从实用角度出发,探讨一个肝脏局灶性病变的CT特征首先从检测它的密度开始。如果病变接近水的密度,均匀、具有清晰的边缘,并且没有强化,这是一个囊肿。
如果病灶强化,下一步判定病灶是否是血管瘤,这是最常见的肝脏肿瘤。强化表现为边缘和结节状增强,各期强化密度与血池相同。
如果既不是囊肿也不是血管瘤,就需要对病变进一步研究。根据增强的不同表现,将肿瘤分为富血供和少血供两类。通常增强方式和病理特性相关,如脂肪、出血、钙化、囊变以及纤维成分等成分,并与临床病史相结合进行鉴别诊断(图)。

富血管病变
动脉期增强病变大多数是良性病变,包括像FNH和腺瘤的原发性肝肿瘤,以及快速充满对比剂的小血管瘤。这些良性肿瘤需要与常见的富血供恶性肝肿瘤鉴别,包括原发性肝癌以及像黑色素瘤、肾细胞癌、乳腺癌、肉瘤和神经内分泌肿瘤(胰岛细胞瘤,类癌,嗜铬细胞瘤)等富血供转移瘤。

富血管病变在动脉期的表现非常类似(图)。鉴别需要与其他时相的强化表现以及病理和临床相结合。富血供转移瘤的患者需要结合原发肿瘤。肝癌好发于肝硬化患者,FNH多见于年轻妇女,肝腺瘤病人有口服避孕药、合成代谢类固醇或有糖原贮积症的病史。
下图:增强动脉期四种不同的肿瘤。从左到右:肝硬化肝癌;年轻女性的FNH(中央疤痕);腺瘤(年轻女性口服避孕药)和血管瘤的典型增强(其它期未显示)

乏血供病变
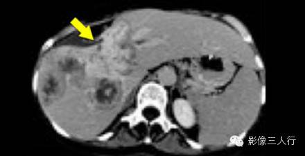
肝脏乏血供比富血管肿瘤常见。大多数乏血供病变是恶性的,转移瘤是目前最常见的。尽管大多数原发性肝肿瘤血供丰富,但也有例外,10%的肝癌是乏血供。胆管癌也是乏血供的,但可在延迟期出现增强(如图)。下图是一个乏血供肿块,在动脉晚期和门静脉晚期表现为不规则强化,这是一个恶性的表现。在延迟期图像肿块中央结构相对致密,说明其强化较正常肝脏慢。这表明肿瘤主要由纤维组织构成。纤维组织使得肝包膜回缩。这些影像表现提示这是一个胆管癌。
下图:平衡期胆管癌相对高密度的瘢痕组织(箭头)。

疤痕
中央出现瘢痕的肝脏病变有FNH、纤维板层癌、胆管癌、血管瘤和肝癌。CT上疤痕往往表现为低密度结构。MR疤痕组织在T1WI及T2WI上纤维结构都表现为低信号,例如纤维板层肝癌(FLC)的中央瘢痕。但例外的是FNH的中央瘢痕因水肿而在T2WI上呈高信号。T2WI在鉴别FLC和FNH具有重要意义。无论CT还是MR疤痕组织都表现为延迟期强化。

下图是一个典型的中央疤痕病变。CT平扫中心表现为低密度。门脉期病灶除疤痕外肿块强化。中央瘢痕纤维组织只是在延迟期增强。
肿块均匀强化和中央疤痕相结合,是FNH的典型表现。
下图:平扫、门脉期和平衡期所示FNH中央疤痕。

环影(假包膜)
肝脏病变中出现环影的有腺瘤、肝癌和囊腺瘤或囊腺癌,肝癌最常见。环影在动脉期,甚至门静脉期都不强化,表现为低密度,因为纤维组织强化很慢。环影通常是在延迟期表现为相对高密度而易于观察。
下图:肝癌包膜在平扫和动脉期显示为低密度

大约有30%的腺瘤病人出现环影。有清晰的轮廓和包膜下供血动脉。
下图:腺瘤环影在门脉期不显示,而在延迟期显示清晰。

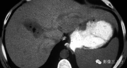
下图是另一例肝癌病人。只是在平衡期看到明亮的环影。该图片是在注射造影剂8分钟后采集。注意肿瘤本身在平衡期时表现为相对低密度,它有一个快速退出。
左:肝癌假包膜平衡期表现为明显强化的环影。
右:病理标本。

钙化
中央出现钙化有:
-转移瘤(尤其是结肠癌)
-纤维板层肝癌(FLC)
-胆管癌
血管瘤
钙化在CT上表现为高密度,而在MR T1 和T2图像表现为低信号。在FLC钙化通常位于中央的疤痕。
下图:平扫纤维板层肝癌显示中央钙化点。

