可完全钙化,也可以表现为环形钙化,如胆囊切除术也可以导致结石脱落至肝下隐窝。

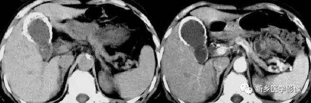
多见于慢性胆囊炎、瓷胆囊

常见于尿路阳性结石,可以发生在尿路任何位置,如肾结石、输尿管结石及膀胱结石

主要见于皮下脂肪层内,臀部多见。腹部平片有时候会误诊为腹腔病变。

主要表现为胰腺体积缩小,钙化,有时候假性囊肿囊壁也可钙化。


老年人多见,钙化不完全时,经验不足者腹部平片有时候可误诊为腹腔病变

主要位于盆腔内,表现为不均一的点状钙化

主要表现为盆腔内对称性小钙化灶。

主要表现为点状的钙化,CT显示清晰,腹部平片有时候表现不明显


主要表现为腹腔内弥漫性的小的、多发的钙化。大小可不一致。

主要包括合并钙化的常见肿瘤或肿瘤样病变,如:肾囊肿,肾细胞癌,多房囊性肾瘤,多囊肝多囊肾囊壁钙化,肾脏结核,肾脏钙乳症


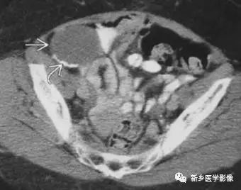
主要位于右下腹部,表现为结节状、扁条状钙化。


常见的为畸胎瘤以及合并钙化的卵巢癌


主要表现为皮下组织钙化,多合并结缔组织症(如硬皮病、CREST综合征、系统性红斑狼疮、皮肌炎)


主要包括合并钙化的感染性病变及肿瘤性病变,如: 肾上腺囊肿,肾上腺癌,嗜铬细胞瘤




腹膜假性粘液瘤;腹膜炎(主要见于慢性纤维化腹膜炎);硬化性腹膜炎;肠系膜囊肿;肝转移灶和淋巴瘤;钙化或骨化的瘢痕(常见于切口部位,纵行多见);黏液囊性胰腺肿瘤
纵隔大细胞神经内分泌癌1例CT影像
张力性纵隔气肿影像表现及严重度分级
迅速增大的肺部结节,首先考虑良性,确诊需要肺穿
肺隔离症:易误诊为肺癌的占位性病变,肺穿刺禁忌!
肺段与肺内管道应用解剖
肺转移瘤的十种不典型CT表现
肺内淋巴结的CT表现特点及与病理对照
肺实变与肺不张的CT鉴别诊断
医生现身说法,这五种忙帮不得!
北大教授:要真正让医务人员有阳光体面的收入!医
为值夜班的医生护士鼓与呼:请给我们更多关注!
广东拟取消医院用药数量限制,满足患者多样性需求
博士、硕士入职就给精装房!又有医院不惜下血本招
历时7年之久,温医生宣判无罪!
重磅!四川发文:严禁限制医生多点执业
与真人医生诊断一致性达96%:AI医生应用前景广阔