急性阑尾炎的CT诊断

发布时间:2022-10-21   来源:未知    
×
织梦二维码生成器

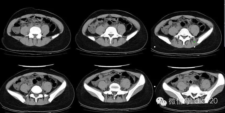
急性阑尾炎的CT诊断

急性阑尾炎的CT诊断

急性阑尾炎的CT诊断

急性阑尾炎的CT诊断

急性阑尾炎的CT诊断

急性阑尾炎的CT诊断

急性阑尾炎的CT诊断

急性阑尾炎的CT诊断

急性阑尾炎的CT诊断

急性阑尾炎的CT诊断

急性阑尾炎的CT诊断

急性阑尾炎的CT诊断

急性阑尾炎的CT诊断

急性阑尾炎的CT诊断

急性阑尾炎的CT诊断

急性阑尾炎的CT诊断

急性阑尾炎的CT诊断

急性阑尾炎的CT诊断

急性阑尾炎的CT诊断

急性阑尾炎的CT诊断

急性阑尾炎的CT诊断

急性阑尾炎的CT诊断

急性阑尾炎的CT诊断

急性阑尾炎的CT诊断

急性阑尾炎的CT诊断

急性阑尾炎的CT诊断

急性阑尾炎的CT诊断

急性阑尾炎的CT诊断

急性阑尾炎的CT诊断

急性阑尾炎的CT诊断

急性阑尾炎的CT诊断

急性阑尾炎的CT诊断

急性阑尾炎的CT诊断

图说天下

医学图库
医学资讯
医学前沿
病例讨论