【病例】胰腺实性假乳状瘤1例CT影像表现

发布时间:2022-10-26   来源:未知    
×
织梦二维码生成器

病史

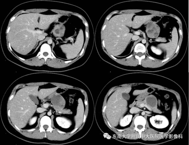
女,28岁,因“发现胰腺占位一月余”入院。肿瘤指标正常。

CT

平扫 增强

【病例】胰腺实性假乳状瘤1例CT影像表现

【病例】胰腺实性假乳状瘤1例CT影像表现

【病例】胰腺实性假乳状瘤1例CT影像表现

【病例】胰腺实性假乳状瘤1例CT影像表现

【病例】胰腺实性假乳状瘤1例CT影像表现

【病例】胰腺实性假乳状瘤1例CT影像表现

【病例】胰腺实性假乳状瘤1例CT影像表现

【病例】胰腺实性假乳状瘤1例CT影像表现

【病例】胰腺实性假乳状瘤1例CT影像表现

【病例】胰腺实性假乳状瘤1例CT影像表现

【病例】胰腺实性假乳状瘤1例CT影像表现

【病例】胰腺实性假乳状瘤1例CT影像表现

【病例】胰腺实性假乳状瘤1例CT影像表现

【病例】胰腺实性假乳状瘤1例CT影像表现

【病例】胰腺实性假乳状瘤1例CT影像表现

【病例】胰腺实性假乳状瘤1例CT影像表现

【病例】胰腺实性假乳状瘤1例CT影像表现

【病例】胰腺实性假乳状瘤1例CT影像表现

图说天下

医学图库
医学资讯
医学前沿
病例讨论