门静脉海绵样变(cavernous transformation of the portal vein,CTPV),是指肝门部或肝内门静脉分支慢性部分性或完全性阻塞后,导致门静脉血流受阻,引起门静脉压力增高,为减轻门静脉高压,在门静脉周围形成侧支循环或阻塞后的再通。
这是机体为保证肝脏血流灌注量和肝功能正常的一种代偿性改变。本病临床少见,是肝前性门静脉高压的原因之一,约占门静脉高压症的3.5%。目前病因不完全清楚,随着DSA血管造影、彩色US、MRI及CT等技术的广泛应用,近年来报道日渐增多。
流行病学:Balfour等在1869年首先描述了门静脉海绵样变,Klemperer根据尸检和病理学检查提出门静脉海绵样变是一种先天性血管畸形,而且临床罕见。Omakawa等通过结扎大鼠的肝外门静脉后,成功复制了门静脉海绵样变的动物模型。Triger通过血管造影和病理检查发现CTPV是门静脉阻塞后形成的向肝性静脉侧支循环。Gaetano等将门静脉血栓形成后的局部的侧支循环形成过程定义为门静脉海绵样变。由于这些血管在大体标本切面观呈海绵状血管瘤样改变,故被称为“门静脉海绵变性”。以后人们逐渐认识到门静脉海绵样变是多起源的病变,先天性因素占50%~60%。
病因:门静脉海绵样变根据病因可分为原发性和继发性。儿童CTPV多属原发性,主要是肝门部及其分支部门静脉管腔的缺失,结构先天发育异常,狭窄或闭锁所致。
目前认为下列情况可以导致儿童CTPV:
1.门静脉先天畸形,在静脉导管闭塞后出现脐肠系膜-肝静脉之间的静脉丛异常增生,以代替闭塞的门静脉。
2.CTPV本身就是一种门静脉的血管瘤。
3.门静脉血栓的结局,新生儿的败血症、脐部感染及腹腔感染。炎症病变累及门静脉系统,最终导致门静脉闭塞和门静脉周围侧支静脉形成。
成人CTPV多属继发性,其特点是原有正常的门静脉系统的管腔结构,由于门静脉炎、肝门周围纤维组织炎、血栓形成、凝血疾病(红细胞增多)、肿瘤侵犯、胰腺炎等导致门静脉血流受阻、血液淤滞或血流量增加,压力增高,为减轻压力,门静脉周围建立侧支循环再通。门静脉增宽呈实性改变,门静脉周围见细小迂曲的血管。已报道患者大多伴有肝硬化、肝癌。其他如脾切除术后、长期口服避孕药、脐静脉插管、脱水及低血容量休克等引起栓塞的原因也可导致门静脉海绵样变。然而,尽管有详尽的病史采集及完善的检查,仍有50%~60%的CTPV难以查明原因。
发病机制:本病的主要病理改变为:门静脉内不规则排列的增生的小静脉即门静脉海绵窦样变、门静脉主干完全或部分血栓或癌栓形成引起门静脉闭塞,后导致肝外型门静脉高压症,肝门区或门体间形成大量侧支循环血管丛。
CTPV的侧支血管来源于与淋巴管、胆管、血管伴行的小静脉和新生小血管。由于病变部位在肝外门静脉,肝脏本身往往正常或病变很轻微。因肝脏血流灌注不足,肝功能也可能有不同程度的异常。
门静脉高压形成后,最主要的病理变化之一是在门静脉和体静脉之间建立许多交通支并明显扩张,血流量增加,一定程度上缓解门静脉压力。
当门静脉阻塞范围较局限时,如仅为主干阻塞,门静脉海绵样变的侧支静脉可以跨过阻塞部位与肝内开放的门静脉分支相通,使肝脏的门静脉血流灌注保持正常。在门静脉阻塞范围较广时,尽管门静脉海绵样变的侧支静脉参与了门静脉循环,但侧支静脉代偿不足,仍可导致门静脉高压。
临床表现:无门静脉高压时,原发性CTPV患者可无任何不适,继发性CTPV患者主要是原发病的表现。形成门静脉高压后,主要表现为门静脉高压症和继发的食管胃底静脉曲张破裂和(或)伴有门静脉高压性胃病,患者可反复呕血和柏油便,伴有轻到中度的脾大、脾功能亢进,因为此类病人的肝功能好,故很少出现腹水、黄疸及肝性脑病。偶尔海绵样变性侧支血管可压迫胆总管,引起阻塞性黄疸。
并发症:为门静脉高压症和继发的食管胃底静脉曲张破裂和(或)伴有门静脉高压性胃病。偶尔海绵样变性侧支血管可压迫胆总管,引起阻塞性黄疸。
CT表现:
(1)门静脉走行区结构紊乱,正常门静脉系统结构消失,在门静脉走行方向上可见由缠绕在一起的侧支静脉形成的类似团块状软组织网状结构,相互之间分界不清,增强扫描后门静脉明显强化交织成网、窦隙样或管样软组织结构,在肝门部可见延向肝内门静脉周围细条状密度增高影。
(2)肝实质灌注异常,在动脉期,造影剂在肝实质周边部聚集,形成高密度带状影,有时并可见到其近端扩张的动脉影,而在门静脉期整个肝脏呈均匀等密度影。
(3)伴门静脉高压患者,可在冠状静脉、脐旁静脉、腹膜后腔、肝胃十二指肠韧带及胃底食管连接区见到迂曲扩张呈匍形走行的侧支循环血管,严重者迂曲呈团块状,增强扫描在门静脉期示有明显强化。
下面先发CT图像:
病例一:女,18岁,腹胀5月余。脾脏体积明显增大,脾梗死,门静脉左、右支明显增粗,其主干未明确显示,肝门、胃小弯区可见多发、迂曲的血管影。

