病例展示
患者, 女, 27 岁, 因「腹部疼痛伴恶心、畏寒、发热 20+小时」 入院。20+小时前患者无明显诱因出现腹部疼痛,以右下腹为主,呈持续性疼痛,程度难以忍受,伴恶心,畏寒、发热,遂就诊当地医院行彩超提示「右侧附件区管样无回声(性质?请结合相关检查),宫腔积液,泌尿系彩超未见明显异常 」。患者为求进一步诊治,遂来我院就诊。
既往史:8 天前于当地医院行剖宫产术,既往于当地医院行 2 次剖宫产术,患者自诉既往反复出现低血压(具体原因不详),未予正规诊治。
查体:体温 36.5℃,脉搏 97 次/分,呼吸 20 次/分,血压 110/70 mmHg,中下腹可见横行切口,愈合可,无明显红肿、渗血、渗液等症状,下腹部压痛,右侧腹压痛明显,可疑反跳痛,稍显肌紧张。
辅助学检查:心电图:1. 窦性心动过速 2. 电轴右偏。凝血全套 (血浆):活化部分凝血活酶时间:39.0 秒 ↑,纤维蛋白原:4.25 g/L↑,D-二聚体:300ug/dl↑,纤维蛋白原降解产物:10.7ug/ml↑;血细胞分析(加 CRP)(全血):白细胞计数:14.44×10^9/L↑; 中性粒细胞百分率:86.9%↑; 淋巴细胞百分率:6.5%↓; 红细胞计数:4.06×10^12/L; 超敏 C 反应蛋白:103.95 mg/L↑。
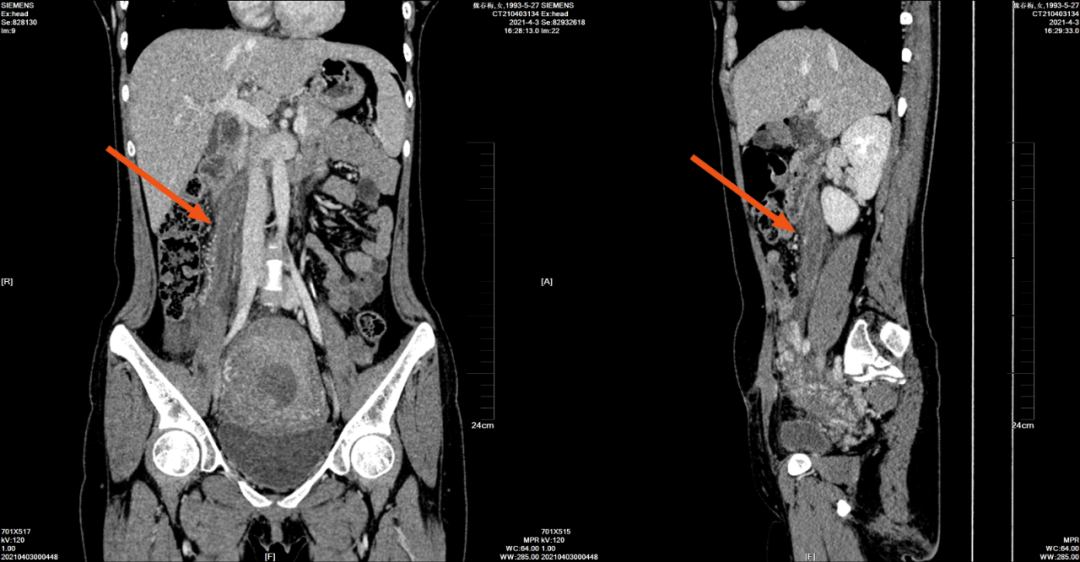
2021-4-3 中腹部+盆腔 CT 平扫如下:


右肾门平面(下腔静脉旁)至右侧附件区可见管状密度不均匀增高影,病灶边界不清,周围脂肪间隙模糊、密度增高,临近系膜增厚。
2021-4-3 腹部 CT 增强如下:

增强三期扫描

增强门静脉期

冠状位与矢状位
右侧卵巢静脉明显增粗,病灶自右侧卵巢静脉汇入下腔静脉处管腔内至右侧附件区可见不规则充盈缺损,右侧卵巢静脉周围可见条片稍低密度影。
2021-04-04 双下肢静脉:

双侧髂静脉、双下肢静脉未见明显异常
2021-4-9 腹部 CT 增强如下:

