【临床资料】
男性,27岁。上腹部隐痛不适十余天伴乏力、纳差及黑便,无发热及黄疽。实验室检查:血常规、肝功能正常,AFP(-),血沉25 mm/h,C反应蛋白( )。B型超声:肝内边缘不清的不均匀低回声区,无声晕,无血流信号。
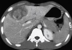
图1肝炎性肌纤维母细胞瘤

A

B

C

D
【影像检查】
A.肝左叶内侧段不均匀低密度,边缘模糊;
B.增强扫描动脉期病灶内强化核团略低于肝实质密度;
C.门脉期病灶中心核团状强化,程度稍低于肝脏密度,周围伴有低密度不强化环带;
D.延迟10分钟扫描病灶边缘及间隔强化呈略低于肝脏密度,病灶内低密度环消失
【最后诊断】
肝炎性肌纤维母细胞瘤(术后病理)。
【诊断要点】
炎性肌纤维母细胞瘤(Inflammatory myofibroblastic tumor,IMT)是各种致炎因子引起的肝脏组织坏死后纤维组织、毛细血管增生和局部组织炎性细胞浸润为特征的肿瘤样病变。这种病变可发生在各种组织和器官,包括肺、肠系膜、网膜、胃和肝等。以中老年男性多见,男女发病之比为2.5:1,平均年龄为45.7岁。病灶多为单发,有20%的病例为多发病灶。组织类型分为黄色肉芽肿型、浆细胞肉芽肿型和透明硬化型,抗生素治疗可使病变或症状消失。
1.临床表现:多无症状,少数可有腹痛、发热、呕吐等。
2.B型超声:肝内病灶为低回声团块,无声晕及血流信号。
3.CT表现:
1)CT平扫:
(1)多数为单发,病灶形态多样,以单结节、多发结节融合成块状;病灶直径多大于3 cm。
(2)多数病灶表现为低密度,密度可不均匀,部分病灶可有坏死,大部分病灶边缘清晰。
2)增强扫描:
(1)因无肝动脉供血,CT增强扫描动脉期病灶无明显强化;门脉期及平衡期病灶周边因有较多的纤维组织包绕可有边缘强化,病灶边界显示更加清晰。
(2)病灶中心因含较多的凝固坏死组织而无强化,病灶内纤维成分在门脉期和延迟期强化并向周围延伸,是其常见表现。
(3)有些病灶因周边纤维组织较多,强化后和肝实质密度一致,产生病灶缩小的感觉,这是其一个特征性表现。
4.MRI表现:
1)具有一定特征性,病灶形态不规则,T1WI为低或等信号,T2WI为等低或略高信号。
2)增强时早期强化不明显,但晚期可见延迟强化,以周边或偏心结节状强化为主。
【分析思路】
诊断依据:
1.患者为男性,27岁。上腹部隐痛不适十余天伴乏力、纳差及黑便,无发热及黄疸。
2.实验室检查:血常规、肝功能正常,AFP(-),血沉25 mm/h,C反应蛋白( )。
3.B型超声:探及肝左叶内侧段边缘不清的不均匀低回声区,无声晕及血流信号。
4.CT表现:
1)CT平扫见肝左叶内侧段不均匀低密度斑块,边缘模糊。 ’
2)增强扫描示动脉期病灶中心核团状强化伴有低密度不强化间隔;门脉期病灶中心强化伴有低密度不强化环带,强化程度稍低于肝脏密度;平衡期病灶强化密度均匀,略低于肝脏密度,病灶内低密度环消失。
综合上述,虽然患者年龄小于发病平均年龄,但临床及影像学表现特点符合肝脏炎性假瘤的表现,应首先考虑肝脏炎性肌纤维母细胞瘤的可能。
鉴别诊断:
1.肝细胞癌:肝癌多数动脉期有强化,有“快进快出”特征,多有肝炎肝硬化病史,AFP多为阳性;而炎性假瘤动脉期无强化,门脉期和延时扫描有强化。
2.肝外生性肿瘤:本病例病灶大部分突出于肝外,应与外生型肿瘤鉴别。外生型血管瘤具有肝内血管瘤相同的强化模式,外生型肝癌增强具有肝癌的强化特征。肿块与肝脏、胃、膈肌的关系密切,需要与起源于肝脏以外的肿瘤鉴别,薄层扫描有利于显示病变与肝脏的关系。
3.肝转移瘤:常为多发类圆形乏血供病灶,CT增强扫描有边缘强化、“牛眼征”等,病灶内没有纤维间隔和中心结节,临床有原发恶性肿瘤病史,对鉴别诊断有帮助。 \’
4.肝血管瘤:增强扫描动脉期边缘结节状强化延迟扫描病灶逐渐充填;肝炎性肌纤维母细胞瘤动脉期无强化,延时扫描强化有向内延伸而不能充填。
纵隔大细胞神经内分泌癌1例CT影像
张力性纵隔气肿影像表现及严重度分级
迅速增大的肺部结节,首先考虑良性,确诊需要肺穿
肺隔离症:易误诊为肺癌的占位性病变,肺穿刺禁忌!
肺段与肺内管道应用解剖
肺转移瘤的十种不典型CT表现
肺内淋巴结的CT表现特点及与病理对照
肺实变与肺不张的CT鉴别诊断
医生现身说法,这五种忙帮不得!
北大教授:要真正让医务人员有阳光体面的收入!医
为值夜班的医生护士鼓与呼:请给我们更多关注!
广东拟取消医院用药数量限制,满足患者多样性需求
博士、硕士入职就给精装房!又有医院不惜下血本招
历时7年之久,温医生宣判无罪!
重磅!四川发文:严禁限制医生多点执业
与真人医生诊断一致性达96%:AI医生应用前景广阔