【所属科室】泌尿外科
【基本资料】女性,64岁
【主诉】发现后背部肿块半年余
















【讨论问题】定位?定性?诊断?鉴别诊断?
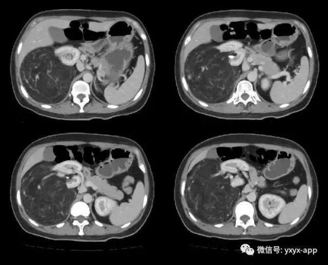
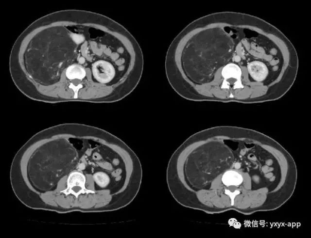
肚肚丫头:右肾中极肾皮质欠完整,呈喇叭口样改变,并可见突出肾脏轮廓的巨大脂肪密度影,其内信号欠均匀,病变边界清楚,周围脏器未见异常密度影及受侵征象,增强扫描病变呈欠均匀较显著强化,腹膜后未见肿大淋巴结。考虑来源于肾脏的含脂肿瘤占位病变,右肾巨大血管平滑肌脂肪瘤可能。鉴别诊断:1. 肾周脂肪肉瘤;2. 腹膜后脂肪瘤/高分化脂肪肉瘤;3. 肾上腺髓质脂肪瘤; 4. 腹膜后畸胎瘤。
【病理结果】肾脏血管平滑肌脂肪瘤
【病例小结】
血管平滑肌脂肪瘤是肾脏最常见的良性肿瘤,病理上由平滑肌、脂肪细胞和异常血管混合组成,它们的含量差别较大,多数以脂肪成分为主,少数以平滑肌为主。好发于中年女性,大多数为单侧单发,少数为双侧多发。临床表现主要有肾区疼痛,可有血尿及腹部包块,少数临床上无任何不适症状,体检时偶然发现。
CT 诊断主要根据肿瘤内脂肪成分的显示以及肿瘤内粗大的血管影,由于肾血管平滑肌脂肪瘤含脂肪组织,CT 值在-10~-120HU,增强扫描肿瘤内血管平滑肌组织可明显强化,脂肪组织无强化。由于瘤内血管明显扩张、增厚,缺乏弹力内膜,故常发生肿瘤出血或肾包膜下出血。脂肪成分小于20%的血管平滑肌脂肪瘤影像难以显示脂肪,缺乏特异性的影像表现,不易作出定性诊断,与早期肾癌鉴别困难。
纵隔大细胞神经内分泌癌1例CT影像
张力性纵隔气肿影像表现及严重度分级
迅速增大的肺部结节,首先考虑良性,确诊需要肺穿
肺隔离症:易误诊为肺癌的占位性病变,肺穿刺禁忌!
肺段与肺内管道应用解剖
肺转移瘤的十种不典型CT表现
肺内淋巴结的CT表现特点及与病理对照
肺实变与肺不张的CT鉴别诊断
医生现身说法,这五种忙帮不得!
北大教授:要真正让医务人员有阳光体面的收入!医
为值夜班的医生护士鼓与呼:请给我们更多关注!
广东拟取消医院用药数量限制,满足患者多样性需求
博士、硕士入职就给精装房!又有医院不惜下血本招
历时7年之久,温医生宣判无罪!
重磅!四川发文:严禁限制医生多点执业
与真人医生诊断一致性达96%:AI医生应用前景广阔