作者:CSD 广州医科大学附属第一医院
本文为作者授权医脉通发布,未经授权请勿转载。
一、病历摘要
患者,女,48岁。主因“肝病史12年余,肝癌7月余,腹胀1周”入院。
现病史:患者于12年前因腹胀、双下肢
体格检查:面色晦暗,未见明显黄染,睑结膜略苍白,腹部略饱满,叩诊呈鼓音,肠鸣音4次/分,肝脾肋下未触及,腹膜刺激征(-),移动性浊音(±), 双下肢不肿,病理征(-),扑翼样震颤及踝阵挛(-)。末次月经是2022年2月24日。
辅助检查:
(1)血常规检查:(2022年3月8日)示WBC 2.55x109 /L,N% 61%,HGB 104 g/L。复查血常规(2022年3月18日):WBC 10.33x109 /L,N% 89.7%,HGB 76 g/L。肝功能+血生化:ALT 101.1 U/L,AST 186.9 U/L,TBIL 25.1 μmol/L,DBIL 15.7 μmol/L,ALB 35.2 g/L,GLU(空腹)5.04 mmol/L,Cr 43.5 μmol/L,CHE 4221 U/L,PCT 0.06 ng/mL。乙肝五项:HBsAg(+),HBsAb(-),HBeAg(-),HBeAb(+),HBcAb(+)。HBV-DNA:7.6x102 IU/mL。
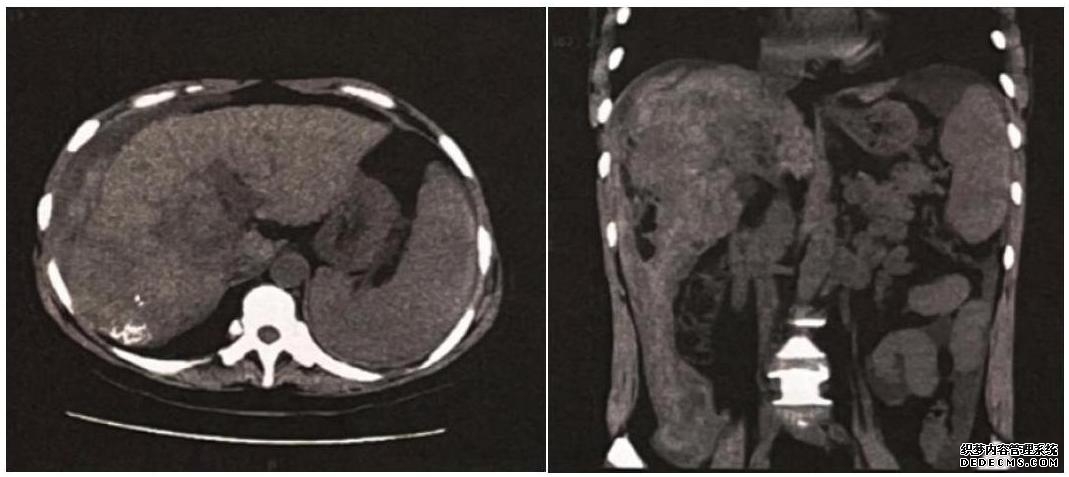
(2)影像学检查:腹部CT(增强,2022年3月12日)示肝癌介入术后改变,病灶残余,新发灶不除外,门脉右支及肝门区胆管受侵,肝硬化伴多发再生结节形成,腹水。腹部CT(平扫,2022年3月17日):肝右叶肝癌破裂出血,腹水量较前增加(图1)。腹部CT(平扫,2022年3月26日):肝癌介入术后改变,腹腔及盆腔积液,腹腔内血肿较前吸收(图2)。

图1

图2
诊断:肝癌破裂出血。
二、诊疗经过
患者为原发性肝癌,拟寻求进一步治疗入院,入院后予甘草酸制剂、
患者活动性出血停止,住院期间经介入科会诊认为进一步介入治疗获益不大,家属拒绝肝移植,出血停止后返回当地继续治疗。出院时检查结果显示血常规:WBC 3.59x109 /L,N% 72.1%,HGB 85 g/L。肝功能+血生化:ALT 28.9 U/L,AST 38.9 U/L,TBIL 37.9 μmol/L,DBIL 22.5 μmol/L,ALB 36.3 g/L,Cr 41.8 μmol/L,CHE 2556 U/L。
三、病例分析
肝癌破裂出血是指由于肝癌细胞生长快速,肿瘤结节发生缺血、坏死、软化而自发性破裂出血,或在外力作用下腹压骤然升高导致肝癌组织破裂出血。临床常见突发剧烈的右上腹疼痛,并迅速波及全腹,患者可有贫血貌、腹膜刺激征、腹部移动性浊音(+),若行腹腔穿刺可抽出不凝固血液,HGB水平进行性下降,影像学B超、CT等检查提示肝占位性病变及出血灶、腹内积血等。
该患者为肝硬化基础上发生的肝癌,影像学提示门脉右支及肝门区胆管受侵,患者突发腹部疼痛,血压下降,既往有肝脏肿瘤破裂史,排除宫外孕,急诊腹部CT提示肝右叶肝癌破裂出血,即予肝动脉栓塞,出血控制,救治成功。
肝癌破裂出血,病情进展迅速,出血量的多少直接影响着临床表现及预后,出血量较大可出现休克表现,可继发腹膜炎,严重者可出现感染中毒性休克危及生命,预后差。治疗包括:①外科手术治疗;②有介入指征者可行超选择性肝动脉栓塞(TAE)止血治疗,该方法较外科适应证更宽泛,是肝癌破裂出血最为迅速有效的措施;③内科保守治疗针对出血量小或肝功能为Child-Pugh C级、多脏器严重损伤患者,不符合外科及介入科止血指征者。
纵隔大细胞神经内分泌癌1例CT影像
张力性纵隔气肿影像表现及严重度分级
迅速增大的肺部结节,首先考虑良性,确诊需要肺穿
肺隔离症:易误诊为肺癌的占位性病变,肺穿刺禁忌!
肺段与肺内管道应用解剖
肺转移瘤的十种不典型CT表现
肺内淋巴结的CT表现特点及与病理对照
肺实变与肺不张的CT鉴别诊断
医生现身说法,这五种忙帮不得!
北大教授:要真正让医务人员有阳光体面的收入!医
为值夜班的医生护士鼓与呼:请给我们更多关注!
广东拟取消医院用药数量限制,满足患者多样性需求
博士、硕士入职就给精装房!又有医院不惜下血本招
历时7年之久,温医生宣判无罪!
重磅!四川发文:严禁限制医生多点执业
与真人医生诊断一致性达96%:AI医生应用前景广阔