脂肪
肝肿瘤内出现脂肪的有:
-腺瘤
-肝癌
-脂肪肉瘤转移
-血管平滑肌脂肪瘤
下图显示的一例腺瘤瘤内的脂肪。
腺瘤内的脂肪表现为低密度。

出血
肝内肿瘤出血的有:
-腺瘤
-肝癌
出血最常见于腺瘤。
下图显示的一个瘤内出血,术后病理为腺瘤。

囊变
如果病变中心接近水的密度,并且不强化,通常称之为囊变。必须意识到,这可以是一个囊性转移瘤或者是转移瘤中央坏死。其次这需要与脓肿进行鉴别诊断。

下图是一例表现为低密度的乏血供肿块,它可能是含液囊块。病变表现为多发,但未蔓延整个肝脏,所以描述它们为丛状或卫星灶。这类病变在肝脏最可以的病变是脓肿。这是一例憩室炎患者,腹腔感染通过门静脉传播,细菌进入缓慢流动的门静脉系统,停留在血管里,最后这些细菌在肝右叶的某部分“停留种植下来”。

下图是一例典型的棘球蚴囊肿,在大囊内出现子囊。大多数情况下棘球蚴囊肿并不典型。
下图:棘球蚴囊肿的CT和T2WI图像。

下边的CT图像,第一印象可能认为只是肝内的单纯囊肿。但是,仔细观察,会发现在病变的边缘有模糊的增强。虽然可能会考虑到囊性转移,而B超可清楚地显示病变是高回声的实性肿块。因此在面对囊性病变时要特别小心,很可能会漏诊转移瘤或做出错误的鉴别诊断。

肝脏包膜收缩
大多数肝肿瘤为实质性肿块。但有些肿瘤以带有大量纤维组织的浸润生长方式,结果不是形成肿块状。随着纤维基质的成熟,组织收缩并导致肝包膜收缩。
下图:乳腺癌转移瘤具有浸润性,当肿块收缩时可造成多发性回缩,形成假肝硬化的表现。

可以导致收缩的最常见肿瘤是胆管癌。下图是一个延迟期大胆管癌明显强化的纤维组织和肝包膜的收缩。注意,与上例相似。引起局限性收缩的另一个原因是胆道梗阻或慢性门静脉阻塞性萎缩。
下图:胆管癌延迟期图像:高密度纤的维基质和收缩的肝包膜

下图是另一例子胆管癌多发病变。注意,收缩和延迟强化的肿瘤内的纤维结构。
动脉期和延迟期胆管癌多发肿块引起肝包膜收缩。

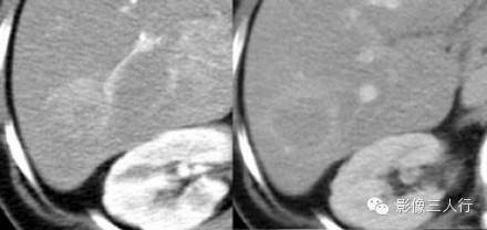
边缘强化和逐步填充
多数人认为“边缘强化和逐步填充”是血管瘤的典型特征,其实不是。外围的边缘强化也是恶性病变的典型特征。只有周边强化和血池密度一致才是血管瘤的典型特征。
左:转移瘤的边缘增强。右图:血管瘤的边缘不连续的强化

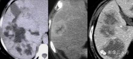
许多病变都显示逐步填充。血管瘤的逐步填充密度必须与血池密度一致。许多恶性转移瘤对比强化也从周边向瘤内扩散,通常中心不填充。胆管癌的逐步填充是因为中心纤维强化缓慢,只有在延迟期时才增强。如果要做出血管瘤的诊断就要与其他时相结合,观察其密度是否与血池一致。
血管瘤(左)、胆管癌(中) 和转移瘤(右图)的逐步填充。

纵隔大细胞神经内分泌癌1例CT影像
张力性纵隔气肿影像表现及严重度分级
迅速增大的肺部结节,首先考虑良性,确诊需要肺穿
肺隔离症:易误诊为肺癌的占位性病变,肺穿刺禁忌!
肺段与肺内管道应用解剖
肺转移瘤的十种不典型CT表现
肺内淋巴结的CT表现特点及与病理对照
肺实变与肺不张的CT鉴别诊断
医生现身说法,这五种忙帮不得!
北大教授:要真正让医务人员有阳光体面的收入!医
为值夜班的医生护士鼓与呼:请给我们更多关注!
广东拟取消医院用药数量限制,满足患者多样性需求
博士、硕士入职就给精装房!又有医院不惜下血本招
历时7年之久,温医生宣判无罪!
重磅!四川发文:严禁限制医生多点执业
与真人医生诊断一致性达96%:AI医生应用前景广阔