【病例】不典型肾透明细胞癌1例CT影像表现

发布时间:2022-10-26   来源:未知    
×
织梦二维码生成器

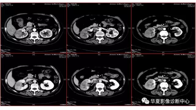
【病例】肾透明细胞癌1例CT影像表现

【病例】肾透明细胞癌1例CT影像表现

【病例】肾透明细胞癌1例CT影像表现

【病例】肾透明细胞癌1例CT影像表现

【病例】肾透明细胞癌1例CT影像表现

【病例】肾透明细胞癌1例CT影像表现

【病例】肾透明细胞癌1例CT影像表现

图说天下

医学图库
医学资讯
医学前沿
病例讨论