【病情】
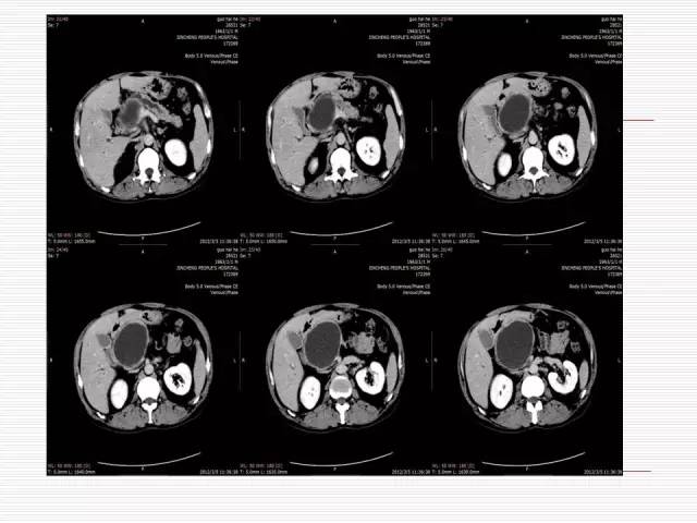
Case1:男性,49岁。黄疸、腹痛三天。患者5年前曾患有急性胰腺炎,后经保守治疗后缓解。中间曾有两次反复发作。
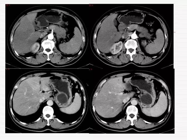
Case2:男性上腹部不适,B超提示包块。
Case3:65岁,男性,患者3年前起反复出现上腹阵发性隐痛,不向他处放射,多于进食辛辣食物后及夜间较明显,偶伴返酸,无呕吐。自服“奥美拉唑胶囊”可缓解。患者一直未予重视,未正规治疗。近一月来腹痛症状较前加重,持续时间延长,每日均有发作。病程中无畏寒、发热、呕吐血便、眼黄尿黄、尿频尿急血尿等。胃纳可、大便稍干结。
既往史:40年前有“十二指肠球部溃疡”史,有“眼胀、视物模糊”史2年,有“胸背痛”史1年,有“大便习惯改变”2年。
胃镜:慢性浅表性胃炎。
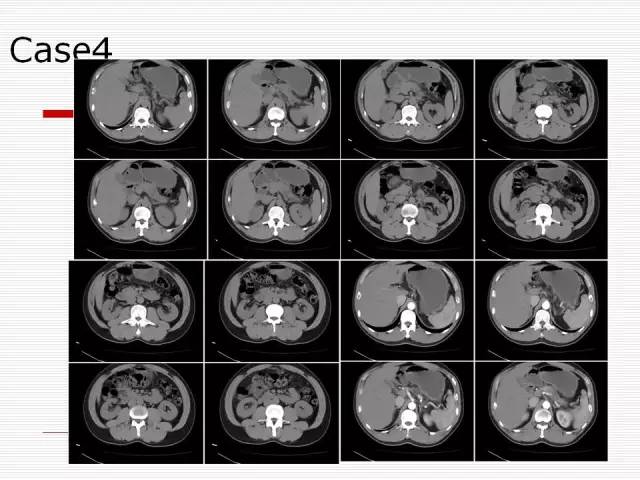
Case4:男,55岁,发现胰腺占位来就诊
【影像表现】
Case 1













Case 2





Case 3







Case 4



———-♀【病例讲堂】分割线♀———
小编留言:现在TA是你的病人了,在等你诊断哦!给大脑洗澡的时候到了,有思考才有收获!
【最后诊断】
Case1: 胰腺假性囊肿
Case2: 胰腺真性囊肿
Case3: 胰腺癌伴潴留囊肿
Case4: 胰腺癌囊性变
【讨论】
假性囊肿:是胰腺最常见的囊性病变,占胰腺囊性病变的绝大多数,主要是与黏液性囊性肿瘤鉴别。
患者常有胰腺炎病史或胰腺外伤史,表现为单房囊性低密度区,少数可有分隔和钙化,囊壁一般较薄,无强化,也无壁结节,囊腔多与胰管相通,部分可伴有慢性胰腺炎的胰腺改变:胰腺萎缩、胰实质或胰管的钙化、胰管不规则扩张等。根据影像表现并结合临床病史及胰腺的继发改变,一般不难做出判断。
潴留囊肿:为胰腺导管近端梗阻,远端扩张形成,因此囊肿与胰导管相通,多由近端肿瘤或结石引起。
真性囊肿:少见,为胰腺导管发育异常所致,内衬完整的内皮,为扁平或低柱状上皮。
单发或多发,囊腔不与胰管相通,囊内无间隔及软组织结节,可以单纯发生在胰腺,也可同时伴有肝肾的多囊病或VHL病(Von Hippel-Linda Disease),最终确诊要依靠病理。
胰腺癌囊性变:多由肿瘤组织阻塞导管引起潴留性囊肿或由肿瘤发生坏死液化而形成囊腔。
潴留性囊肿的近端常有实性肿块,肿瘤坏死囊变,肿瘤实性组织构成囊壁,故囊壁不完整,厚而不规则,或无明确囊壁显示。
纵隔大细胞神经内分泌癌1例CT影像
张力性纵隔气肿影像表现及严重度分级
迅速增大的肺部结节,首先考虑良性,确诊需要肺穿
肺隔离症:易误诊为肺癌的占位性病变,肺穿刺禁忌!
肺段与肺内管道应用解剖
肺转移瘤的十种不典型CT表现
肺内淋巴结的CT表现特点及与病理对照
肺实变与肺不张的CT鉴别诊断
医生现身说法,这五种忙帮不得!
北大教授:要真正让医务人员有阳光体面的收入!医
为值夜班的医生护士鼓与呼:请给我们更多关注!
广东拟取消医院用药数量限制,满足患者多样性需求
博士、硕士入职就给精装房!又有医院不惜下血本招
历时7年之久,温医生宣判无罪!
重磅!四川发文:严禁限制医生多点执业
与真人医生诊断一致性达96%:AI医生应用前景广阔