影像征象 | 皮包骨征:硬皮病小肠钡剂造影征象,描述肠管扩张、环状襞厚度正常、间隔变窄。纵层肌收缩所致。

扩展阅读



● 临床表现
● 女,51岁,便秘。

● 注释说明
● 对比增强CT显示食管明显扩张(箭头所示)。

● 注释说明
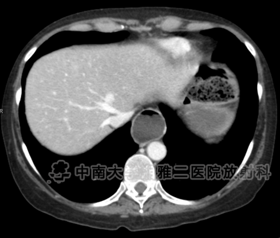
● 在结肠中有明显的粪块残留,在结肠壁(箭头)内存在气体,相关肠壁无增厚或肠系膜脂肪的滞留,与结肠囊样积气一致。

● 注释说明
● 在空肠(箭头所示)中有一堆又细又直的褶皱。
● 鉴别诊断
● 硬皮病:这是诊断,由食管扩张、粪便滞留、便秘史、结肠囊样积气、小肠皱襞表明。
● 囊性纤维化:囊性纤维化可引起良性积气以及肠内容物潴留。食管的明显扩张不是特征性的。
● 要点
● 本病例的影像学表现和便秘的临床史强烈提示了硬皮病的诊断,或进行性系统性硬化症。
● 硬皮病被认为是一种自身免疫性的胶原血管疾病,它会影响全身的小血管,导致平滑肌萎缩、纤维化和胶原沉积。90%累及胃肠道和80%累及食道。
● 由于蠕动减少导致食道内食物及残渣残留,此特点在仰卧位时更明显。
● 如本例所见,小肠在皮肤发生变化后,通常小肠出现薄而直的皱褶改变的频率会增高(通常是空肠)。
● 有一半的硬皮病患者会出现便秘,而CT表现为粪便残留,如本例中,结肠扩张为假囊袋样。
● 其它影像表现
● 与硬皮病有关的CT表现也可在食管、小肠和结肠的钡餐检查中发现。
● 经验和教训
● 结肠囊样积气是一种良性的积气,由氮气在浆膜下集聚形成。常有囊状或白斑样的外观。易感因素包括激素使用、囊性纤维化、硬皮病和慢性阻塞性肺疾病。
● 认识到这些良性特征,如小肠扩张和与硬皮病有关的结肠囊样积气,可以避免不必要的手术。与病人的临床表现密切相关。
● 钡应用于放射学研究中的硬皮病患者会造成严重的危机生命的后果。
纵隔大细胞神经内分泌癌1例CT影像
张力性纵隔气肿影像表现及严重度分级
迅速增大的肺部结节,首先考虑良性,确诊需要肺穿
肺隔离症:易误诊为肺癌的占位性病变,肺穿刺禁忌!
肺段与肺内管道应用解剖
肺转移瘤的十种不典型CT表现
肺内淋巴结的CT表现特点及与病理对照
肺实变与肺不张的CT鉴别诊断
医生现身说法,这五种忙帮不得!
北大教授:要真正让医务人员有阳光体面的收入!医
为值夜班的医生护士鼓与呼:请给我们更多关注!
广东拟取消医院用药数量限制,满足患者多样性需求
博士、硕士入职就给精装房!又有医院不惜下血本招
历时7年之久,温医生宣判无罪!
重磅!四川发文:严禁限制医生多点执业
与真人医生诊断一致性达96%:AI医生应用前景广阔