胰腺炎性病变有时在影像学上难以与胰腺导管腺癌鉴别,包括肿块型胰腺炎、局灶性自身免疫性胰腺炎、十二指肠旁胰腺炎或「沟槽性胰腺炎」等。正确识别一些征象能够帮助我们进行判断与鉴别。
提示炎性病变的征象
(如肿块型胰腺炎)
01 胰管穿通征
肿块内胰管无截断,从肿块中穿过,较平滑均匀地变窄,提示病变倾向为炎性。

T2WI 冠状位(a)显示胰头区类肿物样不均匀异常信号(黑箭头),MRCP(b)更清晰地显示胰管变窄从中穿过(白箭头)。
02 分支胰管扩张症征
在慢性胰腺炎患者中,分支胰管扩张可能是继发于纤维化的牵引作用;而肿瘤的肿块效应常导致胰管闭塞。

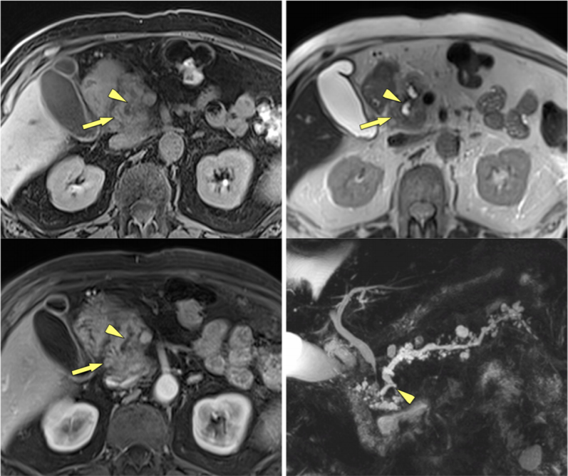
男性,86 岁,肿块型胰腺炎。胰头区见类肿物样异常信号(黄箭),其内可见胰管穿过(箭头),并且可见到多发分支胰管扩张(第四幅图,MRCP)。
提示恶性肿瘤的征象
01 胰管直径与胰腺实质宽度比例增加
胰管宽度与同层面胰腺实质短径的比例若大于 0.34,提示为恶性。

CT 冠状位显示胰管扩张,胰腺实质萎缩,胰管最大径与胰腺实质比例>0.5,提示病变为恶性。
02 胰腺内钙化灶移位
胰腺内散在或弥漫性钙化常见于慢性胰腺炎,当钙化灶发生移位时常提示恶性病变。

上图 CT 图像显示胰腺背景中多发钙化灶,而钙化灶在低强化肿物区域呈外周分布趋势。
03 双管征
正常胰管于十二指肠降部的壁内与胆总管汇合成肝胰壶腹,并开口于十二指肠大乳头。当胰管与胆总管同时扩张时,常提示胰头癌,但此征象并不特异,也可见于非肿瘤性性病变,如自身免疫性胰腺炎。

上图为 MRCP 成像,可清晰显示双管征,即胆总管(单箭)及胰管(双箭)扩张。

女性,79 岁,胰腺癌。A 图 CT 显示胰头区低强化肿物,部分包绕肠系膜上动脉第一空肠分支(空心箭)。B 图 MRCP 显示典型「双管征」,扩张的胆总管及胰管于胰头区截断。
04 血管受包绕以及变形
当病变外侵,可包绕邻近血管,导致邻近血管管腔狭窄或变形,此时常提示恶性病变。当病变包绕肠系膜上静脉,可形成「肠系膜上静脉泪滴征」。

上图显示胰腺病变侵犯邻近血管,血管周围脂肪间隙消失,邻近肠系膜上静脉呈「泪滴」状(黑箭)。
05 SMA/SMV 管径比值增加
肠系膜上动脉(SMA)与肠系膜上静脉(SMV)管径比值增加(甚至达到 1)通常提示恶性病变。机制不完全明确,一方面可能与肿瘤造成局部回流障碍,从而 SMV 血流量减少有关,另一方面可能与肿瘤侵犯 SMV 致其管壁增厚有关。而在胰腺炎中,由于炎症促进释放的血管活性物质可增加局部血流量,SMV 管径增加程度往往大于 SMA。

上图为胰腺癌增强 CT 图像,SMV(箭头)管径几乎与同层面 SMA(白箭)相同,比例接近 1,血管周围脂肪间隙模糊。
自身免疫性胰腺炎(AIP)特点
AIP 病史上无典型的急性胰腺炎发作史,大多数无酗酒及胆结石的病史,多表现为腹部隐痛不适或皮肤黄染。实验室检查:IgG、IgG4、自身抗体升高。
影像学表现:
(1)胰腺局限性或弥漫性增大
(2)门脉期和延迟期呈均匀强化
(3)主胰管不规则狭窄
(4)「鞘膜」征
(5)胆总管下段狭窄伴强化
(6)可伴胰周及腹膜后淋巴结肿大
(7)无明显血管侵犯征象

