













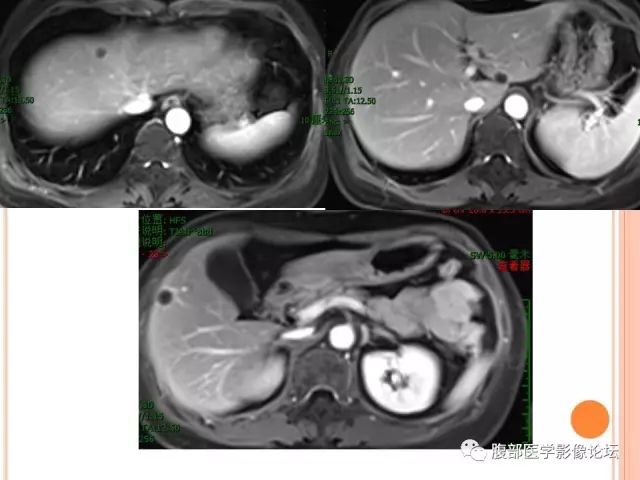
肝脏孤立性坏死结节(solitary necrotic nodule of the liver,SNN)代表一种十分少见的良性肝脏病变,发病年龄高峰在60~70 岁之间,临床上一般无明显症状 。目前该病的病因及发病机制尚不明确,相关假说包括血管病变、感染、创伤等。
患此病后患者无明显不适感,因此该病多于体检时检出。影像学检查是检测该病的主要方法,由于大量凝固性坏死物质的存在,该病易被误诊为肝部肿瘤,导致患者进行手术,带来不必要的创伤和痛苦
¢根据其在影像学中的图像特点,将肝脏孤立性坏死结节分为三种病理类型,分别为单纯凝固性坏死型、伴液化坏死型及多结节融合型 。
¢其中单纯凝固性坏死型的 CT平扫图像为低密度,MRI 增强扫描无强化。
¢伴液化坏死型的MRI T 1WI 扫描为低信号且其内为更低信号,T 2 WI 主要为等信号且其内高信号。
¢多结节融合型的 CT扫描图像为低密度,MRI 的 T 1WI 为低信号且其内稍高信号。
¢对比 CT 及 MRI 的图像特点病理分型发现,CT及 MRI 对肝脏孤立性坏死结节诊断结果相对一致且较为准确,在单纯凝固性坏死型病例中,CT优势略显著;在伴液化坏死型及多结节融合型中,MRI 优势略 显著。
纵隔大细胞神经内分泌癌1例CT影像
张力性纵隔气肿影像表现及严重度分级
迅速增大的肺部结节,首先考虑良性,确诊需要肺穿
肺隔离症:易误诊为肺癌的占位性病变,肺穿刺禁忌!
肺段与肺内管道应用解剖
肺转移瘤的十种不典型CT表现
肺内淋巴结的CT表现特点及与病理对照
肺实变与肺不张的CT鉴别诊断
医生现身说法,这五种忙帮不得!
北大教授:要真正让医务人员有阳光体面的收入!医
为值夜班的医生护士鼓与呼:请给我们更多关注!
广东拟取消医院用药数量限制,满足患者多样性需求
博士、硕士入职就给精装房!又有医院不惜下血本招
历时7年之久,温医生宣判无罪!
重磅!四川发文:严禁限制医生多点执业
与真人医生诊断一致性达96%:AI医生应用前景广阔