
































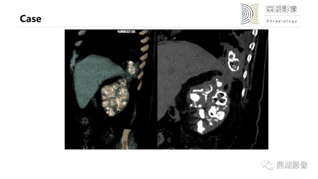
黄色肉芽肿性肾盂肾炎(Xanthogranulomatous pyelonephritis ,XGP)又称泡沫细胞肉芽肿,是一种少见的肾实质及肾周组织以肉芽肿组织改变为主的慢性非特异性炎性病变。
可见于所有年龄组,中老年患者多见,男、女比例1:2。
XGP的病因尚不明确, 与泌尿系感染、自身免疫机能低下及泌尿系结石、梗阻等因素有关,常见致病菌为大肠杆菌和变形杆菌。糖尿病患者的发病率有所增加。
主要临床表现不典型,全身症状表现为身体不适、体重减轻和低烧等,可有腹痛、尿路刺激症状、血尿、脓尿等泌尿系统症状,以腹痛者多见。
纵隔大细胞神经内分泌癌1例CT影像
张力性纵隔气肿影像表现及严重度分级
迅速增大的肺部结节,首先考虑良性,确诊需要肺穿
肺隔离症:易误诊为肺癌的占位性病变,肺穿刺禁忌!
肺段与肺内管道应用解剖
肺转移瘤的十种不典型CT表现
肺内淋巴结的CT表现特点及与病理对照
肺实变与肺不张的CT鉴别诊断
医生现身说法,这五种忙帮不得!
北大教授:要真正让医务人员有阳光体面的收入!医
为值夜班的医生护士鼓与呼:请给我们更多关注!
广东拟取消医院用药数量限制,满足患者多样性需求
博士、硕士入职就给精装房!又有医院不惜下血本招
历时7年之久,温医生宣判无罪!
重磅!四川发文:严禁限制医生多点执业
与真人医生诊断一致性达96%:AI医生应用前景广阔