





图 2 与图 1 为同一病例 ,回盲部肠壁增厚 ,分层强化 ,回肠末端唱腔狭窄
图 3 男 , 13 岁 。 Crohn 病 。 结肠多节段肠壁增厚 ,呈跳跃式分布 ,强化增加
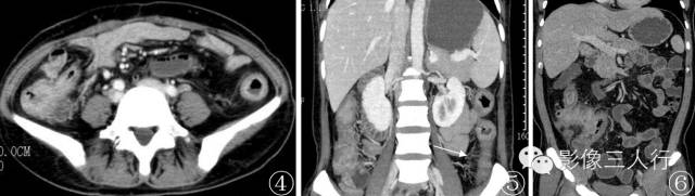
图 4 , 5 女 , 41 岁 。 Crohn 病 。 回肠末端及结肠全程肠壁增厚 ,分层强化 ,降结肠系膜血管增多(梳征 )
图 6 男 , 36 岁 。 Crohn 病 。 回肠末段及升结肠肠壁增厚 、粘连 ,肠腔狭窄 ,升结肠分层状强化




纵隔大细胞神经内分泌癌1例CT影像
张力性纵隔气肿影像表现及严重度分级
迅速增大的肺部结节,首先考虑良性,确诊需要肺穿
肺隔离症:易误诊为肺癌的占位性病变,肺穿刺禁忌!
肺段与肺内管道应用解剖
肺转移瘤的十种不典型CT表现
肺内淋巴结的CT表现特点及与病理对照
肺实变与肺不张的CT鉴别诊断
医生现身说法,这五种忙帮不得!
北大教授:要真正让医务人员有阳光体面的收入!医
为值夜班的医生护士鼓与呼:请给我们更多关注!
广东拟取消医院用药数量限制,满足患者多样性需求
博士、硕士入职就给精装房!又有医院不惜下血本招
历时7年之久,温医生宣判无罪!
重磅!四川发文:严禁限制医生多点执业
与真人医生诊断一致性达96%:AI医生应用前景广阔