病例二:男,46岁,肝硬化,肝癌,脾大,腹水,胆囊结石。门脉主干及左、右支管径增宽,伴其内瘤栓形成,肝门区可见多发迂曲的血管影,脾静脉增粗。

病例三:女,40岁,乳腺癌术后3月。肝内多发转移灶,脾大,胆道扩张,肝门区多发迂曲的血管影。

MR表现:
平扫见门静脉正常结构消失、主干和/ 或分支闭塞,门静脉、胆囊周围可见由侧支静脉形成的团块状或网状异常软组织或流空信号影,正常结构模糊紊乱。
增强扫描于门静脉期血管团明显强化, 走行迂曲。
门静脉癌栓于动脉期可轻度强化,相应管径增粗。而门静脉血栓无强化,相应管径无明显增粗。
病例一:男,72岁,以冠心病入院。附MR及CT图像。





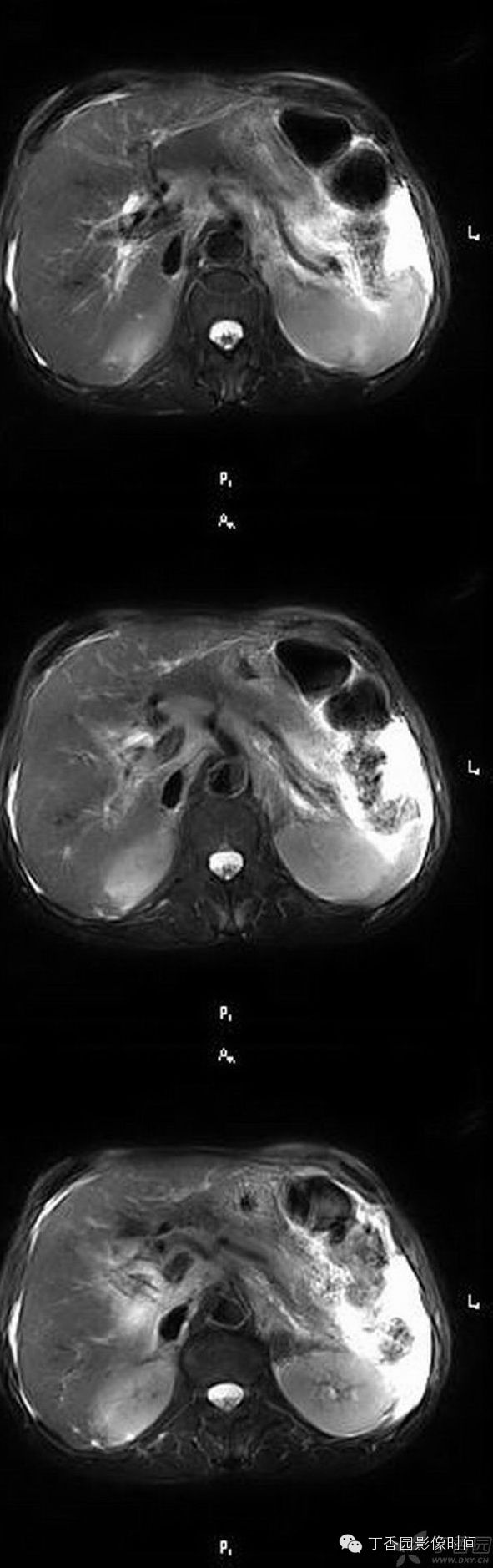
病例二:男,55岁,肝硬化、脾脏切除并引流术后7年。


纵隔大细胞神经内分泌癌1例CT影像
张力性纵隔气肿影像表现及严重度分级
迅速增大的肺部结节,首先考虑良性,确诊需要肺穿
肺隔离症:易误诊为肺癌的占位性病变,肺穿刺禁忌!
肺段与肺内管道应用解剖
肺转移瘤的十种不典型CT表现
肺内淋巴结的CT表现特点及与病理对照
肺实变与肺不张的CT鉴别诊断
医生现身说法,这五种忙帮不得!
北大教授:要真正让医务人员有阳光体面的收入!医
为值夜班的医生护士鼓与呼:请给我们更多关注!
广东拟取消医院用药数量限制,满足患者多样性需求
博士、硕士入职就给精装房!又有医院不惜下血本招
历时7年之久,温医生宣判无罪!
重磅!四川发文:严禁限制医生多点执业
与真人医生诊断一致性达96%:AI医生应用前景广阔