病史
男,53岁,因“反复发热12天”入院。
实验室检查:血细胞分析:白细胞计数 2.75×10^9/L↓,血红蛋白 121g/L↓,血小板计数 101×10^9/L↓,超敏C反应蛋白 15.5mg/L↑;纤溶功能检查:凝血酶时间 17.3秒↑,抗凝血酶 134%↑,纤维蛋白原降解产物 8.61mg/L↑,D-dimer 798ug/L↑;肿瘤标志物:糖类抗原199 101.1U/mL↑,神经元特异性烯醇化酶 18.77ng/mL↑,细胞角质蛋白19片段 3.85ng/ml↑;肝生化:谷丙转氨酶 809IU/L↑,谷草转氨酶 717IU/L↑,碱性磷酸酶 405IU/L↑,γ-谷氨酰转肽酶 401IU/L↑,乳酸脱氢酶 909IU/L↑;
影像学表现
2017-08-09 胸部CT平扫


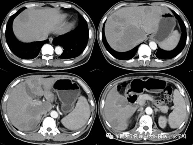
2017-08-11 腹部CT增强




2017-08-23 鼻窦CT平扫 增强


2017-09-01 腹部CT增强 复查
















纵隔大细胞神经内分泌癌1例CT影像
张力性纵隔气肿影像表现及严重度分级
迅速增大的肺部结节,首先考虑良性,确诊需要肺穿
肺隔离症:易误诊为肺癌的占位性病变,肺穿刺禁忌!
肺段与肺内管道应用解剖
肺转移瘤的十种不典型CT表现
肺内淋巴结的CT表现特点及与病理对照
肺实变与肺不张的CT鉴别诊断
医生现身说法,这五种忙帮不得!
北大教授:要真正让医务人员有阳光体面的收入!医
为值夜班的医生护士鼓与呼:请给我们更多关注!
广东拟取消医院用药数量限制,满足患者多样性需求
博士、硕士入职就给精装房!又有医院不惜下血本招
历时7年之久,温医生宣判无罪!
重磅!四川发文:严禁限制医生多点执业
与真人医生诊断一致性达96%:AI医生应用前景广阔