[病程描述]
男 56岁,主诉:腹痛、腹胀1月余 患者入院1月余前无明显诱因出现间断腹胀、脐周阵发性绞痛,伴恶心、呕吐,呕吐物为胃内容物,呕吐后腹痛有所缓解,伴反酸、烧心,每日解少量黄色不成形大便2-3次,自发病以来体重下降约4斤。






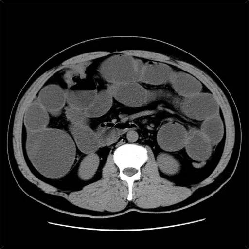
[影像表现]
结肠肝曲肠腔内可见不规则软组织块影,呈明显强化,局部管壁增厚,管腔狭窄,浆膜面毛糙,周围脂肪间隙密度略增高,未见明显肿大淋巴结。升结肠及小肠弥漫扩张,并积液、积气,可见气液平。
诊断:结肠肝曲占位,考虑结肠癌(T3N0M0),并肠梗阻。
[病理结果]
横结肠溃疡型中分化腺癌
[诊断思路]
横结肠溃疡型中分化腺癌
诊断要点:CT表现为结肠肝曲肠腔内肿块影,浆膜面毛糙,周围脂肪间隙密度增高,增强后病灶明显强化,肿块腔内生长导致肠腔狭窄进而引起肠梗阻,表明肿块由黏膜向腔内生长且浸润肠壁各层,提示为恶性占位性病变。
鉴别诊断:
结肠息肉:好发于直肠及乙状结肠,病灶形态规则,边界清晰,密度均匀,肠壁粘膜连续规则。
增殖型肠结核:好发于回盲部,病变与正常的移行段较长,境界不清,充盈缺损相对完整,回盲部有上移的特点,有结核病史。
纵隔大细胞神经内分泌癌1例CT影像
张力性纵隔气肿影像表现及严重度分级
迅速增大的肺部结节,首先考虑良性,确诊需要肺穿
肺隔离症:易误诊为肺癌的占位性病变,肺穿刺禁忌!
肺段与肺内管道应用解剖
肺转移瘤的十种不典型CT表现
肺内淋巴结的CT表现特点及与病理对照
肺实变与肺不张的CT鉴别诊断
医生现身说法,这五种忙帮不得!
北大教授:要真正让医务人员有阳光体面的收入!医
为值夜班的医生护士鼓与呼:请给我们更多关注!
广东拟取消医院用药数量限制,满足患者多样性需求
博士、硕士入职就给精装房!又有医院不惜下血本招
历时7年之久,温医生宣判无罪!
重磅!四川发文:严禁限制医生多点执业
与真人医生诊断一致性达96%:AI医生应用前景广阔