胆囊钙乳症是指胆囊腔内的半流体状不透X线(也不透声)的物质,实际上是一些混合有胆色素钙或磷酸氢钙的碳酸钙牛奶状液体。各种原因导致的胆囊瘀滞是形成胆囊钙乳症的主要原因,也可以出现下长期使用肠外营养的患者当中。
主要见于成年人。
除了胆囊,其他部位的囊肿或囊性病变中也可以出现钙乳沉积,主要见于:肾囊肿、肾盏憩室、乳腺囊肿、输尿管憩室、支气管囊肿以及苗勒氏管囊肿。
胆囊钙乳症可以是无症状的,也可以出现与慢性胆囊炎类似的症状。
在近期有静脉使用分泌型胆道造影剂的患者中也可以出现类似征象,特别是在肾功能不全的患者单重更容易出现,要注意鉴别。
部分病例可以自行消退,部分病例会继发胆囊结石形成。手术切除胆囊是有症状患者的一种治疗选择。
胆囊钙乳症的存在,是患者胆囊收缩功能差的一种表现。
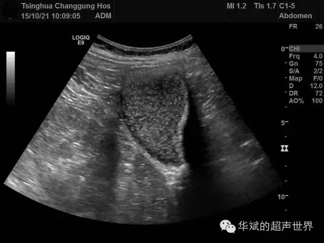
超声可见胆囊内的胆汁淤积(胆泥形成)并可见一层状的高回声伴有显著的声影,与瘀滞的胆汁之间有明显的分界线,改变体位可见该分界线缓慢变化移位。充满性的胆囊钙乳症仅在胆囊区探及声影明显的弧形强回声,此时很难与充满性结石(陶瓷胆囊)相鉴别。
下面的病例为62岁女性,上腹部隐痛就诊。

图1 胆囊钙乳症。胆囊内可见浓缩的胆汁与伴有明显声影的钙乳之间的强回声分界线。

图2 平卧位时,钙乳成分主要位于深方的近胆囊颈部。

图3 站立位扫查,见钙乳成分缓慢向胆囊底部移动。
瓷性胆囊是一种较少见的疾病,自从1959年Cornell首次报道并提出“瓷性胆囊”。瓷性胆囊,是对胆囊壁因钙化而形成质硬、易碎和呈淡蓝色的特殊形状的胆囊的一种指称。在临床病理特征上有其特殊性。
下图,男性,46岁,反复右上腹痛20余年加重10天,为持续性钝痛,不向它处放射,无恶心及呕吐;无发热及黄疸。对症治疗缓解。以后右上腹痛反复发作,与进食无明显关系。每2~3年发作1次。


胆囊钙乳多因胆囊颈部有结石梗阻,胆汁长期滞留,内含蛋白和碳酸钙样物质,胆囊壁有钙质沉着,使胆汁变为“白胆汁”,本例胆囊颈部结石影显示不清,因胆囊呈高密度影为主混杂密度影,倒是符合“胆囊钙乳症”的表现。
纵隔大细胞神经内分泌癌1例CT影像
张力性纵隔气肿影像表现及严重度分级
迅速增大的肺部结节,首先考虑良性,确诊需要肺穿
肺隔离症:易误诊为肺癌的占位性病变,肺穿刺禁忌!
肺段与肺内管道应用解剖
肺转移瘤的十种不典型CT表现
肺内淋巴结的CT表现特点及与病理对照
肺实变与肺不张的CT鉴别诊断
医生现身说法,这五种忙帮不得!
北大教授:要真正让医务人员有阳光体面的收入!医
为值夜班的医生护士鼓与呼:请给我们更多关注!
广东拟取消医院用药数量限制,满足患者多样性需求
博士、硕士入职就给精装房!又有医院不惜下血本招
历时7年之久,温医生宣判无罪!
重磅!四川发文:严禁限制医生多点执业
与真人医生诊断一致性达96%:AI医生应用前景广阔