肉瘤样细胞成分(HE染色,×200);B:病理图示上皮样细胞成分(HE染色,×400)
讨论
间皮瘤常起源于胸膜、腹膜,其中肝脏恶性间皮瘤非常罕见。间皮瘤可分为上皮型、肉瘤型和混合型,其中上皮型多见,本例为肉瘤型,更为罕见。肝脏间皮瘤男女均可发病,在中位年龄为58岁的男性中更常见。肿块绝大多数位于右肝,直径约3.2~24.0 cm。其临床表现和实验室检查结果缺乏特异性,部分患者可出现右上腹疼痛、头晕、体质量减轻、低热和血红蛋白缺乏等症状。
本病例超声表现与既往文献报道相似,均为单发病灶,圆形或类圆形的囊实混合团块,体积较大,壁较薄,边界较清楚,形态较规则,内可见厚壁分隔和大片状低回声区,低回声区域为出血和陈旧性坏死区,团块实性成分内可探及少许点线状血流信号,肿块较大时可推挤周围血管。
本病例无
总之,肝脏恶性间皮瘤发生率低,且临床表现和实验室检查缺乏特异性,通过分析超声造影特征有助于拓宽临床医师诊断思路。
来源:张玥,蔡迪明.肝脏恶性间皮瘤超声造影表现1例[J].临床超声医学杂志,2022,24(02):159-160.
纵隔大细胞神经内分泌癌1例CT影像
张力性纵隔气肿影像表现及严重度分级
迅速增大的肺部结节,首先考虑良性,确诊需要肺穿
肺隔离症:易误诊为肺癌的占位性病变,肺穿刺禁忌!
肺段与肺内管道应用解剖
肺转移瘤的十种不典型CT表现
肺内淋巴结的CT表现特点及与病理对照
肺实变与肺不张的CT鉴别诊断
医生现身说法,这五种忙帮不得!
北大教授:要真正让医务人员有阳光体面的收入!医
为值夜班的医生护士鼓与呼:请给我们更多关注!
广东拟取消医院用药数量限制,满足患者多样性需求
博士、硕士入职就给精装房!又有医院不惜下血本招
历时7年之久,温医生宣判无罪!
重磅!四川发文:严禁限制医生多点执业
与真人医生诊断一致性达96%:AI医生应用前景广阔