首页 > 医学图库 > PPT > 正文

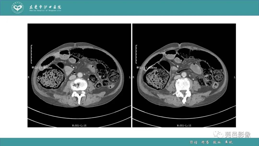
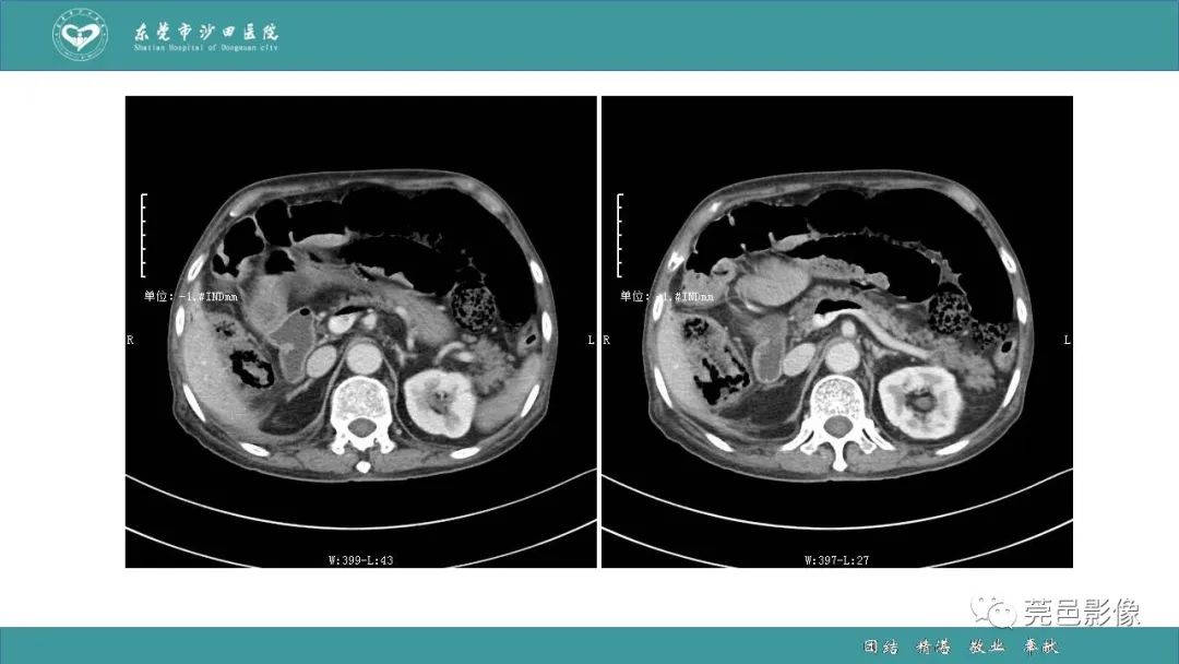
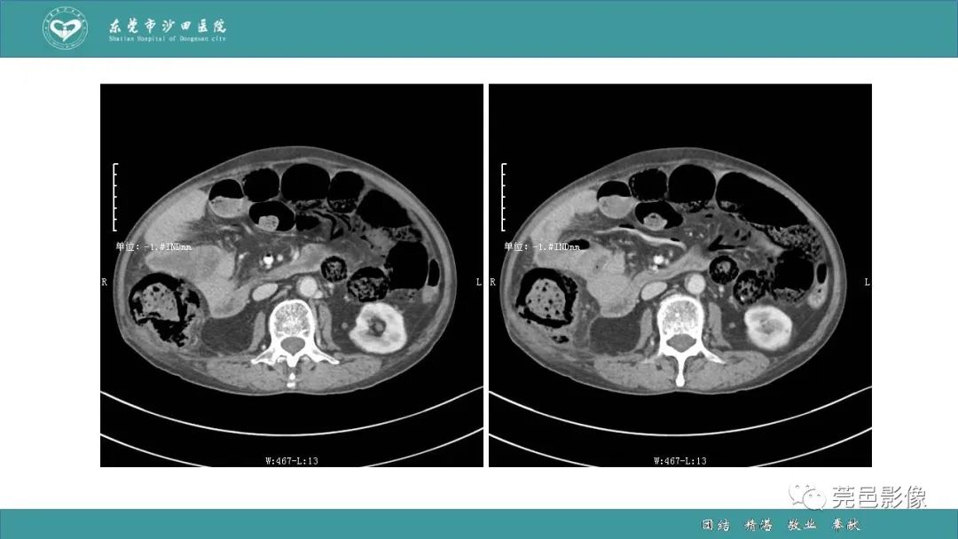
1例肠缺血坏死伴门静脉积气的CT诊断

