概念
贲门失弛缓症是指食管下端及贲门部的神经肌肉功能障碍,以吞咽动作时弛缓不良、食管缺乏有力蠕动为特征的病变。分为原发性和继发性,原发性可能与精神因素、自身免疫、病毒感染和遗传因素等导致食管肌肉层神经节变性、退化、减少或缺如等有关;继发性可由迷走神经切断术,重症肌无力等引起。
临床表现
此病好发于青壮年,女性多见,发病缓慢,病程较长。典型症状是吞咽障碍、胸骨后阻塞感,伴反胃、呕吐及消瘦等。病情时轻时重,与精神情绪及刺激性食物有关;热食较冷食易吞咽;呕吐物为当餐或隔餐未消化食物,不含胃酸。
影像表现
胸部 X 线检查:早期 X 线胸片无明显异常;随着病情发展,食管被动扩张,胸部后前位片上可能见食管向纵隔右上方膨出;食管严重扩张、弯曲时可见纵隔增宽;当食管内有大量食物和气体潴留时,可见液-气平面,大部分病人胃泡变小或消失。
01
病例一
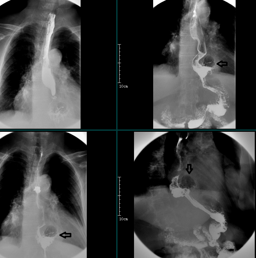
简要病史:女,63 岁,恶心、呕吐半天入院检查。既往有脑梗死、胆囊结石等病史。

胸部正位片示:食管明显扩张,气体潴留;双侧肺野弥漫性斑片状、网格状密度增高影。

食管钡餐造影示:食管全程扩张,大量气体潴留,食管下端管腔逐渐狭窄呈鸟嘴状,黏膜皱襞正常,钡剂通过受阻。
考虑为贲门失弛缓症。
X 线钡餐造影:
①食管下端自上而下逐渐狭窄呈漏斗状或鸟嘴状,狭窄段长短不一,边缘光整,质地柔软,黏膜皱襞正常,呈光滑的细线状。
②钡剂通过贲门受阻,呈间隙性流人胃内,呼气时比吸气时容易进入胃内。
③狭窄段以上食管不同程度扩张,扩张程度与贲门狭窄程度相关。
④食管蠕动减弱或消失,代替原发蠕动的是同步低频幅收缩,遍及食管全长,此外,尚有第三收缩波频繁出现。
⑤并发炎症及溃疡时,则黏膜皱襞紊乱,出现溃疡龛影。
X 线钡餐造影表现按病变演变过程可分为三个阶段:
①早期: 食管下段无扩张或轻度扩张,正常蠕动波减弱或消失,代之无规律的、紊乱的收缩运动,食管下端逐渐变细呈鸟嘴样,钡剂只能呈线状通过狭窄部位而进入胃内。
② 中期: 食管中下段中度扩张,呈漏斗状,边缘光整,食管内钡柱需达到一定高度时通过狭窄段进入胃内,不规则运动较前减少,胃底常看不见气体。
③晚期: 食管高度扩张伴迂曲,食管中下段运动消失,食管内有明显的潴留物,可见气-液平面。
01
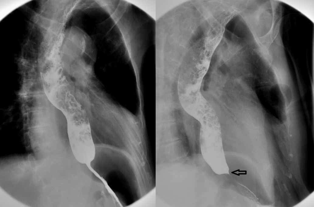
病例一
简要病史:女,83岁,反复胸骨后疼痛 3-4 天

食管全程扩张,管腔内大量食物及气体潴留,钡剂通过贲门受阻,呈鸟嘴状,钡剂间歇性流入胃腔,黏膜皱襞光整。
02
病例二
简要病史:女,58 岁,吞咽不适、腹胀。

食管中下段扩张,钡剂通过贲门明显受阻,呈鸟嘴状,黏膜皱襞光整。
03
病例三
进食哽噎 20 年,加重伴不能进食、呕吐 4 天:

食管扩张,管腔内大量食物潴留,钡剂通过明显受阻,呈鸟嘴状、漏斗状,钡剂缓慢通过。
鉴别诊断
一、贲门区浸润性癌:X 线钡餐造影示软组织肿块,呈结节状、不规则状充盈缺损,黏膜皱襞破坏、连续性中断,也可伴有不规则龛影,钡剂通过受阻,形成分流、转向、喷射等征象。

二、食管静脉曲张:由食管任何部位的静脉血量增加和 (或) 回流障碍所致的疾病。根据曲张的起始部位分为起自食管下段的上行性食管静脉曲张与起自食管上段的下行性食管静脉曲张,前者占绝大多数,故一般所讲的食管静脉曲张是指前者,为门静脉高压的重要并发症,常见于肝硬化。
X 线吞钡后的食管造影表现为:早期下段食管黏膜皱襞增粗或稍迂曲,管腔边缘略呈锯齿状,管壁软,钡剂通过良好。进一步发展,典型者为呈串珠状或蚯蚓状之充盈缺损,管壁边缘不规则,食管腔扩张,蠕动减弱,排空延迟。

食管中下段黏膜皱襞广泛增粗、迂曲、呈蚯蚓状,可见串珠样充盈缺损,钡剂尚通畅。
三、食管裂孔疝: 是指腹腔内脏器通过膈食管裂孔进入胸腔的疾病,是膈疝中最常见的一种。X 线造影检查时,直接征象为膈上疝囊,疝囊内有胃粘膜皱襞影。依据形态可分为①短食管型②食管旁型③混合型④滑动型。较容易鉴别。


四、食管疤痕狭窄: 患者先有吞服化学药品史、食管手术或食管炎史, 后出现胸骨后烧灼痛和吞咽困难,表现为边缘不规则,管腔大小不均匀的狭窄段。
五、先天性食管狭窄:其狭窄位于中下段,食管狭窄段距膈肌孔均有一定的距离,狭窄近端扩张,而贲门失驰缓症狭窄位于食管胃结合部,用解痉药有效。
作者 | 邓之亚
参考文献[1] 白人驹, 张雪林. 医学影像诊断学. 第 3 版. 人民卫生出版社,2010.
[2] 耿敬标, 杨晓钟.X 线和内镜在贲门失弛缓症诊断中的价值 [J]. 现代医药卫生,2004; 20( 7) : 509.
[3] 过家益. 贲门失弛缓症的临床 X 线分析 [J]. 中外医疗 (影像与检验) ,2008,17:124-125.
[4] 罗沛霖, 李龙, 贲门失弛缓症并发食管癌 1 例 [J]. 临床放射学杂志,2007, 26(1) : 25.
纵隔大细胞神经内分泌癌1例CT影像
张力性纵隔气肿影像表现及严重度分级
迅速增大的肺部结节,首先考虑良性,确诊需要肺穿
肺隔离症:易误诊为肺癌的占位性病变,肺穿刺禁忌!
肺段与肺内管道应用解剖
肺转移瘤的十种不典型CT表现
肺内淋巴结的CT表现特点及与病理对照
肺实变与肺不张的CT鉴别诊断
医生现身说法,这五种忙帮不得!
北大教授:要真正让医务人员有阳光体面的收入!医
为值夜班的医生护士鼓与呼:请给我们更多关注!
广东拟取消医院用药数量限制,满足患者多样性需求
博士、硕士入职就给精装房!又有医院不惜下血本招
历时7年之久,温医生宣判无罪!
重磅!四川发文:严禁限制医生多点执业
与真人医生诊断一致性达96%:AI医生应用前景广阔