作者:李晓冉,朱文莉,傅晓明,南京市高淳人民医院医学影像科
肝脏妊娠是一种罕见的
1.病例资料
患者,女,29岁,孕1产1,因停经48d,腰胀2d入住我院,患者平素月经规则,诉近2d出现腹胀,伴腰胀,无腹痛,无肛门坠胀感。体检:腹部平坦,未触及包块。妇科检查未见明显异常。实验室检查血常规、凝血常规未见明显异常,血β-人绒毛膜促性腺激素(β-human chorionic gonadotropin,β-HCG)升高14516.000mIU/ml。
既往曾行剖宫产一次,否认其他手术史。妇科超声示:子宫前位,大小正常,包膜光滑。宫腔波居中。肌壁回声欠均匀,内膜回声均匀,内膜厚5.7mm。未见明显宫内妊娠。双侧附件未见明显异常。
探及肝右前叶下缘见24mm×27mm×19mm囊性包块,卵黄囊未见,胎心搏动未见,周边见血流信号(图1a),局部放大后可见12mm×6mm类胚胎结构(图1b)。上腹部平扫MRI表现:肝右叶S5见厚壁囊状T1WI低信号、T2WI高信号影,约30mm×25mm,其内见结节状T1WI等高信号、T2WI等信号影,扩散受限改变(图2)。诊断提示:肝脏异位妊娠可能。

图1妇科彩色多普勒超声示肝右前叶下缘见囊性包块(箭),界清,内透声欠佳,病灶周围可及血流信号;图2上腹部MRI平扫。a)T1WI轴位示肝右前叶下段见类圆形混杂信号影(箭),中心呈稍高信号(箭头);b)T2WI轴位示病灶边界清,中心呈等高信号(箭);c)T2WI-FS冠状位示,病灶呈厚壁囊性信号(箭),中心近边缘可见结节状低信号(箭头)
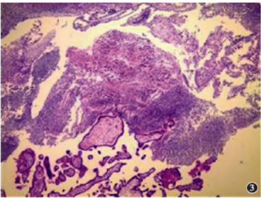
手术及病理:全麻行腹腔镜手术探查,探查盆腔少量淡血性液体积聚,可及瘢痕子宫,周围粘连明显,双侧输卵管、卵巢未见明显异常。向头侧探查可及肝S5有一直径5cm囊性肿物,肝脏色泽正常,周围粘连,结合术前HCG升高,术中考虑肝脏妊娠。完整切除孕囊后,电凝止血肝脏创面。术后剖验标本见孕囊内死胎,

图3病理图示切除组织光镜下见绒毛组织(HE×100)
2.讨论
受精卵种植在子宫体部以外任何部位的妊娠称为异位妊娠,亦称为宫外孕,常发生在输卵管、卵巢、阔韧带等。肝脏异位妊娠罕见,其发生率为1.4%,病死率是非腹部异位妊娠的7.7倍,国内文献报道仅15例左右。临床上,大多数患者因腹痛入院,并伴有停经和不规则阴道出血史,血β-HCG升高。
肝脏异位妊娠分为原发性与继发性,其中原发性肝脏异位妊娠更为罕见,其诊断必须满足Studdiford建立的标准,即:(1)双侧的输卵管和卵巢无异常;(2)无子宫-腹膜瘘形成;(3)妊娠仅存在于腹腔内;(4)不存在输卵管妊娠后二次着床的可能性。继发性肝脏妊娠是指受精卵流入腹腔内,着床在肝脏腹膜表面而导致,常见诱因有输卵管妊娠破裂、子宫切口破损等。
由于肝脏妊娠胎盘的血供明显不如正常子宫妊娠,因此胎儿发育差,能存活至足月者仅占5%~10%,其余大多数在不同时期死亡。本例肝脏异位妊娠患者未出现急性临床表现,且妇科超声未能检测到胎心搏动,推测其与胚胎较小、胎儿已停育有关。肝脏异位妊娠的病因及发病机制非常复杂,目前尚不清楚。
