
卵巢癌肝转移(类似巨大血管瘤)
卵巢癌是所有妇科恶性肿瘤中死亡率最高的疾病,在诊断时约有70%的患者有腹膜受累。肿瘤具有直接扩散和腹膜播散的倾向。
手术分期:I期,肿瘤限于一侧或两侧卵巢;Ⅱ期,卵巢外扩散限于盆腔内;III期,弥漫性腹膜播散累及上腹部;IV期,远处转移,包括肝转移。
腹膜种植常见部位包括:大网膜、结肠旁沟,肝被膜和膈肌。增厚、结节和有强化都是腹膜受累的表现。
影像学上难以发现镜下腹膜和肝包膜的种植转移。一些研究者已经证实,MR成像比CT更能显示小或可疑的腹膜种植转移。


各基本序列信号特征
T2 fatsat:T2压脂,大转移瘤及左叶多发小转移瘤呈高信号;
T1 in-phase:T1同相位,病灶呈低信号,大病灶内见小类圆形高信号灶;
ART:动脉期,明显不均质强化;
DEL:延迟期,持续不均质强化,右叶肝被膜受累。




A~D:影像表现如上所述。
E:冠状T2WI,肝右叶完全被肿瘤替代,大量腹水,提示腹膜假性粘液瘤;
F:T2WI,右叶病灶内见一小类圆形低信号,内含粘液蛋白(短T1短T2);
G、H:门脉期及静脉期:大病灶呈渐进性不均质强化。


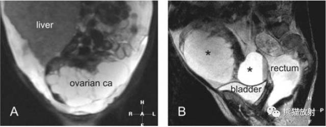
同一例:盆腔卵巢癌MRI表现
A、冠状T2WI:肝脏增大,卵巢癌呈囊实性成分;
B、冠状T2WI:卵巢癌包含多个囊实性肿物(星号);
C.D、轴位T2WI及增强:增厚的囊壁呈相对等或较低信号,增强明显强化。

肾细胞癌肝转移
肾癌是男性第七位、女性第十二位的恶性肿瘤,占所有癌症的2.6%。
肾癌术前影像检查的目的是充分评估肿瘤大小、位置和累及范围,以确定有无淋巴结和/或内脏转移,并明确下腔静脉有无栓子及其程度。
在25%进展期肾癌肿瘤患者,可见肿瘤局部浸润或远处转移。此外,1/3的患者术后会复发,肾癌转移患者的中位生存期约为13个月。因此,需要更有效的外科疗法,即使在出现转移的情况下,肾切除术也是必要的。明确有无内脏转移至关重要,即使发生转移,根治性肾切除术及而后的系统性免疫治疗也是有益的。
磁共振成像可更全面评估原发病灶,包括与(复杂性)肾囊肿相鉴别,明确有无血管侵犯和肝转移。


各序列信号特征
T2 fatsat:T2WI压脂,转移灶呈高信号;
T1 in-phase:T1同相位,病灶呈低信号;
ART:动脉期,病灶明显不均质强化;
DEL:延迟期,持续不均质强化。




A~D:影像表现如上所述。
E:T2WI,病灶呈稍高信号;
F:反相位,脂肪肝,病灶周边线样高信号提示受压的肝实质;
G:冠状T2WI,病灶呈较高信号;
H:冠状延迟期,转移瘤持续不均质强化。


另一患者,胰腺癌肝转移:
T2WI压脂:肝脏两个转移瘤呈稍高信号;
反相位:病灶呈较低信号;
动脉期:病灶均匀强化;
延迟期:造影剂廓清,呈较低信号。
纵隔大细胞神经内分泌癌1例CT影像
张力性纵隔气肿影像表现及严重度分级
迅速增大的肺部结节,首先考虑良性,确诊需要肺穿
肺隔离症:易误诊为肺癌的占位性病变,肺穿刺禁忌!
肺段与肺内管道应用解剖
肺转移瘤的十种不典型CT表现
肺内淋巴结的CT表现特点及与病理对照
肺实变与肺不张的CT鉴别诊断
医生现身说法,这五种忙帮不得!
北大教授:要真正让医务人员有阳光体面的收入!医
为值夜班的医生护士鼓与呼:请给我们更多关注!
广东拟取消医院用药数量限制,满足患者多样性需求
博士、硕士入职就给精装房!又有医院不惜下血本招
历时7年之久,温医生宣判无罪!
重磅!四川发文:严禁限制医生多点执业
与真人医生诊断一致性达96%:AI医生应用前景广阔