增强门静脉期

冠状位与矢状位
右侧卵巢静脉明显增粗,管腔内可见充盈缺损,右侧卵巢静脉周围可见条片稍低密度影,增强扫描卵巢静脉壁轻度强化影,与 CT210403-134 片其内密度有所减低,病灶周围渗出影有所减少。
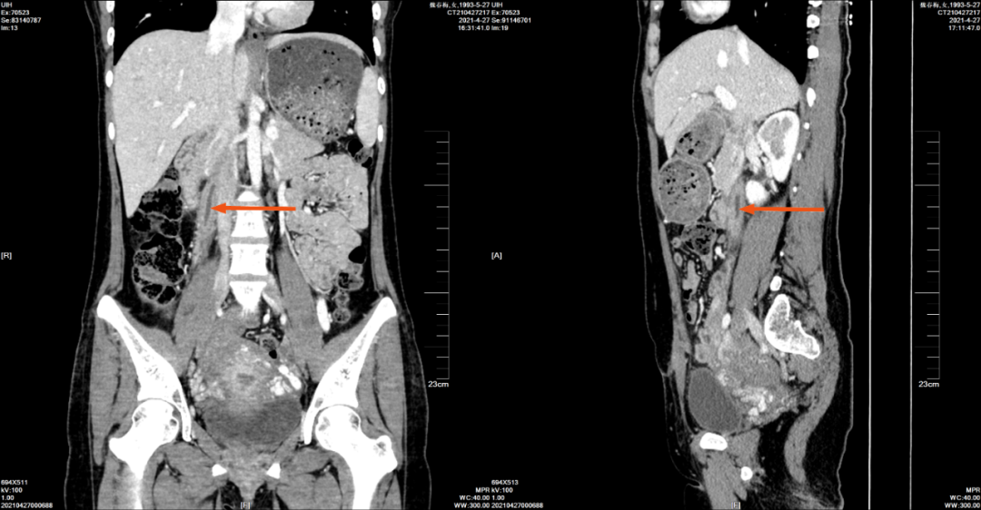
2021-4-27 腹部 CT 增强如下:

增强三期扫描图

增强门静脉期

冠状位与矢状位
右侧卵巢静脉明显增粗,管腔内可见充盈缺损,右侧卵巢静脉周围可见条片稍低密度影,增强扫描卵巢静脉壁呈明显渐进性强化影,周围见少许积液,较 CT210409-050 片其内密度有所减低,病灶周围渗出影有所减少,静脉增粗程度较前减轻。
病例结果:卵巢静脉血栓性静脉炎
定义
卵巢静脉血栓性静脉炎(ovarian vein thrombophlebitis OVT)是产后或术后发热的罕见原因,其临床症状和体征不典型,是产后罕见、严重的并发症, 延迟诊治可能继发下腔静脉血栓、肺栓塞、脓毒血症等严重并发症。卵巢静脉血栓性静脉炎非常少见,分娩人群中发生率为 0.01%~0.05%,常发生于产后 2~15d,剖宫产术后多见,右侧多见。
临床与病因
该病一般以发热、腹痛为主要临床表现,合并感染者可伴随寒战、高热、呼吸急促症状。
血栓形成的原因是静脉壁损伤、血流瘀滞和血液高凝状态。
妊娠子宫的右旋会压迫右侧卵巢静脉,且右侧卵巢静脉较左侧长,故右侧更常见。多种因素也可导致 OVT 风险增加,包括:妊娠、剖宫产、盆腔感染、人工流产、盆腔手术、子宫肌瘤、恶性肿瘤及遗传性易栓症如抗凝血酶缺乏、蛋白 C 及蛋白 S 缺乏等。
解剖
卵巢静脉起自蔓状静脉丛,穿腹股沟管深环,在腹后壁壁腹膜深面上行,与同名动脉伴行,多为 2 支。它们经腰大肌和输尿管的腹侧后合为 1 支,右侧者斜行汇入下腔静脉,左侧者几乎垂直上升汇入左肾静脉。
影像学表现
CT 检查:CT 平扫时应根据患者病史,重点观察腹主动脉或下腔静脉旁有无管状长条形低密度影或混杂密度影及其走形、周围结构的改变、以及与临近组织关系。增强扫描门静脉期卵巢静脉充盈缺损表现,以及周围渗出性改变。

(注:箭头显示右侧卵巢静脉血栓,其上端延续至下腔静脉内)
超声检查:首先常规超声检查患者阑尾、肾脏、子宫附件各个区域,其次重点对卵巢静脉解剖部位进行扫查,观察腹主动脉或下腔静脉旁有无管状长条形低回声及其走形、 毗邻关系及内部彩色血流信号情况。