通过复习既往相关文献,可能与以下方面有关:(1)避孕因素,包括口服避孕药和宫内节育器,使受精卵无法正常着床于子宫内。(2)不同程度的子宫、输卵管和盆腔病变,是肝脏异位妊娠发病率上升的原因之一。(3)肝脏的生理解剖结构,肝脏是腹腔最大的实体器官,有丰富的血供适合胚胎生长。
本例患者既往有剖宫产史,推测其发病机制为再次妊娠后剖宫产切口裂开,妊娠物经破口被挤压、外游至腹腔内,而肝脏表面张力不强,受精卵易于附着,继续生长发育为肝脏异位妊娠。此外,由于重力的作用,受精卵会游到腹腔的最低处。仰卧位时,肝右叶下段为腹腔最低位,故肝脏异位妊娠的位置常出现在肝右叶下段,本例亦符合。
在诊断异位妊娠时,影像检查的应用不仅可以减少误诊,还可提高诊断效率。超声可寻找着床部位,检测胎心搏动,不仅安全,而且方便。然而,由于腹部脂肪层的厚度和患者肠道中的气体,超声应用也会受到限制。CT和MRI可反映孕囊附近的组织结构,详细地描述异位的妊娠囊、胎盘精确位置及周围解剖结构,特别是MRI具有多方位成像特点,对发现孕囊和明确病变部位及其范围具有很大优势。
综合本例及相关文献分析,肝脏异位妊娠主要有以下影像学特征:随着孕期的进展,影像表现亦发生变化,早期表现为厚壁囊性回声、密度或信号,边界清晰,由于病灶有供血动脉,彩色多普勒超声可见病灶有血流信号,CT和MRI增强扫描示囊壁较明显强化,可呈结节状或环状改变,中心囊性成分无强化,若胎儿存活,到中晚期超声可探及胎心搏动及胎儿活动,CT和MRI可见完整的羊膜囊、胎盘及成形胎儿,密度或信号变混杂。本病例未行增强扫描检查,是为不足,但从妇科超声及MRI可见肝右叶边缘部厚壁囊实性团块,形态较为规整,内部呈现混杂回声或信号,两者均可见较为明显的类胚胎结构,对于术前诊断具有重要指导意义。
根据发病部位及临床表现,本例肝脏异位妊娠需与以下疾病鉴别:(1)肝脏海绵状血管瘤:超声表现多为高回声,呈低回声者多有网状结构,CT增强扫描动脉期多呈边缘团片状强化,门脉期及延迟期进一步充填,多呈现“快进慢出”特点,MRI中T2WI肿瘤可表现为边缘锐利的明显高信号,即“灯泡征”。(2)肝脓肿:患者可有高热、腹痛症状,典型表现为CT增强扫描的环征改变,即环形强化的脓肿壁和周围无强化的
来源:李晓冉,朱文莉,傅晓明.肝脏异位妊娠MR表现一例[J].影像诊断与介入放射学,2022,31(03):230-232.
纵隔大细胞神经内分泌癌1例CT影像
张力性纵隔气肿影像表现及严重度分级
迅速增大的肺部结节,首先考虑良性,确诊需要肺穿
肺隔离症:易误诊为肺癌的占位性病变,肺穿刺禁忌!
肺段与肺内管道应用解剖
肺转移瘤的十种不典型CT表现
肺内淋巴结的CT表现特点及与病理对照
肺实变与肺不张的CT鉴别诊断
医生现身说法,这五种忙帮不得!
北大教授:要真正让医务人员有阳光体面的收入!医
为值夜班的医生护士鼓与呼:请给我们更多关注!
广东拟取消医院用药数量限制,满足患者多样性需求
博士、硕士入职就给精装房!又有医院不惜下血本招
历时7年之久,温医生宣判无罪!
重磅!四川发文:严禁限制医生多点执业
与真人医生诊断一致性达96%:AI医生应用前景广阔