病史简介:肾结石,诊断明确
患者,男,61岁。突发左侧腰腹痛3小时来诊。既往有左肾结石史。
查体,急性病痛苦面容,全腹软,无压痛,无反跳痛,左肾区可及叩击痛。尿常规,红细胞2 。泌尿系超声,左侧肾盂内可及强回声,肾结石。
超声明确提示肾结石,临床症状、体征符合肾绞痛,很典型,诊断明确。
予吗啡类镇痛、M受体阻滞剂解痉。
一 肾绞痛,真的典型吗?
记得当年老师教诲过:“腹痛病人,毕竟鉴别诊断多,诊断不易,还是要观察一下的。”可现如今大部分患者,即便是充分沟通过也不认同医学观察的价值,虽然肾绞痛患者多数肌注以上两药疼痛就会缓解,可以马上离院,但是为了乖乖留住他们,如果没有禁忌的话,得多开点液体,慢慢挂,输液室就充当半个留观室了。
这句,虽然有些歪理邪说的意味,会带来质疑:这不是滥用输液吗?但咱们的医疗现状如此。
用完药,输完液,已是3小时后,病人回到诊室,诉仍有疼痛,胸背、腰腹都有疼痛,胀痛,不是绞痛。查体,左肾叩击痛不太明显。
二 难道肾绞痛还在持续?
复诊后,着重询问病人疼痛情况,患者说:“以前也发过肾绞痛,以为就是肾结石犯了,就照着前次说的。”
超声能看到肾结石,不管是肾绞痛还是肾区叩击痛,病人的主观感觉影响挺大,原来这肾绞痛、肾区叩击痛细细品来还真不典型。超声做过了,再做怕病人有意见,而且毕竟不如CT能看到全貌,顺便看看泌尿系统以外的情况以作排查。
三 主动脉夹层,惊出一身冷汗

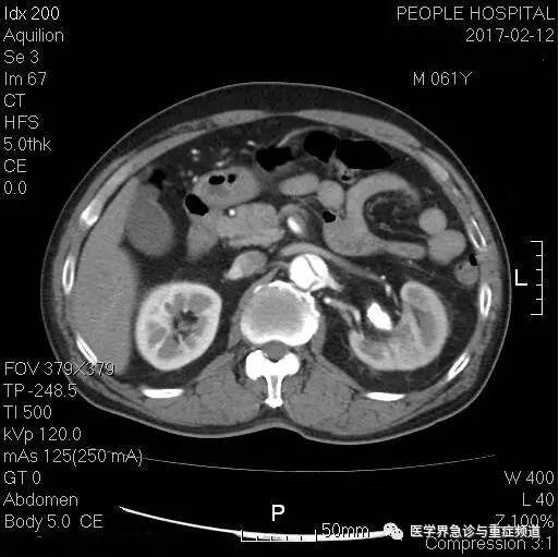
平扫CT,左肾有结石是无误的,但感觉这结石有点偏大,不是那种相对小的结石,可以往下掉,结石在肾盂、输尿管内移动或突发嵌顿,导致急性梗阻,管腔内壁张力增加,疼痛感受器受到牵拉后引起剧烈肾绞痛。这人的疼痛,程度感觉上不够剧烈,性质上也不是典型的绞痛。
正思索这病例会不会是肾绞痛,猛然看到一个让人一惊的CT征象-钙化斑内移,赶紧增强确认。

幸好没栽!
增强CT可见主动脉内真假腔形成,典型的主动脉夹层,左肾动脉开口于假腔,稍缺血,可能因此出现肾区叩击痛和类似肾绞痛,肠系膜上动脉也有受累。
平扫CT上看到的那点腹主动脉内钙化斑内移正是提示此处内膜存在撕裂的征象。
纵隔大细胞神经内分泌癌1例CT影像
张力性纵隔气肿影像表现及严重度分级
迅速增大的肺部结节,首先考虑良性,确诊需要肺穿
肺隔离症:易误诊为肺癌的占位性病变,肺穿刺禁忌!
肺段与肺内管道应用解剖
肺转移瘤的十种不典型CT表现
肺内淋巴结的CT表现特点及与病理对照
肺实变与肺不张的CT鉴别诊断
医生现身说法,这五种忙帮不得!
北大教授:要真正让医务人员有阳光体面的收入!医
为值夜班的医生护士鼓与呼:请给我们更多关注!
广东拟取消医院用药数量限制,满足患者多样性需求
博士、硕士入职就给精装房!又有医院不惜下血本招
历时7年之久,温医生宣判无罪!
重磅!四川发文:严禁限制医生多点执业
与真人医生诊断一致性达96%:AI医生应用前景广阔