苹果核征提示什么病,你知道吗?

苹果核征
由于肠壁环形增厚导致相应肠管缩窄,通常是结肠癌。
影像表现:在钡剂灌肠检查时出现结直肠局部狭窄,这个狭窄表现为两端呈肩状,中央的管腔狭窄,并有粘膜破坏,边缘不规整,形似被吃剩的苹果核。
肿瘤沿肠壁环周浸润超过肠管周径的2/3时,可产生本征象。其两端为环堤形成的隆起边界,中央的管腔狭窄段为癌性溃疡所形成的癌性隧道。
结直肠癌在双对比造影中可表现为斑块状、息肉状、半环状(或鞍状)、环状及毯状。苹果核征最常见于环状结直肠癌。
在钡剂灌肠造影中环状结直肠癌表现为肠管的圆周状狭窄,与相对正常的肠段交界部界限清楚,形态僵硬,狭窄长度一般以3~6cm为多见,并有黏膜破坏,边缘呈大陆架状、悬垂状。




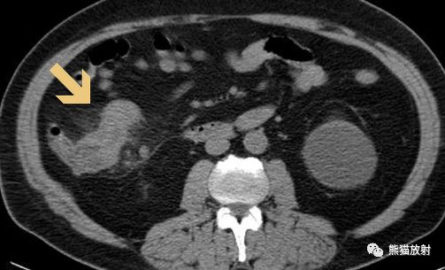
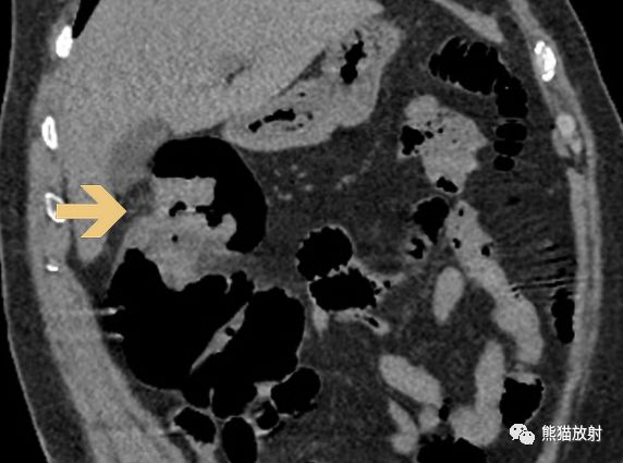
在CT图像上同样可以有苹果核征的表现。
横结肠癌CT表现及大体病理:



肝曲结肠癌CT表现(MPR、VR):



纵隔大细胞神经内分泌癌1例CT影像
张力性纵隔气肿影像表现及严重度分级
迅速增大的肺部结节,首先考虑良性,确诊需要肺穿
肺隔离症:易误诊为肺癌的占位性病变,肺穿刺禁忌!
肺段与肺内管道应用解剖
肺转移瘤的十种不典型CT表现
肺内淋巴结的CT表现特点及与病理对照
肺实变与肺不张的CT鉴别诊断
医生现身说法,这五种忙帮不得!
北大教授:要真正让医务人员有阳光体面的收入!医
为值夜班的医生护士鼓与呼:请给我们更多关注!
广东拟取消医院用药数量限制,满足患者多样性需求
博士、硕士入职就给精装房!又有医院不惜下血本招
历时7年之久,温医生宣判无罪!
重磅!四川发文:严禁限制医生多点执业
与真人医生诊断一致性达96%:AI医生应用前景广阔