【病史临床】女性,66岁,右下腹胀痛不适一月。
【影像图片】























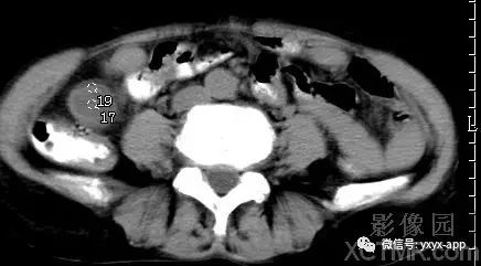
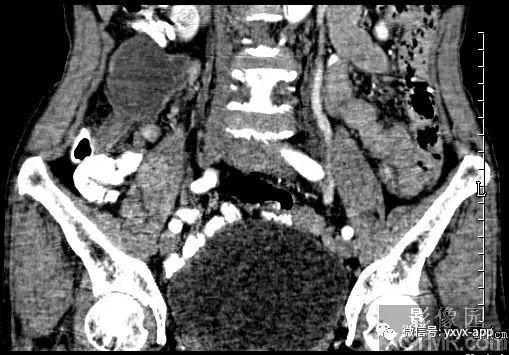
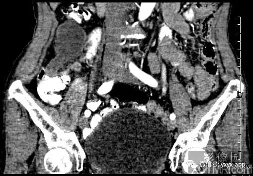
CT影像表现:右下腹囊性肿块,囊液密度均匀,囊壁规整,增强囊壁有强化,周围肠腔无梗阻征象,考虑阑尾粘液囊肿或肠系膜囊肿。
最后结果:手术病理:阑尾粘液囊肿。
点评:阑尾粘液囊肿指因阑尾梗阻、扩张、破裂而引起腹腔粘液异常聚集的一种病理改变。阑尾粘液囊肿由1872年Ferre首先命名,以后曾出现多种不同名称,如“阑尾胶状囊肿”、“阑尾粘液性肿瘤”、“阑尾潴留性囊肿”及“阑尾假粘液囊肿”等。目前认为,阑尾粘液囊肿多由于阑尾囊性纤维化所致,亦可由于子宫内膜异位、类癌或某些其它疾病引起的阑尾腔阻塞所致。
阑尾粘液囊肿一般无症状,常在剖腹术中出现。有症状者多为阑尾炎或类似阑尾炎的一些症状,少数可出现慢性肠梗阻症状。如囊肿合并感染,可有急性阑尾炎表现。病人可以回盲部肿瘤或右下腹肿块性质待查入院,亦可因急性炎症、梗阻、扭转、破裂等急症入院。如阑尾肿瘤性粘液进入腹腔产生大量腹水即为腹膜假粘液瘤。腹水主要被右隔下和大、小网膜的淋巴管吸收,形成胶状粘液。粘液性肿瘤易集中的部位有大、小网膜、盆腔、右隔下、屈氏韧带和结肠旁沟等部位。由于小肠的活动性较大,肿瘤不易累及,而胃、结肠活动性较差,有不同程度的侵犯,肝、胆和腹膜壁层相对静止成为最常受累的脏器。
B超在阑尾粘液囊肿者可显示具有内回声的囊性肿物,囊壁变薄,且囊壁上有钙盐沉积,在腹膜假粘液瘤者可显示为粘液样腹水回声。CT在粘液囊肿可显示为右下腹包裹较好的壁薄囊性肿物。
阑尾粘液囊肿的治疗,目的是彻底切除病灶,避免破裂导致腹膜假粘液瘤的严重后果。行阑尾切除及囊肿完整切除,操作应仔细,以免囊肿破裂粘液溢出污染腹腔。如发现阑尾粘液囊肿已自行破裂,应尽量清除腹腔及脏器表面粘附的胶冻样物,怀疑为恶性时,应用蒸馏水冲洗术野,防止肿瘤细胞的种植。
纵隔大细胞神经内分泌癌1例CT影像
张力性纵隔气肿影像表现及严重度分级
迅速增大的肺部结节,首先考虑良性,确诊需要肺穿
肺隔离症:易误诊为肺癌的占位性病变,肺穿刺禁忌!
肺段与肺内管道应用解剖
肺转移瘤的十种不典型CT表现
肺内淋巴结的CT表现特点及与病理对照
肺实变与肺不张的CT鉴别诊断
医生现身说法,这五种忙帮不得!
北大教授:要真正让医务人员有阳光体面的收入!医
为值夜班的医生护士鼓与呼:请给我们更多关注!
广东拟取消医院用药数量限制,满足患者多样性需求
博士、硕士入职就给精装房!又有医院不惜下血本招
历时7年之久,温医生宣判无罪!
重磅!四川发文:严禁限制医生多点执业
与真人医生诊断一致性达96%:AI医生应用前景广阔