【所属科室】内分泌科
【基本资料】男,54岁
【主诉】上腹痛、恶心、呕吐2天
【现病史】2天前无明显诱因出现上腹痛,呈钝痛,间断发作,伴恶心、呕吐,为胃内容物,伴烦躁、出汗
MYO:354.10ng/ml,CK-MB:42u/L。 心电图:无明显异常。












【讨论问题】诊断?鉴别诊断?
【医学影像APP用户讨论】
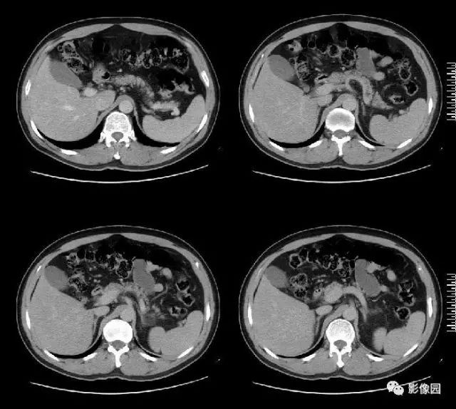
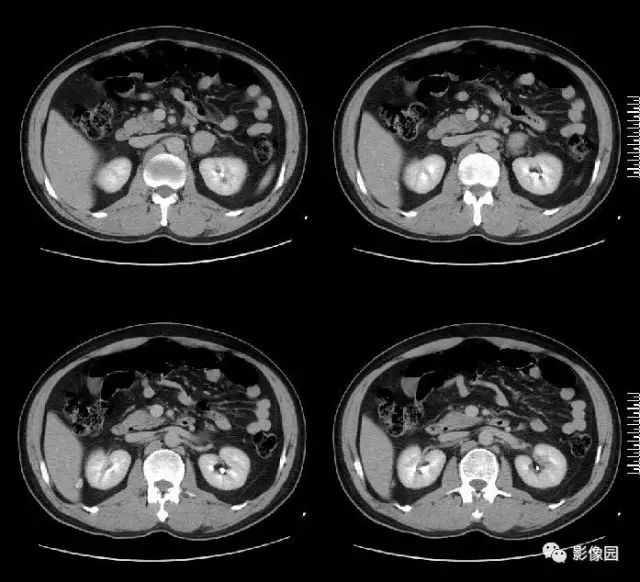
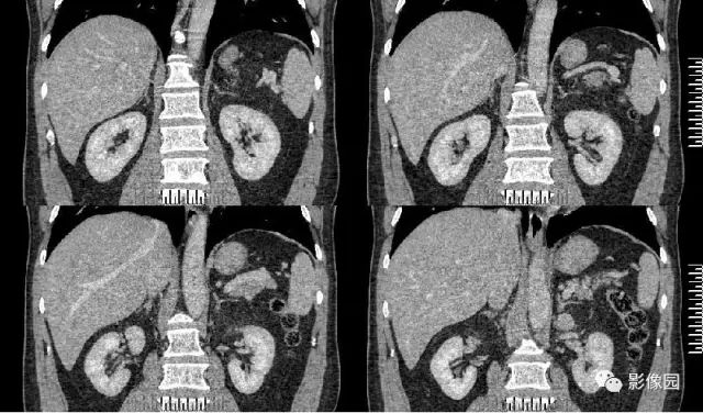
肚肚丫头: 左侧肾上腺见结节状异常密度影,无分叶,边缘光滑,增强扫描呈显著不均匀强化,中心见片状低密度区,考虑:1. 嗜铬细胞瘤;2.腺瘤
【病理结果】左肾上腺嗜铬细胞瘤
【病例小结】
嗜铬细胞瘤可发生于任何年龄,20~40岁多见,男女无明显差别,部分有家族史。多数病例发生于肾上腺髓质,单侧,单发。也可发生在神经节丰富的身体其它部位,但绝大多数位于腹腔之内,腹膜后脊柱两侧。
肾上腺是嗜铬细胞瘤的主要发生部位,占全部嗜铬细胞瘤的90%左右。典型临床表现为阵发性高血压、头痛、心悸、多汗,发作数分钟后症状缓解。由于瘤细胞持续或间断性地释放大量儿茶酚胺,可引起以高血压和代谢紊乱为主的症状。典型表现为阵发性高血压伴有三联症即头痛、心悸和出汗,对嗜铬细胞瘤的诊断有重要意义,其特异性及灵敏性均为90%以上。实验室检查,包括血浆和尿中儿茶酚胺及其代谢产物的定量分析对于嗜铬细胞瘤的诊断具有非常重要的意义。
影像诊断要点
CT:CT对肿瘤定位可提供较准确信息,诊断准确率高,为常用检查方法。多表现为一侧肾上腺较大圆形或椭圆形肿块,偶为双侧性。直径常为3~5cm,或更大。较小肿瘤密度均一,类似肾脏密度;较大肿瘤常因坏死或陈旧性出血而密度不均,内有单发或多发低密度区,甚至呈囊性表现。少数肿瘤可有高密度钙化灶。增强扫描,肿瘤实体部分明显强化,其内低密度区无强化。
MRI:MRI诊断肾上腺嗜铬细胞瘤的敏感性和特异性比CT高。其形态学表现与CT相似。但其信号改变有一定特点,T1WI瘤体大部分呈低信号,少数可为等信号;T2WI呈明显高信号,这是嗜铬细胞瘤MRI表现的重要特点。当肿瘤有出血或坏死时,其内可见短TI或更长T1、长T2信号灶。增强检查,肿瘤实体部分明显强化。
纵隔大细胞神经内分泌癌1例CT影像
张力性纵隔气肿影像表现及严重度分级
迅速增大的肺部结节,首先考虑良性,确诊需要肺穿
肺隔离症:易误诊为肺癌的占位性病变,肺穿刺禁忌!
肺段与肺内管道应用解剖
肺转移瘤的十种不典型CT表现
肺内淋巴结的CT表现特点及与病理对照
肺实变与肺不张的CT鉴别诊断
医生现身说法,这五种忙帮不得!
北大教授:要真正让医务人员有阳光体面的收入!医
为值夜班的医生护士鼓与呼:请给我们更多关注!
广东拟取消医院用药数量限制,满足患者多样性需求
博士、硕士入职就给精装房!又有医院不惜下血本招
历时7年之久,温医生宣判无罪!
重磅!四川发文:严禁限制医生多点执业
与真人医生诊断一致性达96%:AI医生应用前景广阔