男性,42 岁,自身免疫性胰腺炎。a. T2WI 示胰头区中等信号类肿物(白箭),边界欠清。b. T2WI 冠状位显示类肿物内胰管穿行、管腔狭窄(白箭),箭头显示胆总管局部受累略变窄。c. 增强扫描延迟期显示病变较明显强化。

女性,32 岁,自身免疫性胰腺炎。上图箭头显示胰腺周围低信号纤维组织(a),增强扫描无强化(b)。
沟槽性胰腺炎
沟槽性胰腺炎是指发生在胰头的背面、十二指肠降部以及胆总管之间解剖区域的胰腺炎。分为单纯型及节段型,前者只累及沟槽区,胰腺组织未受累,后者累及十二指肠邻近的胰腺组织,部分伴胰周淋巴结轻度增大。根据病变影像学特点,可分为 3 型,其中 I 型需要重点与胰腺癌鉴别。
I 型(实性型),病变呈实性假瘤样肿块,不含或含<50% 的微小囊肿。IA 型沟槽区为主型,典型征象为「三明治征」,即由边界清晰沟槽区实性条带和右侧的十二指肠及左侧的胰腺共同构成的征象。IB 型胰腺受累为主型,典型征象为「饭团征」,即表现为累及胰头部的沟槽区类圆形肿块征象,常误诊为肿瘤。
II 型(囊性型),囊变成分大于 80%。III 型边界不清,无明确囊性或实性肿块。

男性,39 岁,沟槽性胰腺炎。胰头及十二指肠降部间不规则类肿物影(a,b),边缘模糊,胰头区见钙化灶。冠状位显示十二指肠壁内见囊性灶(五星)。MRCP 显示胆总管远端局限性狭窄(白箭)、胰管壁不规则(箭头)、十二指肠壁囊性结节。

男性,48 岁,沟槽性胰腺炎,三明治征。

男性,41 岁,沟槽性胰腺炎。a 图 T2WI 显示十二指肠内侧壁边界不清的类肿物信号,同时患者伴右十二指肠梗阻(注意星形所示胃腔扩张)。b 图 T2WI 脂肪抑制序列显示病变实性为主,十二指肠内侧壁可见微小囊性灶。
作者 | LuckyCheng
参考文献
[1] Wolske K M, Ponnatapura J, Kolokythas O, et al. Chronic pancreatitis or pancreatic tumor? A problem-solving approach[J]. RadioGraphics, 2019, 39(7): 1965-1982.
[2] 谭晔, 方金洲, 杨正汉, 姜蕾, 唐维林, 张铎, 李光, 张骏, 叶晓华, 张旻, 周诚. 自身免疫性胰腺炎影像特征的显示:MRI 与 CT 对照 [J]. 中华放射学杂志,2009,43(8):835-839.
[3] 叶枫, 赵心明, 石素胜, 周纯武. 自身免疫性胰腺炎的 CT 诊断 [J]. 中国医学影像技术,2008,24(8):1223-1226.
[4 ]Kim S S, Choi G C, Jou S S. Pancreas ductal adenocarcinoma and its mimics: review of cross-sectional imaging findings for differential diagnosis[J]. Journal of the belgian society of radiology, 2018, 102(1).
[5] Schima W, Böhm G, Rösch C S, et al. Mass-forming pancreatitis versus pancreatic ductal adenocarcinoma: CT and MR imaging for differentiation[J]. Cancer Imaging, 2020, 20(1): 1-12.
纵隔大细胞神经内分泌癌1例CT影像
张力性纵隔气肿影像表现及严重度分级
迅速增大的肺部结节,首先考虑良性,确诊需要肺穿
肺隔离症:易误诊为肺癌的占位性病变,肺穿刺禁忌!
肺段与肺内管道应用解剖
肺转移瘤的十种不典型CT表现
肺内淋巴结的CT表现特点及与病理对照
肺实变与肺不张的CT鉴别诊断
医生现身说法,这五种忙帮不得!
北大教授:要真正让医务人员有阳光体面的收入!医
为值夜班的医生护士鼓与呼:请给我们更多关注!
广东拟取消医院用药数量限制,满足患者多样性需求
博士、硕士入职就给精装房!又有医院不惜下血本招
历时7年之久,温医生宣判无罪!
重磅!四川发文:严禁限制医生多点执业
与真人医生诊断一致性达96%:AI医生应用前景广阔