病例展示
我们看一个病例,先考考大家,如果是您遇到了,您会如何考虑?
患者男性 43 岁 因左侧腰背部疼痛不适,左侧腰背部叩击疼阳性,门诊拟:「 肾结石 」 行 CT 检查;


咦!没有发现明显的阳性结石啊,就左肾囊肿;
嗯,真的就是囊肿嘛?
我们建议 CT 增强扫描;


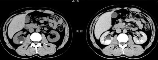
动脉期

静脉期
这不就是囊肿嘛?还有什么疑问?
笔者:你跟患者说,让他再起来到门口不要走开,等 15 分钟后再给回来扫一次,仰卧位扫一次,俯卧位扫一次;
技师:为什么啊,干啥还是俯卧位扫描?
笔者:等 15 分钟后我再告诉你,:
15 分钟后,患者再次扫描

俯卧位

笔者:你看看发现什么不一样的嘛?
技师:咦!这个囊肿和以前的囊肿不一样啊,它怎么会发生强化呢?
笔者:这真的就是囊肿嘛?
技师:哥,我就服你!

肾盏憩室
肾盏憩室是指位于肾脏内的含有尿液的囊性结构,内衬为移行上皮,周围有粘膜肌层包围,囊腔以一个狭窄通道与集合系统相通。肾盏憩室多是泌尿系造影检查时才偶然发现,也可能是由于反复性尿路感染或憩室结石后出现症状才发现。据文献报道也有少数肾盏憩室内发现移行细胞癌。

肾盏憩室好发于上肾盏处,据文献报道,肾盏憩室发生率约为千分之四左右(0.4%)。肾盏憩室可以并发憩室结石,大约 50% 的肾盏憩室会有结石形成,也可以是钙乳状沉积物,伴有结石的肾盏憩室通常会出现血尿、腰痛等症状。
分型
肾盏憩室分为两种类型:
Ⅰ型最为常见,囊腔与肾小盏相通,这种憩室通常发生于肾上极三分之一。
Ⅱ型相对少见,囊腔与肾盏或肾盂相通,这种憩室往往较大,更易出现症状,通常发生于肾脏中极。


影像表现
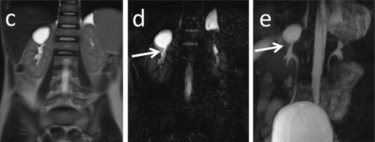
虽然超声是评估肾囊性病灶的首选检查,但大多数的肾盏憩室超声分辨不出。增强 CT 延迟期扫描在诊断肾盏憩室的敏感性为 95%,另一方面,磁共振 (MRI) 尿路水成像也成为一种有价值的检查方法,MRU 尿路造影技术,使用各种 T2 加权序列,将尿路视为静态液体柱,不需要打造影剂。
1、静脉尿路造影:表现为肾实质内圆形、边缘光滑的对比剂充盈区,有时可见与肾盏相通的细长管道。合并结石表现为囊腔内高密度影。

红色箭头所指为憩室,黄色箭头所指为肾盏。
2、肾盏憩室主要表现为:肾内囊性占位,平扫时囊性灶与肾盏分界不清,增强后造影剂进入囊肿(主要在延迟期造影剂进入憩室内);有时囊肿内可以看到结石或者钙乳样沉积物;肾盏憩室病灶主要偏向外周生长。

3、磁共振主要表现为:T2 高信号,可以看到细小的裂隙与肾盏相通,在 MRU 上更为清晰;

磁共振 T2 序列于 MRU 成像上可以看到囊腔与肾盏相通

磁共振增强上可以看到造影剂进入囊腔内;
鉴别诊断

作者 | 黄敏
参考文献
1、Peng YH, Zhang W, Gao XF, Sun YH. Calyceal diverticulum mimicking simple parapelvic cyst: a case report. Chin Med Sci J. 2015 Mar;30(1):56-8. doi: 10.1016/s1001-9294(15)30010-9. PMID: 25837362.
2、Sahin H, Sarioglu FC, Alaygut D, Akdogan AI, Pekcevik Y. Differentiation of simple renal parenchymal cyst and calyceal diverticulum. Pediatr Int. 2020 May;62(5):615-623. doi: 10.1111/ped.14127. Epub 2020 May 13. PMID: 31885118.
纵隔大细胞神经内分泌癌1例CT影像
张力性纵隔气肿影像表现及严重度分级
迅速增大的肺部结节,首先考虑良性,确诊需要肺穿
肺隔离症:易误诊为肺癌的占位性病变,肺穿刺禁忌!
肺段与肺内管道应用解剖
肺转移瘤的十种不典型CT表现
肺内淋巴结的CT表现特点及与病理对照
肺实变与肺不张的CT鉴别诊断
医生现身说法,这五种忙帮不得!
北大教授:要真正让医务人员有阳光体面的收入!医
为值夜班的医生护士鼓与呼:请给我们更多关注!
广东拟取消医院用药数量限制,满足患者多样性需求
博士、硕士入职就给精装房!又有医院不惜下血本招
历时7年之久,温医生宣判无罪!
重磅!四川发文:严禁限制医生多点执业
与真人医生诊断一致性达96%:AI医生应用前景广阔