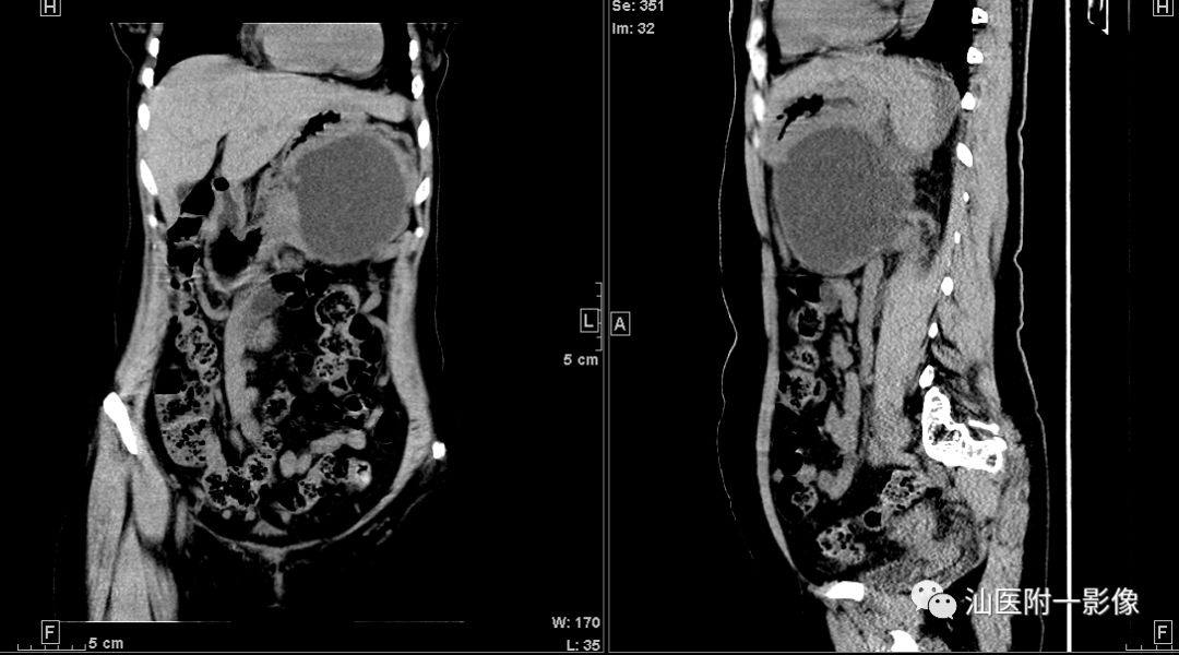
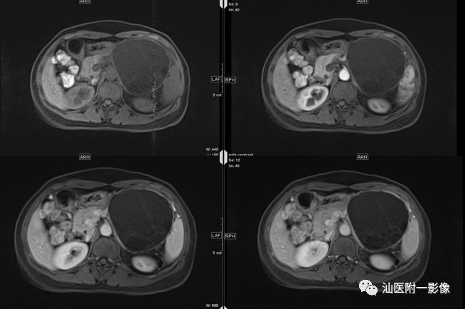
·男,15岁,上腹痛3天,加重半天
·3天前无明显诱因出现上腹痛,呈持续性痛。半天前症状突然加重。查体:全腹部腹肌紧张,左上腹部压痛及反跳痛明显。
·外院B超:左上腹囊性包块,考虑胰腺假性囊肿,未排其它










病例2














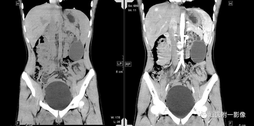
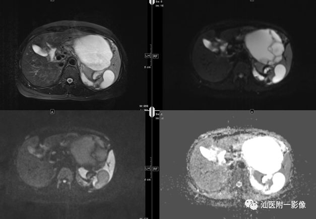
病例一 胰腺先天性囊肿


![]()
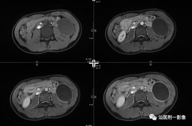
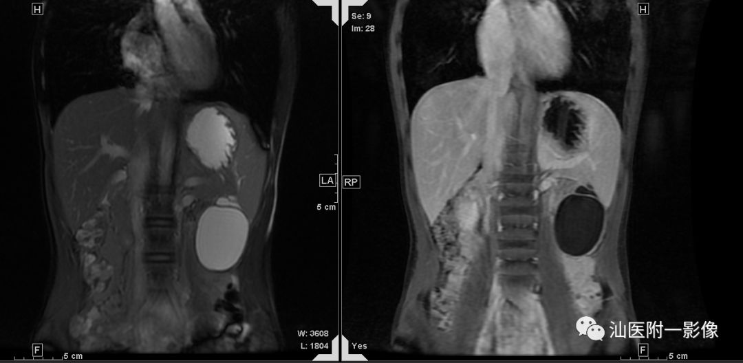
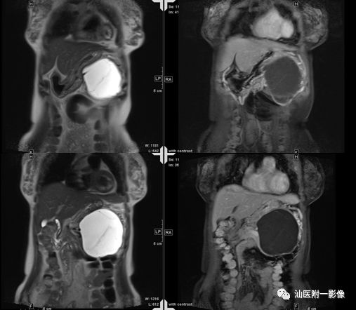
病例二 胰腺假性囊肿












![]()

纵隔大细胞神经内分泌癌1例CT影像
张力性纵隔气肿影像表现及严重度分级
迅速增大的肺部结节,首先考虑良性,确诊需要肺穿
肺隔离症:易误诊为肺癌的占位性病变,肺穿刺禁忌!
肺段与肺内管道应用解剖
肺转移瘤的十种不典型CT表现
肺内淋巴结的CT表现特点及与病理对照
肺实变与肺不张的CT鉴别诊断
医生现身说法,这五种忙帮不得!
北大教授:要真正让医务人员有阳光体面的收入!医
为值夜班的医生护士鼓与呼:请给我们更多关注!
广东拟取消医院用药数量限制,满足患者多样性需求
博士、硕士入职就给精装房!又有医院不惜下血本招
历时7年之久,温医生宣判无罪!
重磅!四川发文:严禁限制医生多点执业
与真人医生诊断一致性达96%:AI医生应用前景广阔