今天给大家分享一个有趣、易误诊的病例;只要您认真看完,保证下次遇到了肯定会。
病例展示
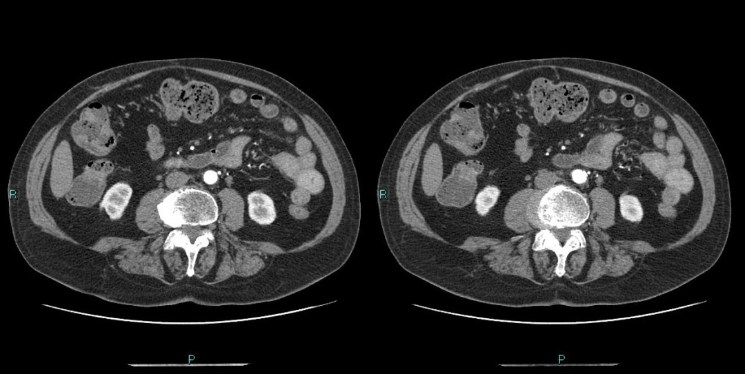
患者男 35 岁 因头疼、高血压入院,拟高血压病因待查;




CT 平扫发现左肾上腺可见类圆形稍低密度影,建议进一步检查;
高血压病因待查?难道左肾上腺是嗜铬细胞瘤?
然后完善增强扫描;

咦,不对啊,增强扫描不支持嗜铬细胞瘤的表现啊。
我们接得往下面看


咦,大家有没有发现不对的地方?
有木有?
大家有没有注意到双侧肾动脉的情况?

这个肾动脉怎么看上去和平时的不一样啊;

MIP
下面我们一起学习一下,为什么会出现这样的情况;
纤维肌性发育不良(FMD)
纤维肌发育不良是指一组非动脉粥样硬化性和非炎症性的中型动脉疾病,导致节段性病变,有时还会出现缺血和/或夹层。一般情况下可以无症状,部分患者是因高血压查因发现,罕见情况下可以是急性并发症 (梗死/出血)。
临床表现
1、中枢神经系统症状(如头痛、颈痛、搏动性耳鸣、霍纳综合征),是由于由颈动脉和椎动脉受累引起的短暂性缺血性发作、卒中、夹层形成;
2、心绞痛、心肌梗死,或因冠状动脉受累导致的心脏性猝死;
3、肠系膜缺血的症状,肠系膜梗死是罕见的,因为侧枝形成显著。
病因机制
确切的发病原因尚不清楚。基本病理表现为动脉壁的纤维化或纤维肌性增厚。血管壁的任何一层(内膜、中膜或外膜)都可能受到影响。无炎性细胞浸润。
纤维肌发育不良(FMD)是一组异质性的血管病变,其特征是特发性、非炎性、非动脉粥样硬化的中小动脉病变。
患病率未知。这种情况在年轻女性中最常见,男女比例为 1:3,通常在 30 到 50 岁之间确诊。
纤维肌发育不良可影响体内任何中等大小的动脉,通常是多灶性和双侧的(累及肾动脉出现率高达 60% 以上)。纤维肌发育不良通常涉及血管的中段和分支起源。
按累及概率顺序如下:
影像学表现
一般我们可以通过 CTA 血管成像、MRI+C 血管成像和数字减影血管造影 (DSA) 等影像检查发现纤维肌肉发育不良的病变。
选择 DSA 是金标准,因为它可以显示小的或外围病变。大部分受累血管主要能看到血管中段交替的狭窄和扩张,呈典型的串珠状样改变。
在内膜和外膜类型中较少见,存在局灶性同心、长段管状狭窄或憩室外突(见颈动脉内膜纤维肌肉发育不良)。
典型的血管造影特征包括:血管袢、梭形血管扩张和串珠样改变;
不典型的影像表现包括:动脉夹层、动脉瘤和蛛网膜下腔出血;
纤维肌发育不良的可以导致动脉狭窄,纤维肌发育不良可以造成节段性的血管狭窄,而狭窄段间伴有局部的扩张区域(小动脉瘤)。狭窄-扩张相间隔就形成 「 串珠状 」 外观。纤维肌发育不良也会削弱血管壁的各层次间的贴附,使其易于剥离,形成动脉夹层。

典型串珠样改变

近中段血管狭窄

CTA

动态 DSA 图
作者 | 黄敏
参考文献 | (向下滑动)Plouin PF, Perdu J, La Batide-Alanore A, Boutouyrie P, Gimenez-Roqueplo AP, Jeunemaitre X. Fibromuscular dysplasia. Orphanet J Rare Dis. 2007;2:28. Published 2007 Jun 7. doi:10.1186/1750-1172-2-28
Kim ESH, Saw J, Kadian-Dodov D, Wood M, Ganesh SK. FMD and SCAD: Sex-Biased Arterial Diseases With Clinical and Genetic Pleiotropy. Circ Res. 2021 Jun 11;128(12):1958-1972. doi: 10.1161/CIRCRESAHA.121.318300. Epub 2021 Jun 10. PMID: 34110898; PMCID: PMC8369814.
Plouin PF, Fiquet B, Bobrie G, Jeunemaître X. Dysplasie fibromusculaire des artères rénales [Fibromuscular dysplasia of renal arteries]. Nephrol Ther. 2016 Apr;12 Suppl 1:S135-8. French. doi: 10.1016/j.nephro.2016.02.011. Epub 2016 Mar 8. PMID: 26968476.
纵隔大细胞神经内分泌癌1例CT影像
张力性纵隔气肿影像表现及严重度分级
迅速增大的肺部结节,首先考虑良性,确诊需要肺穿
肺隔离症:易误诊为肺癌的占位性病变,肺穿刺禁忌!
肺段与肺内管道应用解剖
肺转移瘤的十种不典型CT表现
肺内淋巴结的CT表现特点及与病理对照
肺实变与肺不张的CT鉴别诊断
医生现身说法,这五种忙帮不得!
北大教授:要真正让医务人员有阳光体面的收入!医
为值夜班的医生护士鼓与呼:请给我们更多关注!
广东拟取消医院用药数量限制,满足患者多样性需求
博士、硕士入职就给精装房!又有医院不惜下血本招
历时7年之久,温医生宣判无罪!
重磅!四川发文:严禁限制医生多点执业
与真人医生诊断一致性达96%:AI医生应用前景广阔