肾上腺囊性淋巴管瘤(cystic adrenal lymphangioma,CAL)是一种少见的良性病变,常无临床症状。国内外文献报道较少。笔者搜集本院经手术病理证实的2例CAL患者的临床及CT资料,并结合文献分析其影像学特点,旨在提高对本病的认识和影像诊断水平。
1资料与方法
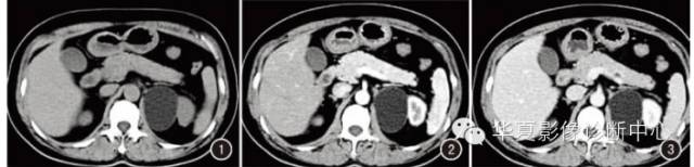
例1女,50岁。18个月前因无明显诱因左侧腰部隐痛来我院就诊。体检:左肾区轻度叩击痛,余无特殊。实验室检查亦未见异常。CT示:左侧肾上腺区一大小约25mm×35mm×70mm类圆形囊性占位(图1),密度均匀,边界清晰,CT值约-15~5HU,增强扫描囊壁轻度强化,囊腔无强化(图2~5)。


图1~5例1。CT平扫(图1)左侧肾上腺区类圆形低密度影,密度均匀,边界清楚,左肾受压移位。增强扫描动脉期(图2)、静脉期(图3)示囊壁轻度强化。增强扫描静脉期多平面重组冠状面及矢状面(图4、5)示囊壁轻度强化。
手术所见:经左侧第11肋间肾上腺囊性肿物切除术,术中见左肾周脂肪囊内一大小约30mm×30mm×60mm囊性肿物,与肾上腺关系密切,其内为乳白色黏稠液体,囊内壁光滑(壁厚约2mm)。病理诊断:肾上腺囊性淋巴管瘤。
例2女,40岁。体检发现右肾上腺占位性病变。体检:双肾区无叩击痛,余无特殊。实验室检查亦未见异常。B超:右肾上腺区探及大小约18mm×16mm囊性暗区,侧壁有强回声,边界清。CT示:右肾上腺区一结节状低密度影,直径约16mm,密度不均匀,其内见不规则钙化灶,轮廓清晰(图6),增强扫描囊壁及间隔轻度强化(图7、8)。


图6~8例2。CT平扫(图6)右肾上腺结节状低密度影,密度不均匀,边缘见不规则钙化灶。增强扫描静脉期(图7、8)囊壁及间隔轻度强化。
手术所见:打开右侧G氏筋膜,游离右侧肾脏上极及肾上腺,见一直径约30mm大小肿瘤,“U”形切除肿瘤及部分肾上腺组织,胶带包裹夹出体外。病理诊断:肾上腺囊性淋巴管瘤(图9)。

