男性,51岁
主 诉:发现肝占位1年余。既往有上消化道出血病史。2022年09月因”1.2型糖尿病伴血糖控制不佳 糖尿病性外周血管病。










您的诊断是什么?欢迎公众号留言。答案次日公布。
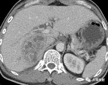
肝右叶见不规则团块状稍低密度影,外缘可见水肿带。边缘模糊,增强扫描动脉期呈不均匀强化、以边缘强化为主,门脉期呈边缘持续强化,病变范围4.7*7.5*7.8cm。影像诊断肝脓肿,肝穿刺活检:炎性病灶。

肝脓肿
在临床肝脏病变类型中,肝脓肿是较为常见的一种肝脏化脓性病变 。肝脓肿主要是由三大类多脓病原菌感染肝脏之后导致肝脏出现液化坏死状病变,主要感染源为真菌感染、细菌感染与阿米巴原虫感染。
肝脓肿是临床中一种较为常见的肝脏炎性病变反应, 患者主要分为细菌性肝脓肿与阿米巴性肝脓肿两种类型。阿米巴性肝脓肿患者多因肠道阿米巴病导致,而细菌性肝脓肿患者则为腹腔、胆道等部位受到感染所导致。目前,很多肝脓肿患者因临床抗生素滥用等原因而出现了不典型性情况,很多患者的误诊率较高。
CT 扫描则可以对患者肝脓肿的发病部位进行更为全面的扫描分析,医生可以掌握患者的病变范围,观察病变组织与周围脏器之间存在的关系。





上图:“周围充血征”表现为脓肿周围肝组织于增强早期的一过性明显强化,反映了脓肿周围肝组织的炎性充血反应.

上图:“簇状征”和“花瓣征”有相似的病理基础,见于细菌性肝脓肿形成初期,“簇状征”为多个细小脓肿(< 2 cm)集成团或融合,“花瓣征”为多房脓肿,脓腔之间的房隔未坏死液化,残存的房隔有炎性反应“。

上图:延时强化征”表现为二个方面,一是脓肿强化持续时间较长,病灶较平扫缩小,反映了化脓性炎症期,或化脓性炎症破坏后的增生反应;二是脓肿壁周围低密度水肿环延时强化为等密度,脓肿壁周围低密度带反映了炎性水肿,肝组织仍存活而强化为等密度。 延时强化征的可能机制为肝脓肿炎性肉芽组织,造影剂缓慢向外渗透而廓清较慢所致。








肝脏各叶比例正常,表面光整,肝脏右前叶上段见一大小约26×32mm类圆形异常信号影,T1WI呈低信号为主,夹杂小片状等信号影,同反相位小片状等信号影信号部分降低,T2WI呈高低混杂信号影,以高信号为主,边缘不清,呈晕征;肝右叶后段肝门旁尚见小结节状稍长T1稍长T2信号影,边界较清,大小约16mm*16mm;DWI(B=600)两个病灶呈斑片状及环状高信号影,中心区域可见低信号影。动态增强扫描病灶肝右叶前段病灶动脉期周围见一过性斑片状强化影,门静脉及延迟期病灶周围见环状强化,环壁较菲薄、光整,而肝右叶后段近肝门区结节影各期强化均低于肝实质,呈乏血供。肝内外胆管未见扩大,胆囊不大。脾脏、胰腺未见异常。肝门区及腹主动脉旁未见增大淋巴结影。肝前缘见少量液性信号影。双侧胸腔见少量液性信号影。
1. 复习对比观察既往影像学资料(最早2018-8-21片)肝右前叶上段多发占位,考虑肝感染性病变,真菌性肝脓肿。
2. 腹腔少量积液;
3. 双侧胸腔积液。






小结
肝脓肿影像学表现:鉴别
1、CT平扫:低密度影,
2、脓肿壁强化,形成“环征”
单环:脓肿壁
双环:脓肿壁+水肿带
三环:脓肿壁内层+壁+水肿带
多房或蜂房样改变,间隔强化
3、20%的脓腔可有气体影
鉴别
1、肝癌:原发性肝癌的患者肝癌坏死液化病灶,一般位于患者肝脏病灶的中央部位,且形态并不规 则,内缘会出现凹凸不平的情况。
2、肝血管瘤:肝血管瘤的患者动脉期边缘结节状强化表现较为明显,且强化区域会不断向中央 部位充填,肝血管瘤患者的病灶边界也会较为清晰,不存 在相应的感染情况。
3、转移瘤:肝转移瘤。肝转移瘤患者没有感染症状,一般存在原发瘤, 且经常出现肝内多发性病灶,患者病灶的周围部位不存在水肿带,而肝脓肿患者病灶周围经常出现围绕状水肿带, 且肝转移瘤患者接受增强扫描之后较小的转移瘤会出现环形强化情况。
参考文献:
[1] 王宁 . 超声造影鉴别诊断肝脓肿的价值 [J]. 临床医药文献 电子杂志,2017,4(86):16954.
[2]陈勇,史浩,吴芸.肝脓肿CT诊断及鉴别诊断的临床分析[J]. 中外医学研究,2017,15(28):47-49.
[3]任国彬.肝脓肿CT诊断与鉴别诊断探讨 [J].影像研究与医学应用,2019,3(2):78-79.
纵隔大细胞神经内分泌癌1例CT影像
张力性纵隔气肿影像表现及严重度分级
迅速增大的肺部结节,首先考虑良性,确诊需要肺穿
肺隔离症:易误诊为肺癌的占位性病变,肺穿刺禁忌!
肺段与肺内管道应用解剖
肺转移瘤的十种不典型CT表现
肺内淋巴结的CT表现特点及与病理对照
肺实变与肺不张的CT鉴别诊断
医生现身说法,这五种忙帮不得!
北大教授:要真正让医务人员有阳光体面的收入!医
为值夜班的医生护士鼓与呼:请给我们更多关注!
广东拟取消医院用药数量限制,满足患者多样性需求
博士、硕士入职就给精装房!又有医院不惜下血本招
历时7年之久,温医生宣判无罪!
重磅!四川发文:严禁限制医生多点执业
与真人医生诊断一致性达96%:AI医生应用前景广阔