这种病例确实非常罕见,不打开这篇文章可能一生都无法见到。
先来个案例,女性,35岁,因非特异性腹痛入院行腹部平片。

Case contributed by Dr Morlie L Wang
发现腹部巨大高密度的骨化、钙化结构,局部形态类似骨骼。可能有的医生可能会往这方面想,这不会是一个“胎儿”吧!
对!这就是石胎(lithopedion,stone babies)!

Case contributed by Dr Laughlin Dawes
这是一种非常罕见的妊娠,Albucasis 首先报道了石胎,至今文献报道仅有 300 余例!这类患者多见于经济条件差和长期不做体检的女性。当孕妇胎儿在腹腔内死亡后,母亲的妊娠现象就会自动消失,月经恢复来潮,可无任何不适症状。胎儿在体内逐渐钙化,形成石胎。当然甚至有一部分患者都不知道自己怀孕,十几年后或死后才会被发现。
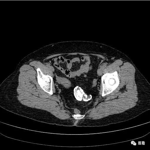
再来看看下面这例67岁女性患者,体检发现盆腔病变,图片比较多,或许可以帮大家更全面地了解▼(再次注意这不是子宫肌瘤钙化!)该病例来源于医看。






























纵隔大细胞神经内分泌癌1例CT影像
张力性纵隔气肿影像表现及严重度分级
迅速增大的肺部结节,首先考虑良性,确诊需要肺穿
肺隔离症:易误诊为肺癌的占位性病变,肺穿刺禁忌!
肺段与肺内管道应用解剖
肺转移瘤的十种不典型CT表现
肺内淋巴结的CT表现特点及与病理对照
肺实变与肺不张的CT鉴别诊断
医生现身说法,这五种忙帮不得!
北大教授:要真正让医务人员有阳光体面的收入!医
为值夜班的医生护士鼓与呼:请给我们更多关注!
广东拟取消医院用药数量限制,满足患者多样性需求
博士、硕士入职就给精装房!又有医院不惜下血本招
历时7年之久,温医生宣判无罪!
重磅!四川发文:严禁限制医生多点执业
与真人医生诊断一致性达96%:AI医生应用前景广阔