图9镜下示淋巴管杂乱组合,管壁厚度不均,间质中可见淋巴细胞(HE×100)
2讨论
2.1临床与病理
CAL是一种真性肾上腺囊肿,约占肾上腺囊肿的16%。肾上腺囊肿是肾上腺一种少见病变,文献报道其发病率约为0.06%。CAL可见于任何年龄,发病高峰期为30~60岁,单侧多见,左右之比约1∶2,双侧约有10%且多见于儿童,男女之比约1∶2。CAL常发生在颈部、腋部,由大的淋巴管组成,瘤内可含有蛋白质,与邻近的正常淋巴系统无关。
本病多无症状,多为体检或其他疾病检查时偶然发现,但当囊肿较大时会引起腰背部不适、腹部肿块、胃肠功能紊乱等症状,破裂出血时也会引起急腹症。本组中例1表现为左侧腰部隐痛;例2无临床症状,因体检发现右肾上腺占位而行CT检查。
肾上腺囊肿在组织学上分为4种:(1)内皮囊肿(45%):包括血管瘤、淋巴管瘤和错构瘤;(2)假性囊肿(39%):见于正常肾上腺或肾上腺腺瘤出血;(3)上皮囊肿(9%):包括囊性腺瘤、腺管或潴留囊肿及胚胎残迹囊性变;(4)寄生虫囊肿(7%):常见于包虫感染。
淋巴管囊肿是肾上腺内皮类囊肿最常见的一种,但在临床上不易发现。多数学者认为肾上腺囊性淋巴管瘤是由于淋巴管发育障碍、损伤、感染、手术等原因引起的异常扩张,而并非真正肿瘤,主要由扩张的淋巴管组成,含有淋巴基质和光滑的内膜。病理表现为囊性、乳头样、海绵样和血管淋巴畸形4种结构。
2.2CT表现及鉴别诊断
文献报道CAL的CT表现为大小不等的囊状低密度影,CT值约20~25HU(高于单纯性囊肿CT值)。有文献报道一些病变呈多囊状改变,可见间隔,约15%的淋巴管瘤囊壁可见针状、斑块状、短棒状及形态不规则的钙化,囊壁钙化被认为是CAL典型表现。若囊壁及间隔无钙化,其厚度一般﹤3mm(均匀一致)。但CT平扫不易发现间隔和囊壁,增强扫描特别是延迟扫描可清晰显示间隔及瘤体的多囊结构。
本组中的例1左肾上腺类圆形低密度影,CT值约-15~5HU,边界清楚,增强扫描囊壁轻度强化;例2右肾上腺区见一结节状低密度影,密度不均匀,边缘见不规则钙化,增强扫描囊壁及间隔轻度强化。例1无钙化且壁菲薄厚度均匀,囊壁轻度强化,与文献报道一致,但文献报道CT值约20~25HU,该例CT值约-15~5HU。
笔者认为囊性淋巴管瘤CT值取决于囊液中的成分,如果囊内含有较多脂质时,则密度相对较低,而囊液中含蛋白较多时密度相对较高。例2囊壁见形态不规则的钙化,增强扫描囊壁及间隔有强化,与文献报道相符。CAL需与肾上腺结核、肾上腺腺瘤、单纯肾上腺囊肿、假性囊肿等鉴别。肾上腺结核多具有较长的病史及结核中毒症状,可引起原发性肾上腺皮质功能低下(Addison病),实验室检查血ACTH升高、血皮质醇下降、ACTH刺激试验阳性、尿游离皮质醇下降以及电解质紊乱等,多双侧发病,以钙化或实性为主,且钙化形态随着病程的长短发生变化,病程越长肾上腺正常形态消失,呈致密斑块状钙化。
肾上腺腺瘤为实质性病变,通常肿块较小,直径多<2cm,动态增强扫描表现为快速强化和迅速消退,而CAL仅囊壁轻度强化,且MRI反相位检查显示腺瘤内脂质丰富。单纯肾上腺囊肿边缘光滑,密度均匀,增强扫描无强化。假性囊肿的边缘常有程度不等的分叶,CT值偏高,密度均匀或不均匀,增强扫描无强化。上述征象有助于与CAL鉴别。但单纯性囊肿和假性囊肿有钙化时,与CAL鉴别有一定困难。
综上所述,CAL少见,但采用多排螺旋CT薄层扫描、增强扫描及三维重建可清楚显示其CT图像上的特点,如出现肾上腺囊性病变,部分呈多囊状结构伴均匀一致间隔、囊壁钙化,增强扫描囊壁及间隔轻度强化,对CAL病的诊断有一定的提示作用。
来源:临床放射学杂志2013年第32卷第12期
纵隔大细胞神经内分泌癌1例CT影像
张力性纵隔气肿影像表现及严重度分级
迅速增大的肺部结节,首先考虑良性,确诊需要肺穿
肺隔离症:易误诊为肺癌的占位性病变,肺穿刺禁忌!
肺段与肺内管道应用解剖
肺转移瘤的十种不典型CT表现
肺内淋巴结的CT表现特点及与病理对照
肺实变与肺不张的CT鉴别诊断
医生现身说法,这五种忙帮不得!
北大教授:要真正让医务人员有阳光体面的收入!医
为值夜班的医生护士鼓与呼:请给我们更多关注!
广东拟取消医院用药数量限制,满足患者多样性需求
博士、硕士入职就给精装房!又有医院不惜下血本招
历时7年之久,温医生宣判无罪!
重磅!四川发文:严禁限制医生多点执业
与真人医生诊断一致性达96%:AI医生应用前景广阔