首页 > 医学图库 > PPT > 正文

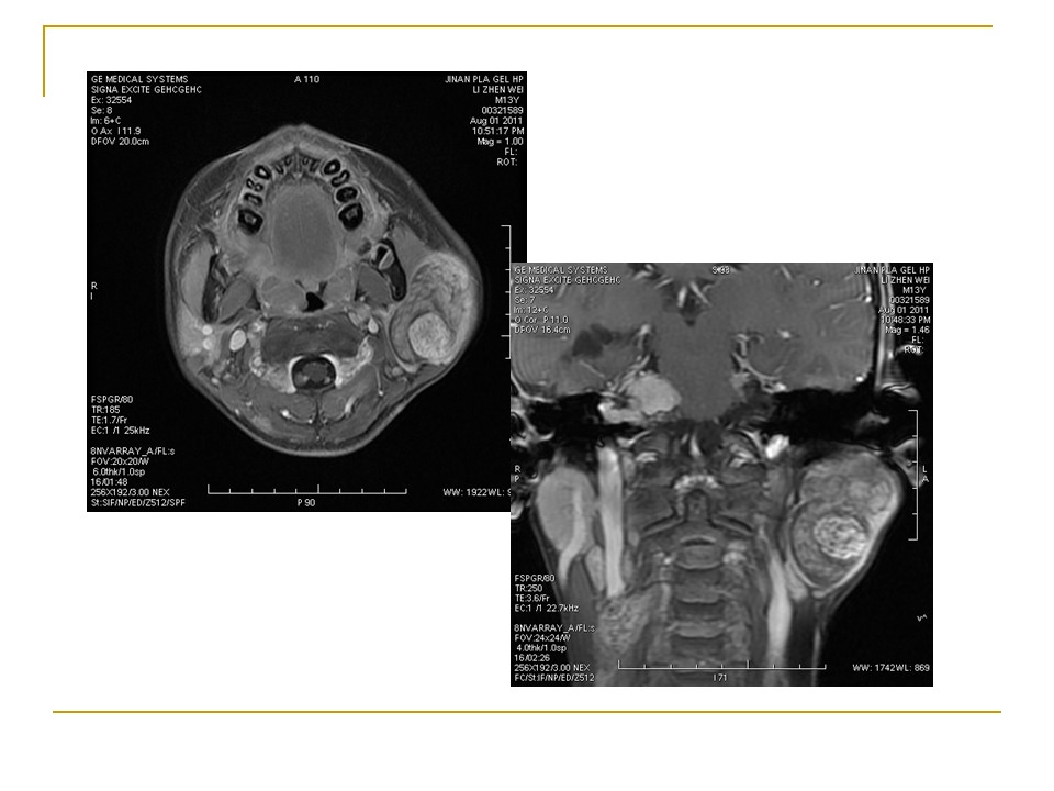
腮腺混合瘤MRI表现

发布时间:2022-10-22   来源:未知    
×
织梦二维码生成器

图说天下

医学图库
医学资讯
医学前沿
病例讨论