图 1 横切面示下腔静脉旁卵巢静脉明显扩张,内可见低回声充填(箭头所示)
图 2 纵切面示卵巢静脉明显扩张伴低回声充填,内未见明显血流信号
治疗与预后
OVT 治疗包括保守治疗及手术治疗,目前国内外多提倡保守抗凝治疗,有感染症状者需加用抗生素。单独使用广谱抗生素疗效不明显,有症状的卵巢血栓性静脉炎患者尽早给予对症支持治疗同时联合抗凝及抗生素治疗,预后良好。
小结
分娩后出现卵巢静脉血栓性静脉炎的可能性极低,但处置不及时可导致严重后果,甚至危及生命。临床医护工作者对该疾病认知水平有限,且疾病本身特异性不强,难以在短时间内获得准确诊断。若产后出现反复高热、腹痛症状,且常规抗生素治疗无效者,可考虑为产后血栓性静脉炎,及时行影像学检查,予以抗感染、抗凝治疗。通过分析该病例,旨在提高临床工作者对卵巢静脉血栓性静脉炎的认知及诊治能力,以减少并发症的发生。
作者 | 桔梗
参考文献
[1] Rottenstreich A,Da’as N,Kleinstern G,et al. Pregnancy and non- pregnancy related ovarian vein thrombosis:clinical course and outcome[J].Thromb Res,2016,34:84-88.
[2] Labropoulos N,Malgor RD,Comito M,et al. The natural history and treatment outcomes of symptomatic ovarian vein thrombosis[J].J Vascular Surg,2015,3(1):42-47.
[3]Salomon O,Dulitzky M,Apter S.New observations in postpartum ovarian vein thrombosis:experience of single center[J].Blood Coagul Fibrinolysis,2010,21(1):16-19.
[4] Kominiarek MA,Hibbard JU.Postpartum ovarian vein thrombosis:an update[J].Obstet Gynecol Surv,2006,61(5):337-342.
[5] Isler CM,Rinehart BK,Terrone DA,et al.Septic pelvic thrombo⁃ phlebitis and preeclampsia are related disorders[J].Hypertens Pregnancy,2004,23(1):121-127.
[6] Lenz CJ,Wysokinski WE,Henkin S,et al.Ovarian vein thrombo⁃sis:incidence of recurrent venous thromboembolism and survival[J].Obstet Gynecol,2017,130(5):1127-1135.
[7] 陈竹,张坤,邹蕾 . 彩色多普勒超声诊断下肢静脉曲张合并血栓性浅静脉炎的应用价值 [J]. 血栓与止血学,2020,26(5):810-811.
[8] 陈秋燕,胡丽娜,徐娇 . 产后卵巢静脉血栓性静脉炎 1 例 [J]. 实用妇产科杂志,2019,35(9):719-720.
[9] 龙书玉,应德美 . 阴道分娩后右侧卵巢静脉血栓性静脉炎 1 例 [J]. 中国实用妇科与产科杂志,2019,35(11):1294-1296.
[10] 谢利莎 . 护理安全管理对卵巢癌 P I C C 置管患者血栓及静脉炎发生的影响 [J]. 当代护士 ( 上旬刊 ),2020,27(11):98-99.
[11] 邱江东,张太平 . 胰十二指肠切除术后并发血栓性门静脉炎一例 [J]. 中华外科杂志,2019,57(1):59-60.
[12] 庄旭升 . 中西医结合治疗下肢急性期血栓性浅静脉炎临床研究 [J]. 新中医,2019,51(2):150-152.
纵隔大细胞神经内分泌癌1例CT影像
张力性纵隔气肿影像表现及严重度分级
迅速增大的肺部结节,首先考虑良性,确诊需要肺穿
肺隔离症:易误诊为肺癌的占位性病变,肺穿刺禁忌!
肺段与肺内管道应用解剖
肺转移瘤的十种不典型CT表现
肺内淋巴结的CT表现特点及与病理对照
肺实变与肺不张的CT鉴别诊断
医生现身说法,这五种忙帮不得!
北大教授:要真正让医务人员有阳光体面的收入!医
为值夜班的医生护士鼓与呼:请给我们更多关注!
广东拟取消医院用药数量限制,满足患者多样性需求
博士、硕士入职就给精装房!又有医院不惜下血本招
历时7年之久,温医生宣判无罪!
重磅!四川发文:严禁限制医生多点执业
与真人医生诊断一致性达96%:AI医生应用前景广阔