| 类 型 | 影像表现 | 小 结 |
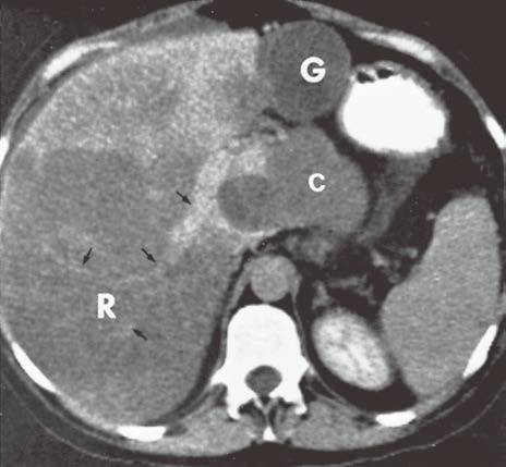
| 脂肪浸润(图1〜图 3) | 肝脏密度弥漫性减低。在肝脏脂肪变的低密度背景下,门静脉表现为高密度结构(平扫时正常门静脉呈低密度)。 | 由于三酰甘油过度沉积所致,见于肝硬化或其他肝脏疾病。正常肝脏平均CT值不低于脾脏,肝脏脂肪 浸润时CT密度较低。肝硬化引起脂肪浸润,伴有肝右叶萎缩,尾状叶体积增大。 |
| 布加综合征(图4 和图 5) | 肝脏体积增大,密度弥漫性减低(由肝实质充血造成)。 | 在肝内静脉、肝静脉或下腔静脉肝上段流出道梗阻。少见,与髙凝状态、口服避孕药、怀孕、浸润性肿瘤和先天性瓣膜有关,“翻转”式对比增强(见图5)。 |
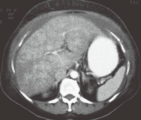
| 肝淤血(图6) | 肝脏体积增大伴弥漫性密度减低。 | 见于充血性心力衰竭或缩窄性心包炎。尽管中心静脉压升高而导致下腔静脉和肝静脉明显扩张(不同于布加综合征,肝静脉和变细的下腔静脉不显影),但强化形式与布加综合征相似。 |
| 淀粉样变性(图7) | 整个肝脏密度弥漫性减低。 | 增大的肝脏内散在的低密度区。 |
图1肝硬化患者的肝内脂肪浸润

图2肝硬化患者的肝内斑片状脂肪浸润

图3肝硬化再生结节

图4布加综合征

图5布加综合征

A

B
图6充血性心力衰竭

A

B
图7淀粉样变性

纵隔大细胞神经内分泌癌1例CT影像
张力性纵隔气肿影像表现及严重度分级
迅速增大的肺部结节,首先考虑良性,确诊需要肺穿
肺隔离症:易误诊为肺癌的占位性病变,肺穿刺禁忌!
肺段与肺内管道应用解剖
肺转移瘤的十种不典型CT表现
肺内淋巴结的CT表现特点及与病理对照
肺实变与肺不张的CT鉴别诊断
医生现身说法,这五种忙帮不得!
北大教授:要真正让医务人员有阳光体面的收入!医
为值夜班的医生护士鼓与呼:请给我们更多关注!
广东拟取消医院用药数量限制,满足患者多样性需求
博士、硕士入职就给精装房!又有医院不惜下血本招
历时7年之久,温医生宣判无罪!
重磅!四川发文:严禁限制医生多点执业
与真人医生诊断一致性达96%:AI医生应用前景广阔