发布时间:2022-10-29   来源:未知    
×
织梦二维码生成器

【PPT】1例肠缺血坏死伴门静脉积气的CT诊断-1

【PPT】1例肠缺血坏死伴门静脉积气的CT诊断-2

【PPT】1例肠缺血坏死伴门静脉积气的CT诊断-3

【PPT】1例肠缺血坏死伴门静脉积气的CT诊断-4

【PPT】1例肠缺血坏死伴门静脉积气的CT诊断-5

【PPT】1例肠缺血坏死伴门静脉积气的CT诊断-6

【PPT】1例肠缺血坏死伴门静脉积气的CT诊断-7

【PPT】1例肠缺血坏死伴门静脉积气的CT诊断-8

【PPT】1例肠缺血坏死伴门静脉积气的CT诊断-9

【PPT】1例肠缺血坏死伴门静脉积气的CT诊断-10

【PPT】1例肠缺血坏死伴门静脉积气的CT诊断-11

【PPT】1例肠缺血坏死伴门静脉积气的CT诊断-12

【PPT】1例肠缺血坏死伴门静脉积气的CT诊断-13

【PPT】1例肠缺血坏死伴门静脉积气的CT诊断-14

【PPT】1例肠缺血坏死伴门静脉积气的CT诊断-15

【PPT】1例肠缺血坏死伴门静脉积气的CT诊断-16

【PPT】1例肠缺血坏死伴门静脉积气的CT诊断-17

【PPT】1例肠缺血坏死伴门静脉积气的CT诊断-18

【PPT】1例肠缺血坏死伴门静脉积气的CT诊断-19

【PPT】1例肠缺血坏死伴门静脉积气的CT诊断-20

【PPT】1例肠缺血坏死伴门静脉积气的CT诊断-21

【PPT】1例肠缺血坏死伴门静脉积气的CT诊断-22

【PPT】1例肠缺血坏死伴门静脉积气的CT诊断-23

【PPT】1例肠缺血坏死伴门静脉积气的CT诊断-24

【PPT】1例肠缺血坏死伴门静脉积气的CT诊断-25

【PPT】1例肠缺血坏死伴门静脉积气的CT诊断-26

【PPT】1例肠缺血坏死伴门静脉积气的CT诊断-27

【PPT】1例肠缺血坏死伴门静脉积气的CT诊断-28

【PPT】1例肠缺血坏死伴门静脉积气的CT诊断-29

【PPT】1例肠缺血坏死伴门静脉积气的CT诊断-30

【PPT】1例肠缺血坏死伴门静脉积气的CT诊断-31

【PPT】1例肠缺血坏死伴门静脉积气的CT诊断-32

【PPT】1例肠缺血坏死伴门静脉积气的CT诊断-33

【PPT】1例肠缺血坏死伴门静脉积气的CT诊断-34

【PPT】1例肠缺血坏死伴门静脉积气的CT诊断-35

【PPT】1例肠缺血坏死伴门静脉积气的CT诊断-36

【PPT】1例肠缺血坏死伴门静脉积气的CT诊断-37

【PPT】1例肠缺血坏死伴门静脉积气的CT诊断-38

【PPT】1例肠缺血坏死伴门静脉积气的CT诊断-39

图说天下

医学图库
医学资讯
医学前沿
病例讨论