| Amyand疝 |
| Amyand疝是一种疝内容物为阑尾,并发生在腹股沟管,临床上很容易误诊、漏诊。1735年英国医师Amyand给一例11岁男性患儿行腹股沟疝手术时,发现其疝内容物为坏死的阑尾且已形成肠瘘,行阑尾切除术及疝修补手术后痊愈,Amyand疝由此得名。 |
| 根据疝内容物阑尾病变类型分为4类:
I 型:正常阑尾; II 型:疝囊内急性阑尾炎; III型:急性阑尾炎合并腹膜炎(疝囊积脓); IV 型:急性阑尾炎合并其他腹部病变。 |
| Amyand疝极易造成阑尾发炎、化脓和穿孔。阑尾由于为终末血运,一旦进入疝囊,及时稍有嵌顿,其静脉的血流也会受阻,使阑尾充血水肿,嵌顿更严重,接着动脉血运也会受阻,将会进一步化脓、坏死、穿孔及形成疝囊脓肿,处理非常棘手。 |

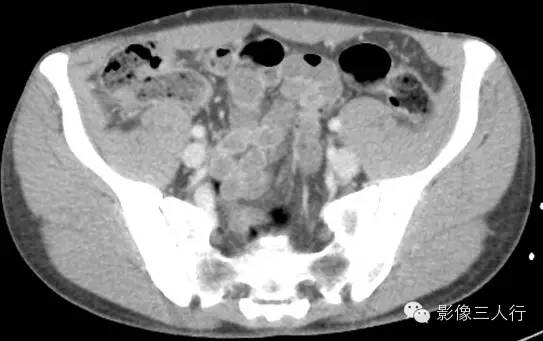
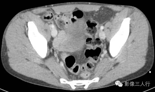
延盲肠层面向下延续能看到腹股沟管走行区可见到管状的阑尾影像,腔内可见气体密度,阑尾壁无增粗,周围无明显渗出。















纵隔大细胞神经内分泌癌1例CT影像
张力性纵隔气肿影像表现及严重度分级
迅速增大的肺部结节,首先考虑良性,确诊需要肺穿
肺隔离症:易误诊为肺癌的占位性病变,肺穿刺禁忌!
肺段与肺内管道应用解剖
肺转移瘤的十种不典型CT表现
肺内淋巴结的CT表现特点及与病理对照
肺实变与肺不张的CT鉴别诊断
医生现身说法,这五种忙帮不得!
北大教授:要真正让医务人员有阳光体面的收入!医
为值夜班的医生护士鼓与呼:请给我们更多关注!
广东拟取消医院用药数量限制,满足患者多样性需求
博士、硕士入职就给精装房!又有医院不惜下血本招
历时7年之久,温医生宣判无罪!
重磅!四川发文:严禁限制医生多点执业
与真人医生诊断一致性达96%:AI医生应用前景广阔