临床资料
男,46岁,下腹不适一周。















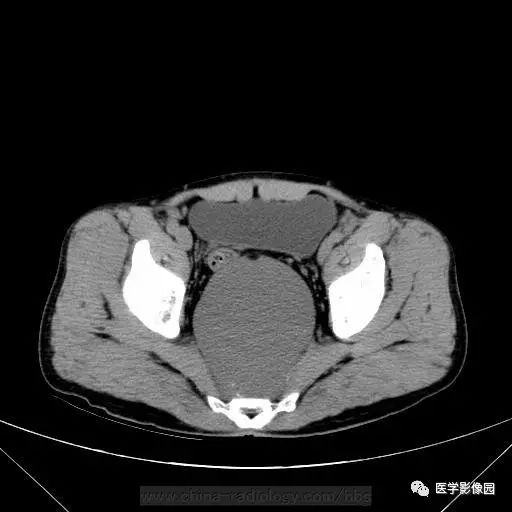
影像学表现:盆腔内直肠后方骶椎骨前方囊性肿块,内见斑点状钙化灶,增强无明显强化。
诊断结果:支气管源性囊肿
支气管源性囊肿源于原始前肠的发育异常。可由呼吸系统的任何一种或多种成分构成,包括呼吸道上皮 、平滑肌 、透明软骨及浆液和粘液腺体等。发病原因目前尚未完全明确,较为公认的是胚芽脱落移位假说。认由在胚胎发育的早期胸腔和腹腔为一个整体,在第5周左右开始形成原始的气管- 支气管树,此时部分不正常的胚芽脱落、不正常移位,第6周时胸膜和腹膜开始在横膈处分开。脱落移位至尾侧的胚芽则发育成腹膜后囊肿。
一般发生于后腹膜上部多见,发生在骶尾部的少见。CT多表现为膈下圆形或类圆形,界限清晰 低密度囊肿,一般上极较高,可达膈下。因囊液含有蛋白,CT值可较高,达50~60Hu。因其组成成份多不,且可钙化。故有时和畸胎瘤样囊肿难以区别!
纵隔大细胞神经内分泌癌1例CT影像
张力性纵隔气肿影像表现及严重度分级
迅速增大的肺部结节,首先考虑良性,确诊需要肺穿
肺隔离症:易误诊为肺癌的占位性病变,肺穿刺禁忌!
肺段与肺内管道应用解剖
肺转移瘤的十种不典型CT表现
肺内淋巴结的CT表现特点及与病理对照
肺实变与肺不张的CT鉴别诊断
医生现身说法,这五种忙帮不得!
北大教授:要真正让医务人员有阳光体面的收入!医
为值夜班的医生护士鼓与呼:请给我们更多关注!
广东拟取消医院用药数量限制,满足患者多样性需求
博士、硕士入职就给精装房!又有医院不惜下血本招
历时7年之久,温医生宣判无罪!
重磅!四川发文:严禁限制医生多点执业
与真人医生诊断一致性达96%:AI医生应用前景广阔