【病史】51岁男性,酒精肝病史并右中腹部疼痛。
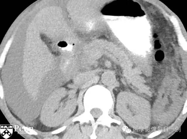
Contrast-enhanced CT images




问题1.以下哪项为主要异常所在及患者疼痛的病因?
A.胆道
B.胃
C.胰十二指肠
D.肾脏
E.脾脏
MR images
因为考虑胰腺肿块,患者行上腹部超声内镜活检,示十二指肠炎性改变,胰腺正常。CA 19-9正常,脂肪酶轻度升高。患者遂行MR检查。
Images from the patient’s MRCP
依次为轴位T1平扫及增强,轴位T2及MIP




2.根据影像学表现,病理及实验室检查,最可能的诊断为?
A.十二指肠腺癌
B.沟槽状/局限性胰腺炎
C.导管内乳头状黏液瘤
D.胰腺浆液性或黏液性腺瘤
E.胰腺腺癌
【答案】1.C 2.B
【影像学改变】
【最终诊断】
沟槽状/局限性胰腺炎
【鉴别诊断】
胰腺腺癌
十二指肠腺癌
导管内乳头状黏液瘤
胰腺浆液性或黏液性腺瘤
【诊断】此患者脂肪酶轻度升高,活检阴性并CA 19-9正常,考虑为沟槽状/局限性胰腺炎
【讨论】
Ultrasound: 胰腺沟槽部见低回声肿块
CT: 胰头增大,沟部可见低密度、轻度强化肿块。
MR/MRCP: 胰腺病变T1呈低信号,T2呈等-轻度高信号,并延迟强化。MRCP示沟槽部或临近组织小囊肿。胰腺内胆总管及胰管远端狭窄。
因此病例小编感觉图像并不典型,特从文献找了2个较典型病例,让大家能真正认识此种疾病。
【病例一】男性40岁,有长期饮酒史,上腹部疼痛放射至背部,间歇性呕吐,体重下降9公斤。



图1平扫示胰头肿胀,低密度肿块(黑箭),十二指肠壁增厚并管腔狭窄(白箭)。
增强扫描动脉期示胰头肿胀,低密度肿块(黑箭),十二指肠壁增厚并管腔狭窄(白箭)。
增强扫描门脉期示胰头肿胀,低密度肿块(黑箭),十二指肠壁增厚并管腔狭窄(白箭)。
胰腺周围可见液体及线条影在平扫及增强均显示。

上腹部胃镜示十二指肠降部狭窄并息肉样病变,病变肿胀,粘膜呈红色隆起。
【病例二】







【结论】沟槽状胰腺炎常与胰头癌相似,此情况下应引起注意:任何局限性胰腺炎改变并累及相邻十二指肠,应考虑沟槽状胰腺炎。
纵隔大细胞神经内分泌癌1例CT影像
张力性纵隔气肿影像表现及严重度分级
迅速增大的肺部结节,首先考虑良性,确诊需要肺穿
肺隔离症:易误诊为肺癌的占位性病变,肺穿刺禁忌!
肺段与肺内管道应用解剖
肺转移瘤的十种不典型CT表现
肺内淋巴结的CT表现特点及与病理对照
肺实变与肺不张的CT鉴别诊断
医生现身说法,这五种忙帮不得!
北大教授:要真正让医务人员有阳光体面的收入!医
为值夜班的医生护士鼓与呼:请给我们更多关注!
广东拟取消医院用药数量限制,满足患者多样性需求
博士、硕士入职就给精装房!又有医院不惜下血本招
历时7年之久,温医生宣判无罪!
重磅!四川发文:严禁限制医生多点执业
与真人医生诊断一致性达96%:AI医生应用前景广阔